肺内粟粒状小结节的鉴别诊断
发布时间:2022-10-22
发布时间:2022-10-22
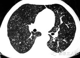
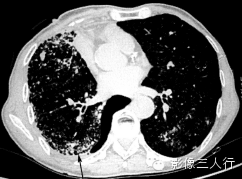
| 病毒性肺炎(图1) | 粟粒性肺结核(图2) | 细支气管肺泡癌(图3) | 肺尘埃沉着病(图4) | 肺泡蛋白沉着症(图5) | 血吸虫病(图6) | |
| 临床
特征 |
发热、咳嗽 | 低热、盗汗、乏力、消瘦 | 咳嗽及痰中带血 | 粉尘接
触史 |
PAS染色阳性 | 有疫区水源接触史 |
| 好发
部位 |
下野中
内带 |
上中野 | 中下野 | 中下野 | 中下野内带 | 中下野内带 |
| 病变形
态大小 |
散在分布,6〜8mm或更小 | 分布均匀,直径1〜2mm | 分布不均,直径6〜7 mm | 分布不均,直径多为2〜5mm | 地图样、铺路石征 | 大小不等,直径多为1〜5mm |
| 病灶
边缘 |
较模糊 | 较清楚或较模糊 | 较清楚 | 较清楚 | 较清楚 | 较模糊 |
| 病灶
密度 |
病灶密度相同,大小不等 | 病灶密度相同或不同 | 病灶密度相同,呈含气支气管征及蜂窝征 | 病灶密度不均,有钙化 | 磨玻璃密度,地图样分布和铺路石征 | 病灶密度不均,典型者可见晕征 |
| 肺门及
纵隔淋 巴结 肿大 |
无 | 无 | 可有 | 有,常见钙化 | 无 | 无 |
| 心包或
胸腔 积液 |
无 | 少见 | 较常见 | 可有 | 无 | 少见 |
| 动态
变化 |
2周〜1个月左右可有较明显变化 | 3〜6个月动态变化不明显 | 3〜6个月可有明显变化 | 3〜6个月动态变化不明显 | 3〜6个月动态变化不明显 | 3〜6个月可有明显变化 |





(A)平扫一

(B)平扫二

下一篇:心脏常见疾病的X线诊断