【病例】乳腺错构瘤1例X线钼靶
发布时间:2022-10-22
发布时间:2022-10-22
临床资料
患者无意中发现乳腺肿块。


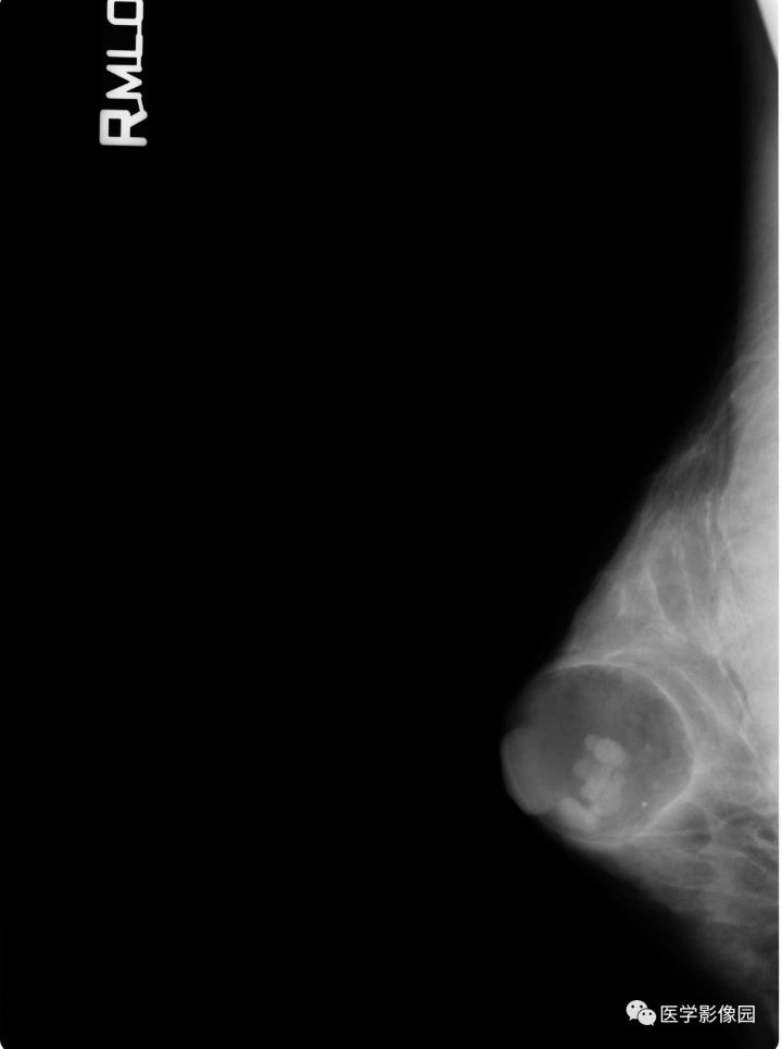
影像学表现:右乳近乳头处皮下卵圆形低密度影,边界清晰,其中可见多发小结节状高密度影,边界清晰。低密度影内尚可见少许斑点状钙化。
诊断结果:乳腺错构瘤
乳腺错构瘤是由脂肪组织、纤维组织、乳腺导管和乳腺小叶多种组织成分混合生长而成,是临床上比较少见的特殊类型的乳腺良性肿瘤。有学者认为本病的发生与妊娠和哺乳等激素变化有一定关系,也有学者认为是乳房胚芽迷走或异位,或胚芽部分发育异常致使乳腺正常结构成分紊乱所形成。肿瘤生长较缓慢。位于左乳内上象限及左乳内下象限者多见,也可位于乳房皮下。瘤体常单个,大小不一,呈圆形、扁圆形,界限清楚,移动良好。一般无触痛。
位于乳房皮下者,质软,很似乳房脂肪瘤。位于腺体内者质较坚实,似乳腺增生症或乳腺纤维腺瘤。
本病极易误诊,需与脂肪瘤、纤维瘤、积乳囊肿作鉴别,错构瘤因组织成分不一,显示密度不均,而其他三种密度相对单一。
脂肪瘤多见于中老年妇女,发病部位常在皮下脂肪组织内,典型的X线表现为在透亮的脂肪影内夹杂纤细的纤维索状分隔,肿瘤密度与正常乳腺脂肪密度相似;
纤维瘤好发于青年妇女,瘤体密度略高于腺体组织,在脂肪组织的衬托下可见细窄的透明晕,可伴粗大颗粒钙化;
积乳囊肿大多发生于哺乳期妇女,瘤体大多较小,直径在1 cm~1.5 cm之间,穿刺有助鉴别。
值得注意鉴别是须与乳腺癌区别:错构瘤是在低密度区出现团块状、密度不均增高影,如“水中之岛”。而乳腺癌的密度不均是在密度增高的背景下出现更高密度的小斑块,称之“块中之块”。
上一篇:诊断乳腺的病变的主要可靠征象