发布时间:2022-10-22
上一篇:心脏冠状动脉CT血管成像技术规范化应用中国指南精选
下一篇:【病例】肺动脉静脉畸形1例CT
猜你喜欢
MRI乳腺扫描技术
【病例】胸壁弹力纤维瘤1例CT影像表现
如何在影像上判断新冠病毒肺部感染是否好转
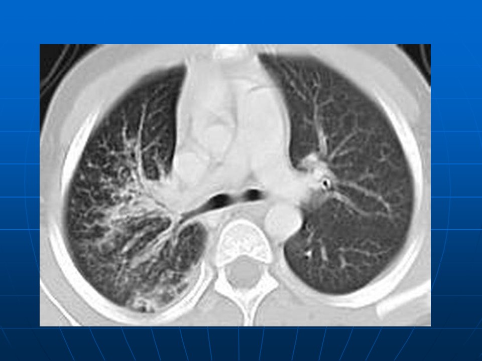
HRCT树芽征的诊断价值
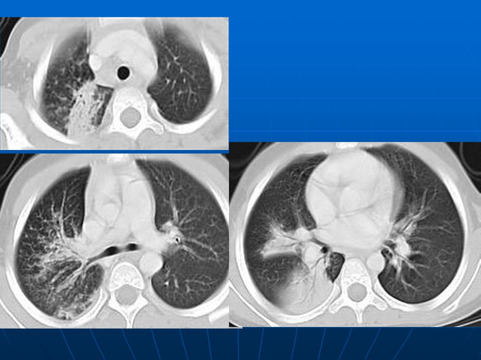
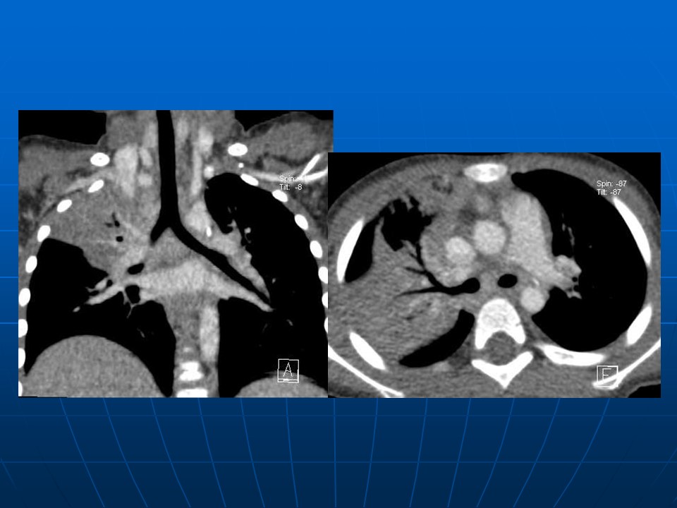
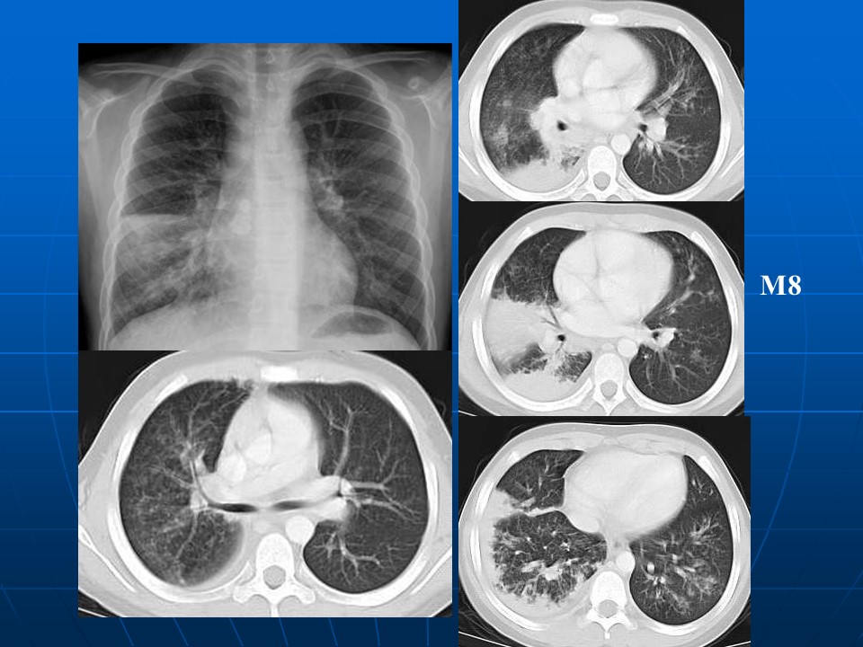
【病例】矽肺1例CT影像表现
