【病例】食管癌肺转移1例X线CT影像表现
发布时间:2022-10-22
发布时间:2022-10-22
[病程描述]
性别:男,年龄:54岁,食管癌、胸痛、咳嗽






请选择答案
A、肺转移瘤
B、肺结核
正确答案是:A、肺转移瘤;
[影像描述]
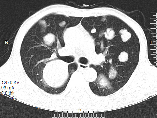
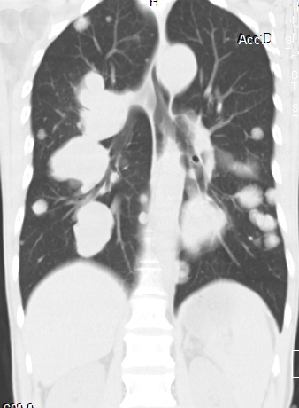
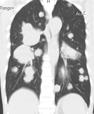
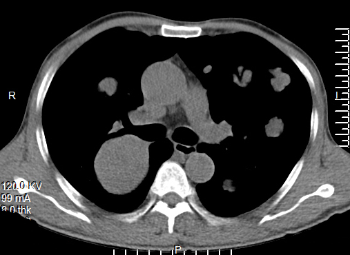
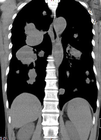
双肺多发转移灶,大小不等,呈棉花团样
[诊断思路]
食管癌发生肺转移
CT表现为粟粒、单发、多发大小不等结节,呈圆形或椭圆形,密度均匀、轮廓清楚,肺野为著。
1、肺内单发或多发球型结节影,大小不一,边缘光滑,密度均匀,多分布于肺外围
2、肺内软组织团块影!单发或多发,有分叶或毛刺,部分有空洞
3、两肺布满粟粒样结节
4、肺纹理呈网状改变或沿淋巴管呈细小结节状改变,HRCT表现为小叶间隔增厚,沿肺纹理有细小结节影,同一患者出现多种形态转移征象.
上一篇:【影像征象】开瓶器征——食管痉挛
下一篇:纵隔常见实性疾病的鉴别诊断