【病例】肺隐球菌病1例CT影像表现

发布时间:2022-10-22

病史

男,42岁,因“咽喉部不适10余天,咳嗽咳痰8天”入院。

CT

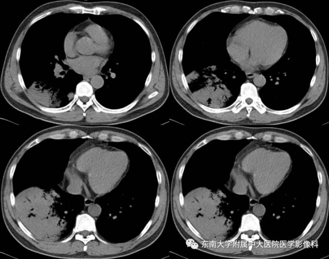
2015-10-08 入院CT

【病例】肺隐球菌病1例CT影像表现

【病例】肺隐球菌病1例CT影像表现

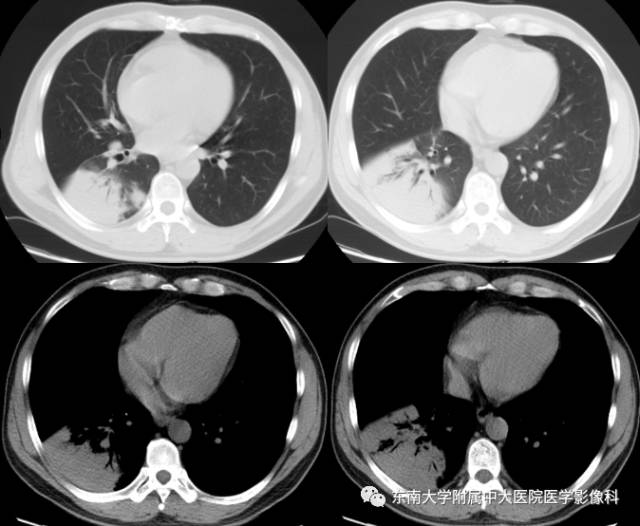
2015-10-27 抗感染治疗后复查

【病例】肺隐球菌病1例CT影像表现

【病例】肺隐球菌病1例CT影像表现

【病例】肺隐球菌病1例CT影像表现

【病例】肺隐球菌病1例CT影像表现

【病例】肺隐球菌病1例CT影像表现

【病例】肺隐球菌病1例CT影像表现

【病例】肺隐球菌病1例CT影像表现

【病例】肺隐球菌病1例CT影像表现

【病例】肺隐球菌病1例CT影像表现

【病例】肺隐球菌病1例CT影像表现

【病例】肺隐球菌病1例CT影像表现

【病例】肺隐球菌病1例CT影像表现

【病例】肺隐球菌病1例CT影像表现

【病例】肺隐球菌病1例CT影像表现

【病例】肺隐球菌病1例CT影像表现

精彩图片

热门精选