【病例】肺淋巴管肌瘤病PLAM合并左肾血管平滑肌脂肪瘤AML一例
发布时间:2022-10-22
发布时间:2022-10-22






【病史】
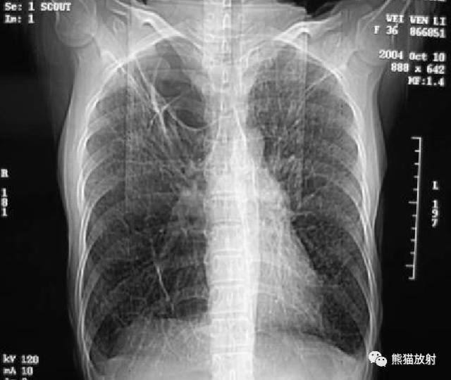
女,36岁,胸闷,胸疼,气短一个月,以往有肺大泡切除史。
【影像表现】
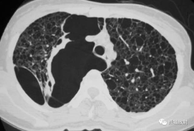
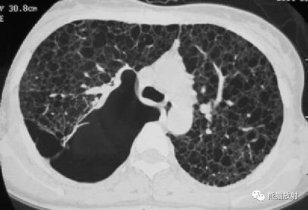
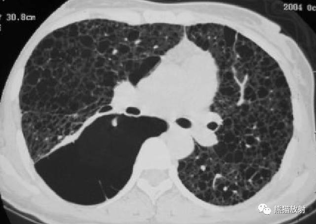
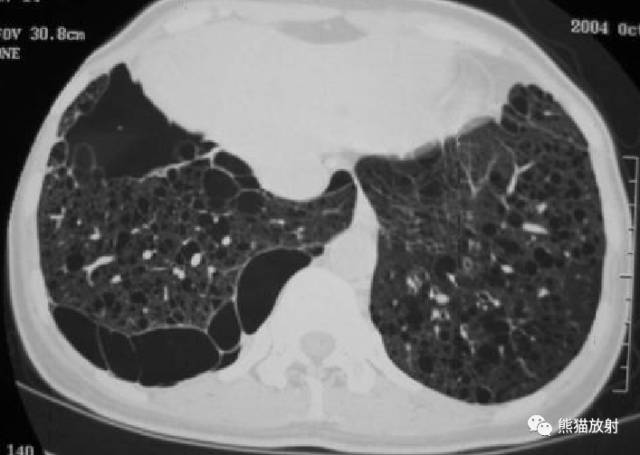
胸部CT:双肺弥漫分布大小不等薄壁囊状空气密度影,且胸膜下区低密度影明显较其他部位大,周围见索条状高密度影。阴影之间肺组织基本正常。
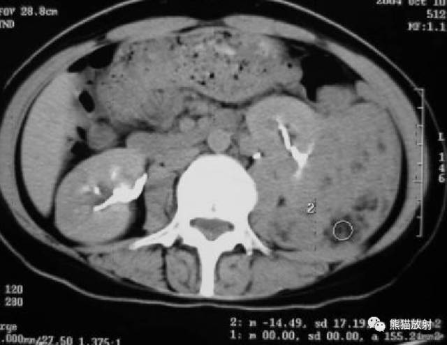
腹部CT:左肾中下极见不规则形肿块,内见多发分布斑片状脂肪密度影,肾盂肾盏受压、破坏。
【影像诊断】
肺淋巴管肌瘤病(PLAM)合并左肾血管平滑肌脂肪瘤(AML)
【依据】
①育龄期妇女。
②双肺弥漫分布囊状空气密度影,有薄壁,小叶中央动脉位于病灶边缘部分。此有别于小叶中央型肺气肿。
③左肾肿块,内见明确脂肪密度。
【鉴别诊断】
①小叶中央型肺气肿,见依据第二条。
②肺组织细胞增生症X(PLCH):分布以中上野为主,在显示囊状影的同时还可见多发结节。