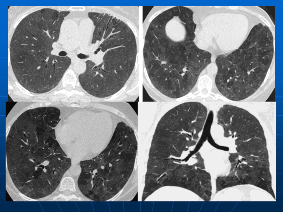
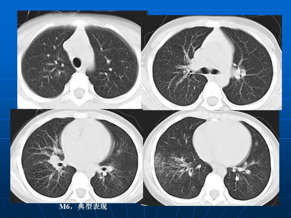
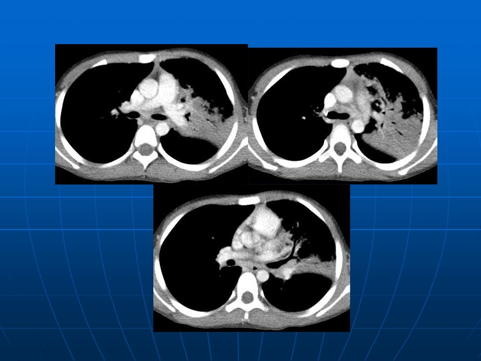
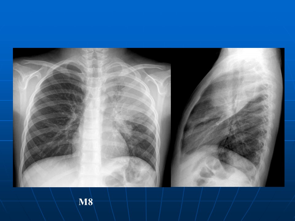
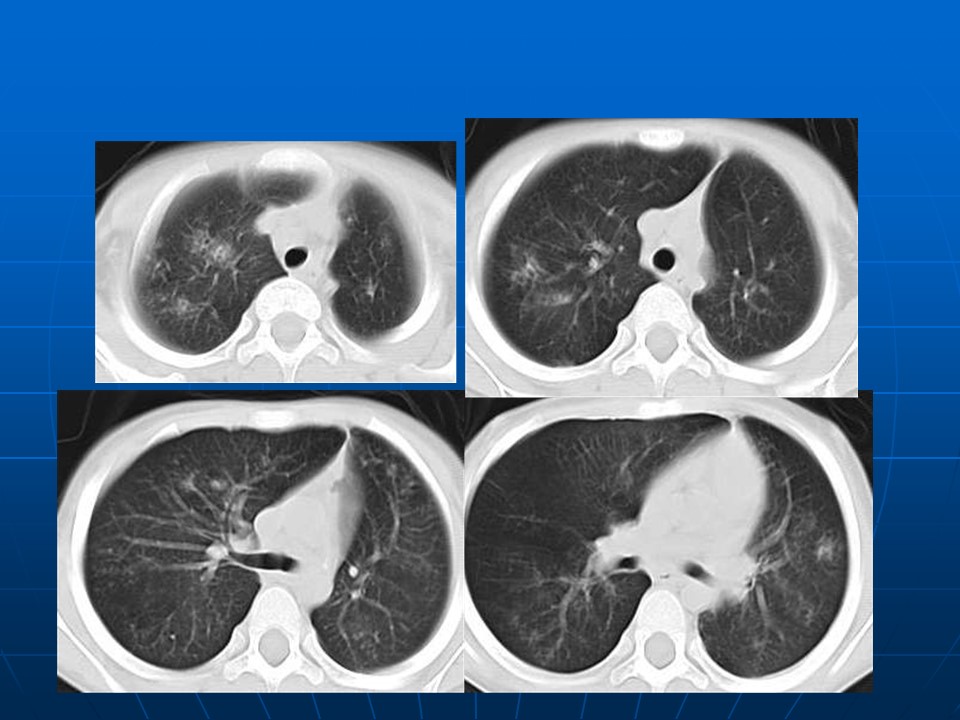
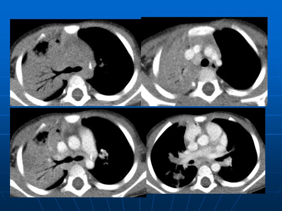
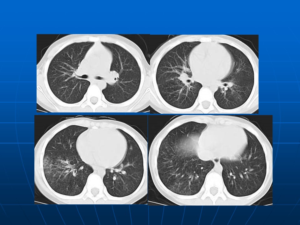
【PPT】早期肺癌易漏诊征象分析