【病例】气管肿瘤2例CT影像诊断

发布时间:2022-10-22

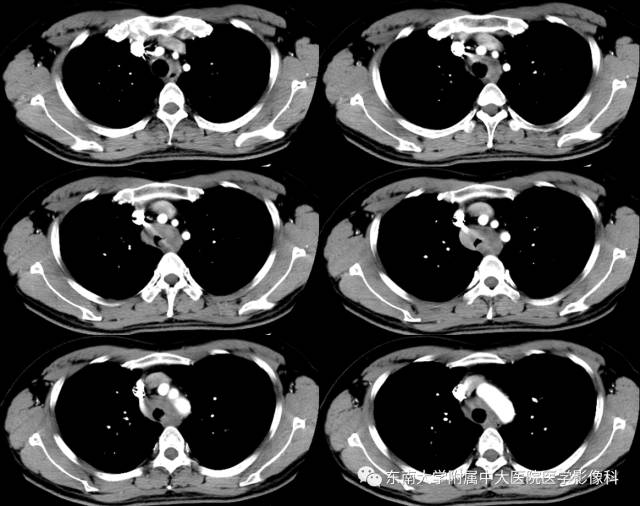
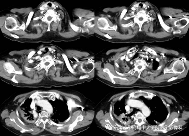
病例1

病史

男,35岁,因“反复咳嗽气喘1年余”入院。1年余前出现咳嗽气喘,咳嗽为阵发性干咳,感冒后加重,气喘多为活动后出现,自诉能听到哮鸣音。肺功能示:FVC%Pred 40%、FEV1%Pred 19%、FEV1/FVC% 80.9%,混合性通气功能障碍,支气管舒张试验阴性。

CT

平扫 增强

【病例】气管肿瘤2例CT影像诊断

【病例】气管肿瘤2例CT影像诊断

【病例】气管肿瘤2例CT影像诊断

【病例】气管肿瘤2例CT影像诊断

【病例】气管肿瘤2例CT影像诊断

【病例】气管肿瘤2例CT影像诊断

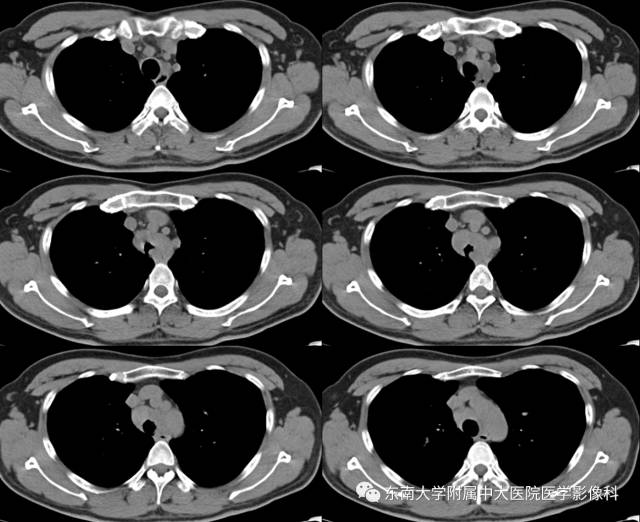
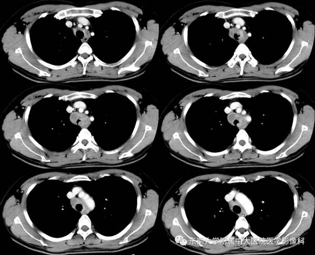
病例2

病史

女,65岁,因“气喘、气促半年余”入院。

CT

增强

【病例】气管肿瘤2例CT影像诊断

【病例】气管肿瘤2例CT影像诊断

【病例】气管肿瘤2例CT影像诊断

【病例】气管肿瘤2例CT影像诊断

【病例】气管肿瘤2例CT影像诊断

【病例】气管肿瘤2例CT影像诊断

【病例】气管肿瘤2例CT影像诊断

【病例】气管肿瘤2例CT影像诊断

【病例】气管肿瘤2例CT影像诊断

【病例】气管肿瘤2例CT影像诊断

【病例】气管肿瘤2例CT影像诊断

【病例】气管肿瘤2例CT影像诊断

【病例】气管肿瘤2例CT影像诊断

【病例】气管肿瘤2例CT影像诊断

【病例】气管肿瘤2例CT影像诊断

【病例】气管肿瘤2例CT影像诊断

【病例】气管肿瘤2例CT影像诊断

【病例】气管肿瘤2例CT影像诊断

【病例】气管肿瘤2例CT影像诊断

【病例】气管肿瘤2例CT影像诊断

精彩图片

热门精选