【病例】肺动脉静脉畸形1例CT
发布时间:2022-10-22
发布时间:2022-10-22
女,49岁
主诉: 间断发热1年余,再发4天。现病史:1年前受凉后出现发热,最高体温至37.8-38℃,多于午后出现。4天前感冒后再次出现发热,午后出现,热峰至38℃,伴双腿膝关节酸沉、乏力。
既往史:自诉有“先天性心脏病”30余年,当地医院诊断为“二尖瓣狭窄”,未给予诊治。诉“低血压”史,具体血压值不详。
查体:杵状指(趾)








手术所见:
探查:叶裂融合,上叶肺表面可见团状迂曲血管,触之有搏动感。松解下肺韧带,打开纵隔胸膜,可见众多变异迂曲静脉。超声刀打开肺门组织,游离肺动脉干,可见动脉壁变薄,上叶动脉明显增粗,左肺动脉干挂双十线以备阻断。先后游离左肺上叶肺动脉各分支,分别给予双重结扎并离断。游离上肺静脉,可见上肺静脉亦明显增粗,以EC60 白钉1枚闭合后离断上肺静脉。游离左肺上叶支气管,予以EC60 绿钉1枚夹闭气管,嘱麻醉师吸痰后呼吸机加压涨肺见左肺下叶膨胀良好,闭合离断上叶支气管。以EC60 金钉1枚、绿钉2枚沿叶间平面打开不全叶裂,移除左肺上叶。

讨论
肺动脉静脉畸形是指肺动脉与肺静脉直接相通形成的血流短路,是非常罕见的心脏外右向左分流性疾病。
多为先天性,为不完全常染色体显性遗传。
常为单发,多发少见,其供血动脉大多来自肺动脉,少数可由体循环供血。
分型
根据供血动脉和引流静脉的情况分为:
①单纯型:一供血动脉、一引流静脉和一个异常扩张的瘤囊。
②复杂型:多支供血动脉、多支引流静脉和多个异常扩张的瘤囊。
③弥漫型:极为少见,亦称为肺毛细血管扩张型,以肺叶弥漫分布的相互直接连通的多支细小血管或多发微小动脉瘤为特征。
临床表现
发病年龄2-73岁,仅10%于成年前确诊
在20-30岁才出现症状较多
临床症状与供血动脉和分流量大小有关,可有胸闷、气短、咳血、心悸和呼吸困难,甚至心力衰竭。部分患者可同时伴有皮肤、粘膜和内脏的毛细血管扩张,即遗传性出血性毛细血管扩张症(Renduoslerweber病)。
临床表现取决于未经毛细血管氧合的肺动脉直接入静脉回流至左心房量的多少。
因肺动脉的静脉血未经氧合即进入体循环,使患者处在不同程度的缺氧状态,若右向左分流少,血氧饱和度影响少,可无症状;
如果病灶较大,右向左分流量大,因缺氧,除了以上症状外,代偿性红细胞增多,血液粘稠度增加。
影像学表现
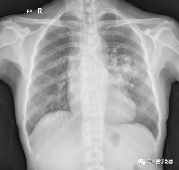
X线胸片:表现为肺外带类圆形结节影,部分病灶边缘可见指向肺门的增粗血管影。
根据相关文献报道:
国内将X线表现分为3类
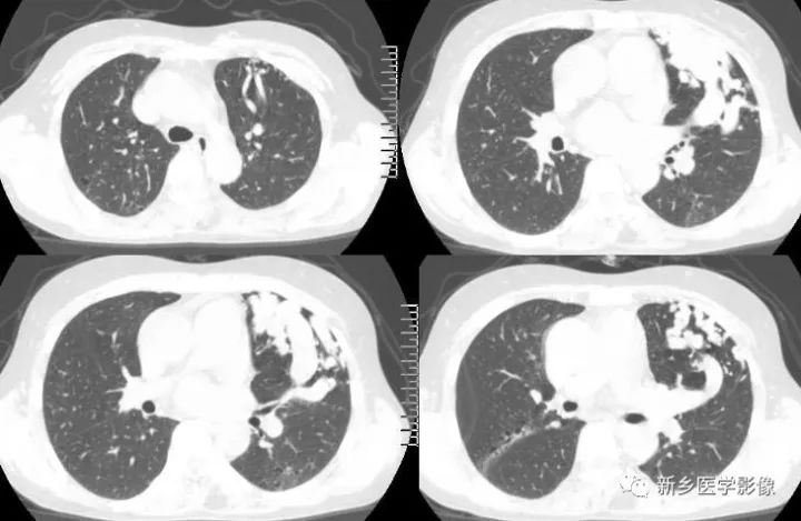
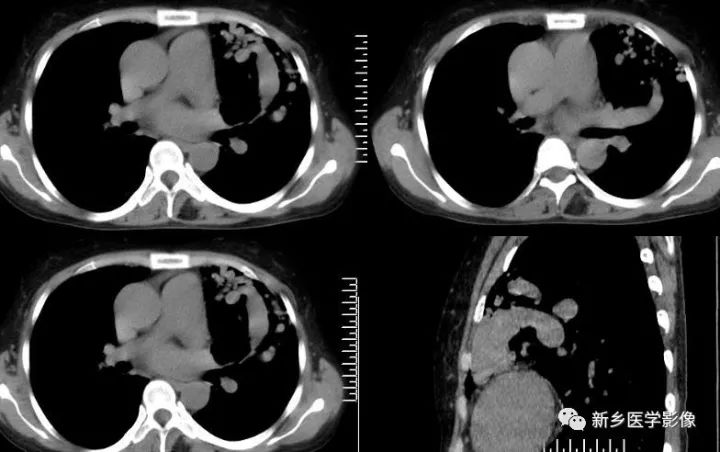
1.结节型 直径<3cm,边缘清晰,密度均匀 2.团块型 直径3-8cm,可有分叶,密度均匀或不均匀 3.弥漫型 肺野散在多个病灶,呈逗点状影,诊断相对较困难 肺动脉造影是诊断金标准,但为有创性。 CT平扫:肺部单发、多发结节或囊袋状影 CTA:①血管蒂征,扩张的血管囊边缘有供血动脉及引流静脉 ②动脉瘤、供血动脉与胸部供血大血管强化一致,引流肺静脉及左心房提前显影。 国外CT表现分型: 1.可分辨解剖结构型 引入动脉及引流静脉 2.结节型 密度均匀结节状影,CT增强病灶直径增大1cm,并与大血管同步强化可确诊。 3.管状型 分隔或不分隔的弓状影 鉴别诊断 1.炎性假瘤:多有炎性病史,边缘呈“方形征”或“刀切征”,增强扫描呈均匀强化,但强化程度不及PAVM。 2.肺癌:边缘分叶、毛糙,周围有浸润,有阻塞改变,增强强化程度不及邻近大血管 3.结核球:边缘光滑或有长毛刺,其内密度较低,可见钙化灶,周围可见卫星灶。增强扫描不强化或边缘强化。 4.肺内富血供结节病灶:主要由支气管动脉供血,时间密度曲线应与左心室与主动脉强化时间一致,且肺内富血供实质结节病灶多为恶性病变,边缘不光整,可见毛刺、分叶 5.肺静脉曲张:为肺静脉局限性扩张,临床很少有症状。一般认为是肺静脉壁先天性缺陷或肺静脉高压造成。病灶靠近左心房,CT扫描两下肺内圆形、椭圆形或管状明显强化,强化程度与左心房一致,无PAVM特征性的供血动脉和引流静脉。
上一篇:【PPT】肺部炎症新认识点滴
下一篇:“如何分析肺内阴影”之专家经验谈