【病例】普通型间质性肺炎/特发性肺间质纤维化1例CT
发布时间:2022-10-22
发布时间:2022-10-22
【病史】女性,呼吸困难,渐进性加重。


问题1.最明显的异常为?
A.心脏扩大,双下肺肺水肿
B.双下肺间质性透光度减低,以基底段为著
C.多肺叶实变
D.肺转移性钙化
E.肺粟粒状小结节




2.最可能的诊断为?
A.嗜酸性粒细胞肺炎
B.普通型间质性肺炎/肺纤维化
C.结节病
D.朗格汉斯组织细胞增多症
E.隐源性机化性肺炎
【答案】1.B 2.B
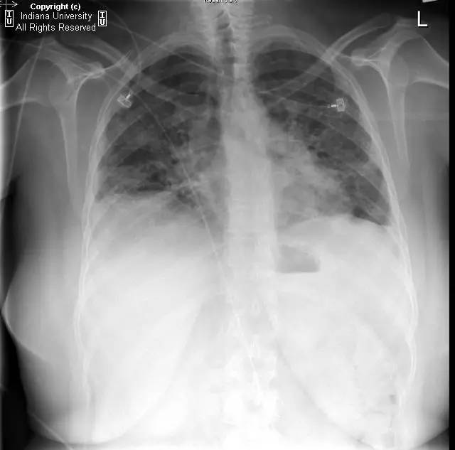
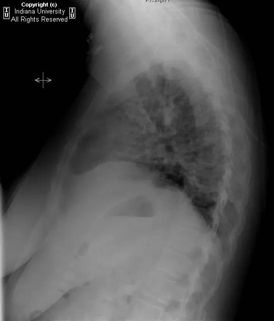
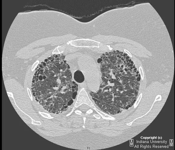
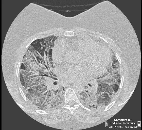
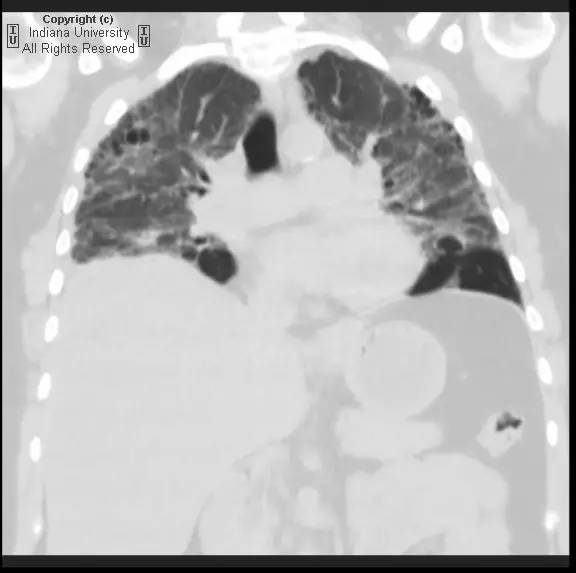
【影像学表现】胸片示双肺纹理增多,间质性透光度减低。无局灶性病变,气胸或胸腔积液。心脏及纵膈轮廓正常。CT示双肺弥漫间质性病变,累及所有肺叶,以下叶为著。肺间质增厚,结构扭曲,牵拉性支气管扩张,外周呈蜂窝状改变。肺动脉增粗,符合肺动脉高压。
【鉴别诊断】
【诊断】普通型间质性肺炎/特发性肺间质纤维化(活检证实)
Usual interstitialpneumonia / idiopathic pulmonary fibrosis (biopsy proven).
【关键点】
上一篇:【病例】矽肺1例CT影像表现