纵隔气肿的CT报告书写技巧与提示
发布时间:2022-10-22
发布时间:2022-10-22
发生纵隔气肿后病人可以突然感到胸骨后闷胀、疼痛且向颈部放射,严重时出现气急、发绀、上腔静脉淤积、烦躁不安、脉搏细数、血压下降、吞咽困难、声音嘶哑。颈部及锁骨上窝外形变平且饱满,触之有捻发音,此为并发的皮下气肿的特征性表现。
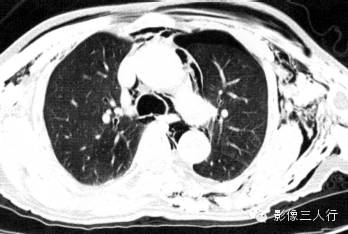
胸部CT平扫。
①纵隔两侧边缘线状阴影,与纵隔边缘平行,在线条阴影内侧有透亮的气体。
②CT有助于发现普通X线检查阴性的少量纵隔气肿,尤其是发现肺内间质性肺气肿比普通X线检查更敏感,表现为血管支气管旁平行的透亮影。当可疑纵隔气肿而普通X线检查未发现时,CT有助于明确诊断。
报告书写:胸廓对称,双侧肺野透光度降低,双侧肺门不大,双侧皮下、纵隔内可见线状透亮的气体阴影,气管外壁清楚(图1)。

图1纵隔气肿
①自发性纵隔气肿最为常见,大多继发于间质性肺气肿。自发性纵隔气肿在新生儿比较多见,常继发于肺透明膜病和羊水吸入。
②临床症状与进入纵隔内的气体量和有无继发感染有关。病人可感到突然胸骨后疼痛,放射到两肩和两臂。疼痛随呼吸和吞咽动作而加重。