肺淋巴管肌瘤病(LAM)的诊断与鉴别诊断
发布时间:2022-10-22
发布时间:2022-10-22
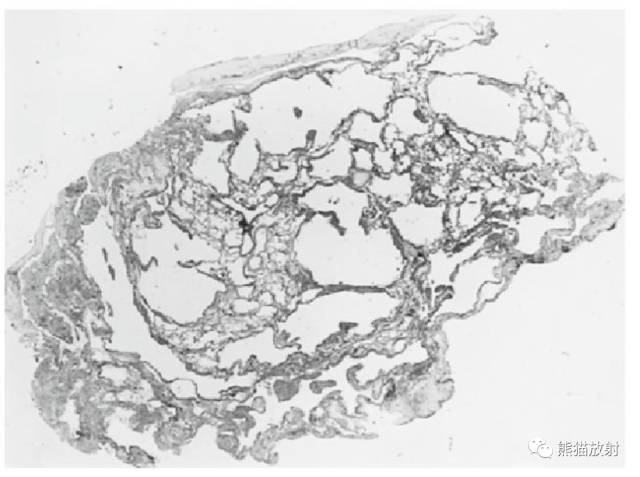
淋巴管肌瘤病(淋巴管平滑肌增生症) lymphangiomyomatosis(LAM)是一种少见的多系统疾病,其特征是在肺,气道及沿胸、腹部轴淋巴管,有不成熟表现的平滑肌细胞(LAM细胞)的浸润。
本病的标志是肺实质的囊状破坏。
LAM可与结节性硬化症伴发(TSC-LAM),也可单发[单发性淋巴管肌瘤病(S-LAM)]。
肺LAM病变分为早期(活动期)和晚期。



临床表现
LAM几乎只发生于生育期年龄女性中,然而,近年的数据显示本病的老年女性数量增多。TSC-LAM发病率为孤立性LAM的5~10倍。
大多数LAM病例有呼吸困难、气胸和(或)咳嗽。S-LAM较TSC-LAM病例更易出现症状和体征本病发病过程较隐匿,进展率不等,一般是生育年龄女性出现气胸或乳糜性胸腔积液而被首次诊断。从出现症状到确诊的间隔时间平均为3~5年。
胸片表现
LAM的胸片表现包括网、网结节、粟粒和蜂窝等。50%以上的病例在首次检查时有气胸的胸片证据LAM病例肺容积可增加。
HRCT表现
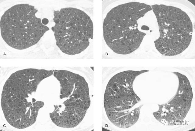
在HRCT上,LAM病例的特征性表现为无数薄壁肺囊肿,周围绕以较正常的肺实质。这些囊肿的直径范围常为2mm~5cm,也可以更大。囊肿的大小倾向于随病变进展而增大。发生在TSC中的LAM与单发LAM表现相同。
在大多数病例中,囊肿弥漫性分布于肺内,无肺区可避免。
在大多数病例中,HRCT上囊肿之间的肺实质正常。
LAM的其他征象包括肺门、纵隔及膈肌脚后的淋巴结增大和淋巴水肿。
胸腔积液和(或)气胸常见,有助于LAM和PLCH的区别。
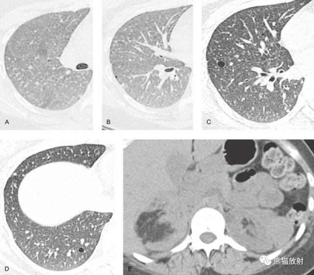
尽管主要表现为肺和胸膜,腹部和盆腔表现也常见。血管平滑肌脂肪瘤尤其常见,发生在超过90%的TSC-LAM病例中,在S-LAM中为30%~50%。TSC-LAM病例更可能发生肝和肾血管平滑肌瘤,而S-LAM病例更可能发生胸膜积液、腹水和腹部淋巴管肌瘤病。
在确定本病中含气囊肿的范围和分布上HRCT优于胸片,在一些胸片正常病例中,HRCT能显示有广泛的异常。









↑ TSC中的微结节型肺细胞增生:肺内无数微小结节,少许散在的肺囊肿,右肾错构瘤。
鉴别诊断
LAM中的肺囊肿与肺朗格汉斯细胞组织细胞增生症(PLCH)中描述的非常相似然而,3种表现常可以区别这两种疾病。
最后,要强调的是PLCH是典型的与吸烟相关的疾病之一,而LAM已经证明无此种与吸烟的关系。
总的来说,朗格汉斯细胞组织细胞增多症(LCH)是指一组原因不明,常见于儿童的疾病。
LCH可分为单个器官病变,如发生在肺(PLCH),以及累及多器官、多系统的病变,如发生在伴Letterer-Siwe病、Hand-Schuller-Christian病例中。
PLCH是一种少见病,常发生在20-40岁的年轻人中,虽然可发生在任何年龄。PLCH以往被称为肺嗜酸性肉芽肿、肺组织细胞增生症X,其典型表现为孤立的,累及单器官的病变,虽然也可是多器官、多系统疾病的一种表现。






病变主要分布在上、中肺部,基底部相对不累及。