【病例】肺动脉栓塞并肺梗死1例CT影像表现
发布时间:2022-10-22
发布时间:2022-10-22
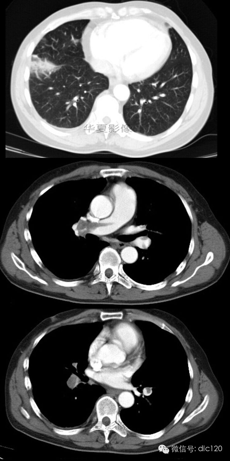
男,56岁;咳嗽、咳痰胸痛4天。

右肺下叶前基底段见胸膜下楔形高密度影,尖端指向肺门,部分边界清楚;增强后肺动脉及其各大分支内可见条带状无强化充盈缺损征。
诊断依据:典型影像表现,对症治疗后病灶明显缩小,部分消失;临床症状好转。
肺动脉内有栓子是诊断肺动脉栓塞最可靠的征象,增强后栓子不强化,栓子的形态和栓塞的程度不同,CT表现也各异。血栓位于血管腔中心呈长条状与血管腔平 行,当栓子与扫描层面平行,中央的栓子则呈条状低密度带,两边有含有对比剂的血流,二者形成鲜明的对比,即呈“轨道征”;栓塞的血管远端呈低密度而无对比 剂充盈,出现典型的“血管截断征”;血管腔一侧出现偏心性充盈缺损,对侧充盈高密度对比剂;当梗死灶形成后,表现为胸膜下楔形或片状软组织密度,尖端指向 肺门;有时还可以见到肺动脉高压和胸腔积液等征象。
鉴别诊断:
1、肺炎
2、肺不张
上一篇:八种常见肺炎的X线诊断
下一篇:纵隔气肿的CT报告书写技巧与提示