【病例】右肺中叶硬化性血管瘤1例CT
发布时间:2022-10-22
发布时间:2022-10-22
【所属科室】呼吸科
【基本资料】女,59岁
【主诉】右肺门占位两年余
【现病史】两年前因感冒出现咳嗽、咳痰,为浅黄色粘液痰,至当地医院检查发现右肺门占位,近期因感冒再次检查发现病变有所增大。




【讨论问题】诊断?
【医学影像APP用户讨论】
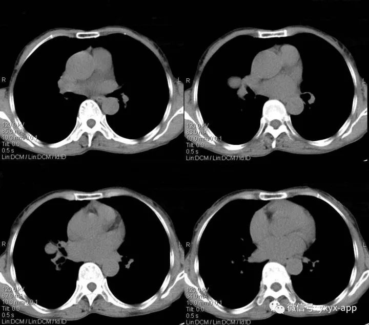
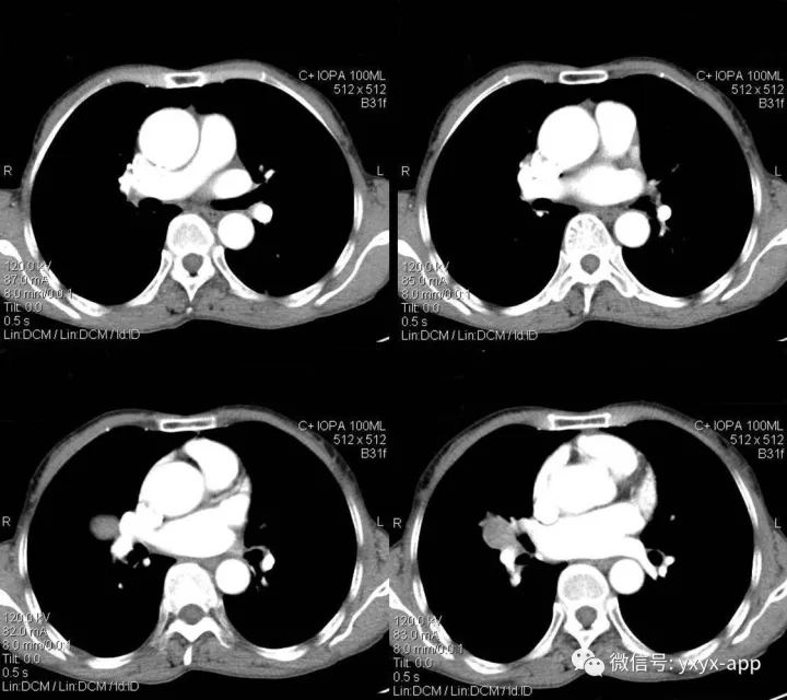
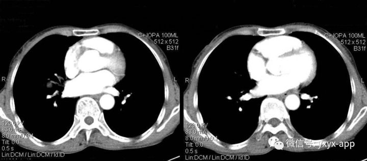
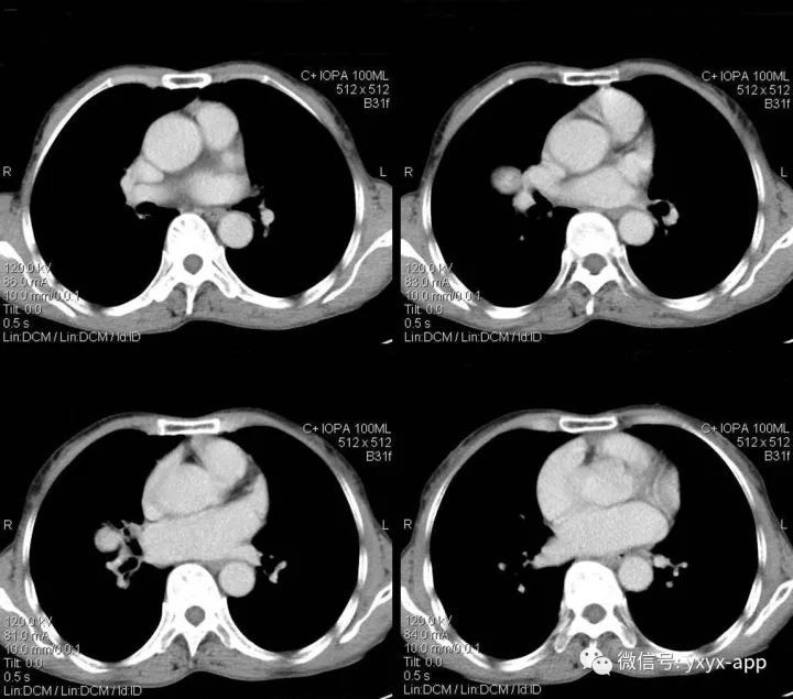
肚肚丫头:右肺门结节影,边界清,密度尚均匀,增强扫描动脉期,病变呈轻度强化,静脉期强化明显(与血管相当),病灶部分与支气管相贴。纵隔未见肿大的淋巴结。考虑与血管相关的良性病变可能。1.硬化性血管瘤;2. 巨淋巴结增生不除外
【病理结果】右肺中叶硬化性血管瘤
【病例小结】
肺硬化性血管瘤(pulmonary sclerosing hemangioma,PSH)是一种起源于肺泡Ⅱ型上皮细胞的肺部良性肿瘤,较少见。好发于40~60岁女性,男女比例约为1:4。肿瘤多见于右肺,常为单发,多发仅占4%。在病理上PSH的形成是血管瘤样区→乳头区→实变区→硬化区的演变过程。
【CT表现】
1.病灶为圆形或类圆形,边缘光滑,无毛刺,少数可有分叶,约70%病灶直径小于3cm。肿瘤无包膜,钙化率可达40%以上,可有囊变。
2.CT平扫病灶密度较均匀,与肌肉密度相近,多数PSH增强扫描动脉期有所强化,静脉期及延迟期持续均匀强化;少数为不均匀强化。较小病灶以血管瘤型和乳头型为主,强化较明显且均匀;随着病灶增大,实体型和硬化型成分逐渐增多,强化程度随之减低且不均匀。
3.相对特殊征象有①空气新月征:少数PSH表现为病灶边缘新月形或半月形无肺纹理区;②贴边血管征:表现为边缘明显强化的点状血管断面,动脉期强化明显且先于病灶本身强化,与肺动脉强化程度相近;③尾征:表现为瘤边缘尾状突起且多位于病灶近端靠近肺门一侧。
【本例特点及鉴别】
本例特点为①病灶为圆形,小于3cm,边缘光滑,无钙化及囊变;②肿瘤增强扫描为动脉期有所强化,静脉期持续均匀强化,与同层肺动脉相近;③相对特殊征象:仅见动脉期贴边血管征,未见空气新月征及尾征。本例主要要与肺无脂肪和钙化的错构瘤鉴别,以及炎性肌纤维母细胞瘤鉴别,后两者均不具有持续均匀强化的特点,可做鉴别。而巨淋巴结增生症动脉期明显强化,静脉期回落,与本例强化时相不符。
上一篇:【病例】纵隔恶性神经鞘瘤1例CT
下一篇:【病例】左肺下叶错构瘤1例CT