【病例】癌性空洞1例CT影像表现
发布时间:2022-10-22
发布时间:2022-10-22
【病史】男性,咳嗽,体重减轻。


问题1.下述哪项不属于鉴别诊断范围?
A.空洞性肿瘤
B.空洞性细菌性肺炎
C.空洞性真菌性肺炎
D.脓胸
E.以上所有诊断均属于







2.请选择正确诊断:
A.肺癌
B.脓胸
C.结核
D.支气管异物并梗阻
E.克雷伯氏肺炎
【答案】1.E 2.A
【影像学表现】
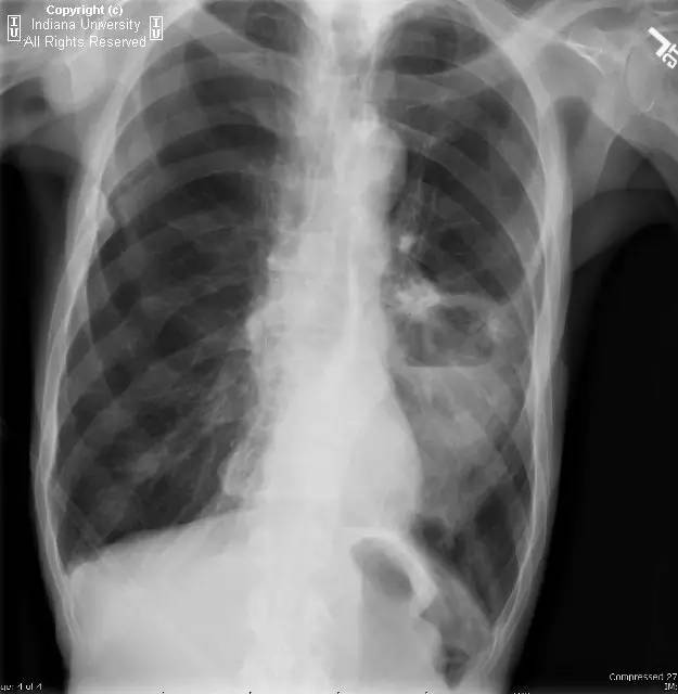
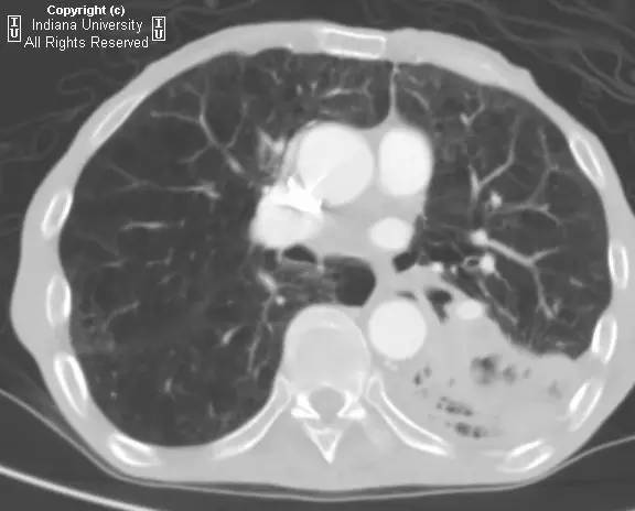
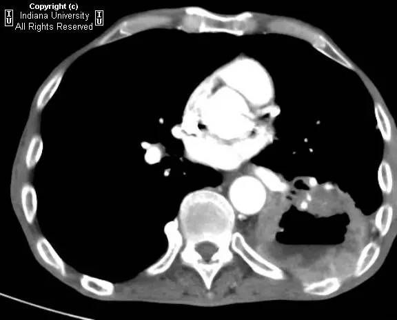
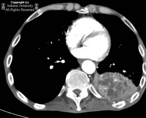
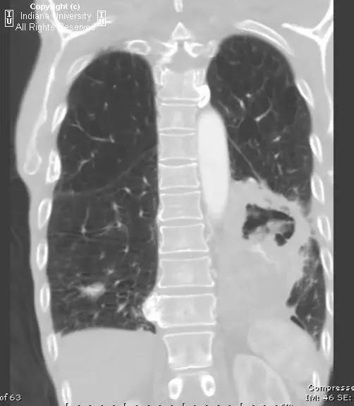
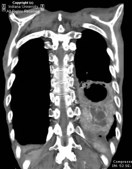
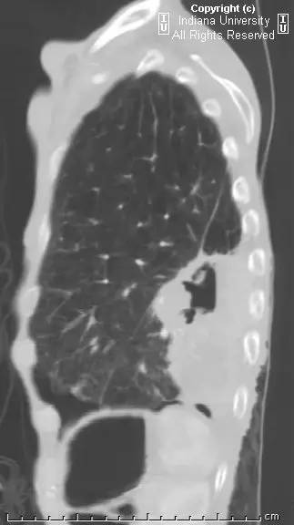
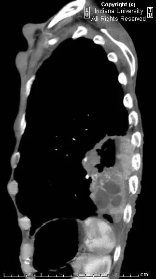
胸片示肺内高度膨胀性病变,膈肌扁平。左后胸部可见较大卵圆形不透亮区并液平面。CT示左肺下叶近后胸壁较大厚壁肿块并部分空洞形成,实性部分不均质强化。右肺下叶可见分叶状结节。左前下少量气胸。
【鉴别诊断】
【诊断】鳞状细胞肺癌并后部阻塞性肺炎
Squamous cell lungcancer and post obstructive pneumonia
【关键点】
上一篇:纵隔常见实性疾病的鉴别诊断
下一篇:【PPT】脊神经解剖