【病例】左下肺支气管囊肿伴肺曲霉菌感染

发布时间:2022-10-22

病史

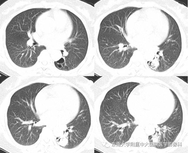
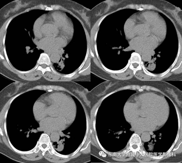
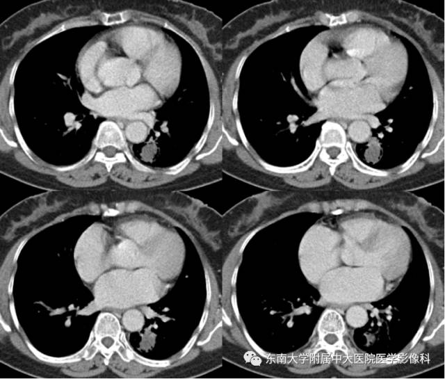
女,61岁,因“体检发现左肺占位1月余”入院。

CT

【病例】左下肺支气管囊肿伴肺曲霉菌感染

【病例】左下肺支气管囊肿伴肺曲霉菌感染

【病例】左下肺支气管囊肿伴肺曲霉菌感染

【病例】左下肺支气管囊肿伴肺曲霉菌感染

【病例】左下肺支气管囊肿伴肺曲霉菌感染

【病例】左下肺支气管囊肿伴肺曲霉菌感染

【病例】左下肺支气管囊肿伴肺曲霉菌感染

【病例】左下肺支气管囊肿伴肺曲霉菌感染

【病例】左下肺支气管囊肿伴肺曲霉菌感染

【病例】左下肺支气管囊肿伴肺曲霉菌感染

【病例】左下肺支气管囊肿伴肺曲霉菌感染

【病例】左下肺支气管囊肿伴肺曲霉菌感染

【病例】左下肺支气管囊肿伴肺曲霉菌感染

【病例】左下肺支气管囊肿伴肺曲霉菌感染

【病例】左下肺支气管囊肿伴肺曲霉菌感染

【病例】左下肺支气管囊肿伴肺曲霉菌感染

【病例】左下肺支气管囊肿伴肺曲霉菌感染

【病例】左下肺支气管囊肿伴肺曲霉菌感染

【病例】左下肺支气管囊肿伴肺曲霉菌感染

精彩图片

热门精选