心脏常见疾病的X线诊断
发布时间:2022-10-22
发布时间:2022-10-22

心脏远达片:多种体位投照,通过各房室、大血管边缘的位置、形态、大小,间接推测各房室的病生理改变。
透视:平片检查的补充手段,主要观察心脏大血管的博动情况。
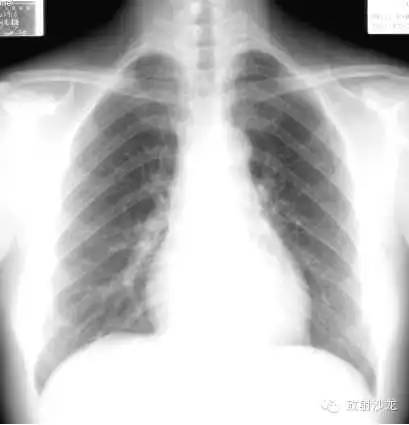
心脏、大血管位于纵隔内,2/3位于胸腔中线左侧,1/3位于右侧。心尖在左下,心底在右后上,形成斜的纵轴。心脏两侧边缘与肺比邻,各房室间前后重叠,缺乏密度对比,故普通X线平片只能显示其轮廓而不能显示内部结构。

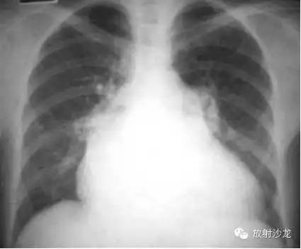
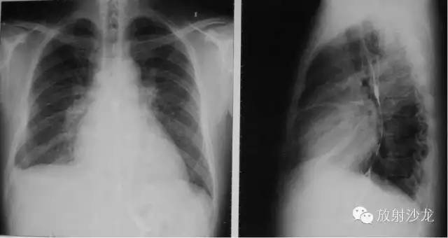
心脏大血管后前位投影 PA View


右心缘:上腔静脉或升主动脉,右房(膈低位右室)。
左心缘:主动脉弓;肺动脉段(心腰)。
左心室:相反搏动点位于肺动脉段与左室间左心耳1 cm。
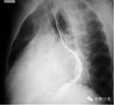
侧位(Left lateral view),心影从后上向前下倾斜。心前缘: 1.升主动脉;2.右室漏斗部与肺动脉主干;3.右室心后缘;4.左心房;5.左心室。

不同呼吸状态心脏大血管形态改变

心脏大小的测量方法
心胸比率法:心最大横径与胸廓内最大横径之比,是确定心脏增大最简单的方法。


T: 右膈顶水平胸廓内最大横径
T1:左缘最突出点至中线垂直距离
T2:右缘最突出点至中线垂直距离
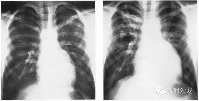
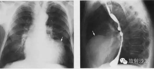
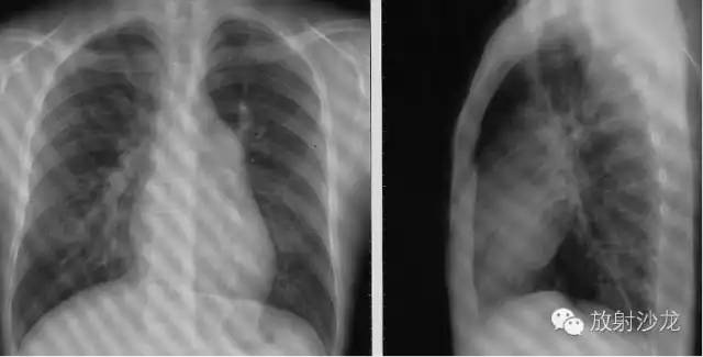
不同程度的左房增大




1、后前位:心尖左、下移位(胃泡内、越出锁骨中线)相反搏动点上移,左心缘延长、圆隆并向左下扩大。

2、左前斜位:心后缘向后下延伸与脊柱重叠,室间沟前下移。
3、侧位:食道前间隙消失,心后间隙变窄。
肺血增多
Pulmonary congestion

Pulmonary venous stasis
肺血减少

心 衰-心脏排血能力不足以维持人体正常生理功能。
X线表现为心脏增大,肺淤血,间实质肺水肿,胸腔积液
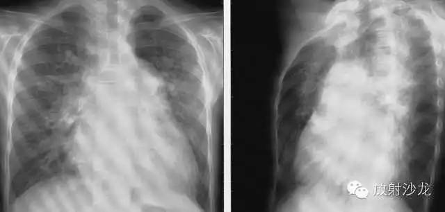
左房右室增大



冠心病 心肌梗塞 室壁瘤形成

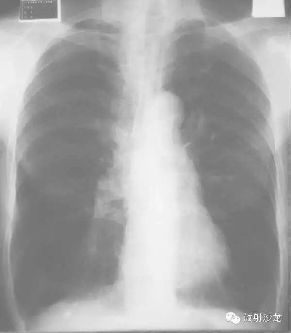
心包炎(pericarditis)

1、心脏向两侧增大,正常心缘弧度消失。
2、腔静脉增宽(体静脉回流右房受阻)。
3、心脏血管比率增大,主动脉影缩短。
4、心缘搏动下降,主动脉搏动正常。
5、肺纹理减少或正常(右心排血量减少)。
6、造影:各心腔无扩张,腔静脉扩张。
房间隔缺损(atrial septal defect)
