【病例】左肺下叶错构瘤1例CT
发布时间:2022-10-22
发布时间:2022-10-22
病史
患者一星期前体检发现“左肺下叶占位”,无咳嗽咳痰,无胸闷气短,无发热盗汗,无乏力及胸背痛。
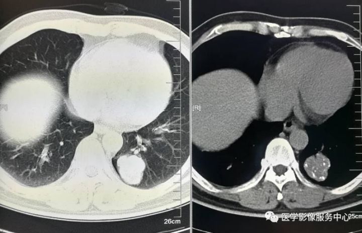
胸部CT平扫

胸部CT增强


CT表现:左肺下叶不规则肿块影,内见脂肪密度及多发钙化,增强扫描未见明显强化,纵隔未见肿大淋巴结。
病理:左肺下叶错构瘤
讨论:肺错构瘤是最常见的肺部良性肿瘤,占肺部良性肿瘤的75%,是指包含肺的所有正常组织成分,但构成成分数量异常,排列异常或分化程度异常等所形成的肿瘤样畸形。
临床表现:
中央型:咳嗽、发热等呼吸症状
周围型:常无症状,多为体检发现
影像特点:
CT:病灶边缘光滑,圆形或者类圆形,可有分叶征,其内多有脂肪密度及斑点状钙化,典型钙化为爆米花样钙化,增强后肿块无强化或仅轻度强化。
鉴别诊断:
1.炎性假瘤:肺内孤立性结节,边缘毛糙可见长毛刺,内部多无钙化及脂肪,抗感染治疗病灶可有缩小。
2.肺癌:分叶、毛刺、空泡征、胸膜凹陷征、血管集束征
3.结核球:结核病史,好发于上叶后段及下叶背段的光滑结节,边缘光滑,可见钙化,但无脂肪,病灶周围可见卫星灶。