腹腔异位脾种植1例CT及MR影像
发布时间:2022-10-23
发布时间:2022-10-23
病例展示
男性,44 岁;主诉:发现肝占位 5 天
现病史:患者诉于 5 天前无明显诱因感右上腹不适,无畏寒,无发热,无恶心,无呕吐,无皮肤巩膜黄染等不适。新冠病毒核酸检测(—)。患病后精神、饮食可,睡眠正常,大小便正常。体重体力无明显改变。
既往史:10 年前外伤脾破裂行开腹脾切除术。无糖尿病、高血压、肝炎、结核等。无心脏疾患,无胃病史。
实验室检查:白细胞总数、红细胞总数正常,淋巴细胞总数正常,中性粒细胞百分比正常。肿瘤因子正常。
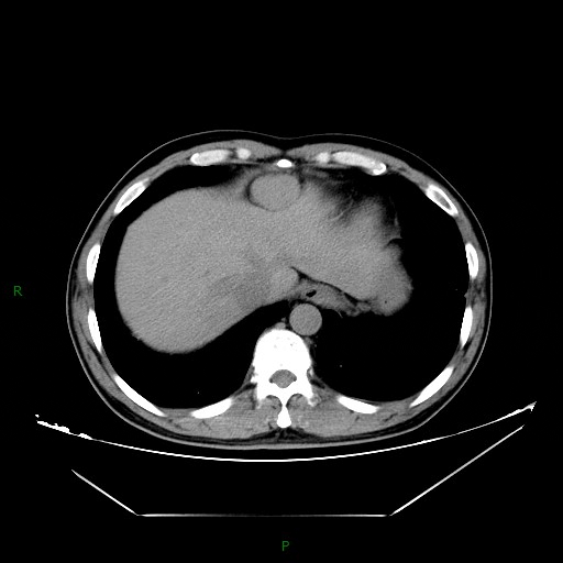
CT 平扫:

CT 增强:

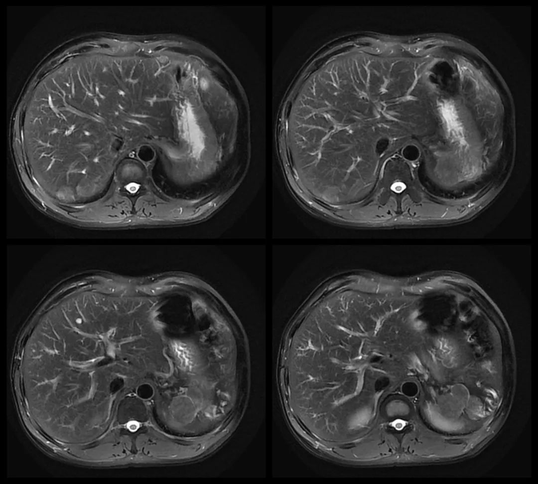
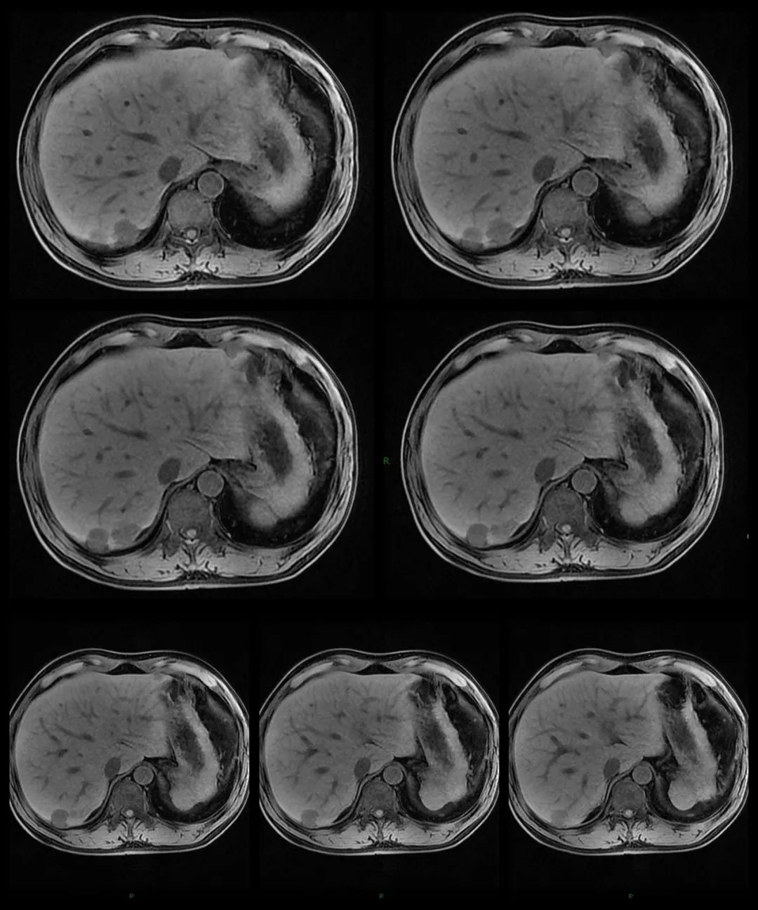
MRI:




诊断:腹腔异位脾种植
腹腔异位脾种植
腹腔异位脾种植是指脾外伤或脾切除术后脾脏的碎片组织在腹腔内不同部位种植。脾外伤或脾切除术后异位脾种植的发生率为 16-67%。脾种植可发生在脾窝、腹膜腔、胃肠道、肝脏、肾脏、膈肌、皮下、胸腔、盆腔、头部。脾种植结节可发生在腹膜腔任何位置生长为具有包膜的脾组织结节,但常种植在网膜、壁腹膜、系膜、膈肌腹侧面、肠壁浆膜层,因为这些部位靠近脾窝。
脾组织种植主要通过两种方式:
一种是创伤导致碎裂脾组织的直接播散种植,这也是脾种植的主要方式。可能是破裂后脾组织散落或黏附于腹腔,即使术中大量生理盐水冲洗腹腔,仍难以清除所有的脾组织碎屑;又或者因生理盐水的冲洗作用,致使脾碎片更加广泛分布于腹腔。
另一种为脾髓细胞由于脾静脉栓塞而经血源性播种,脾静脉汇入肝门静脉,因此以肝种植最为常见,亦可种植于远隔器官,如胸腔,且此种播散方式罕见。
影像表现:
CT:形态大多表现为结节、团块状,密度均匀,边缘清楚,直径均<4 cm,病灶与被种植的脏器呈宽基底相连。平扫时病灶密度与正常肝脏或肌肉相仿,CT 值约为 40 HU-70 HU,增强后三期强化均匀,动脉期呈明显强化,门脉期呈持续性强化,延迟期强化稍减退,各期强化方式与脾脏实质一致。
MR:多数表现为 T1WI 稍低信号,T2WI 中高信号,与正常脾组织信号相似。增强扫描动脉期、门静脉期和延迟期均为高信号。
鉴别诊断:
(1) 发生于腹腔大网膜的脾种植,需要与肿大的淋巴结相鉴别。转移性的淋巴结有原发肿瘤病史,强化方式与其原发肿瘤近似;结核性淋巴结肿大可见钙化及环形强化;淋巴瘤性的肿大淋巴结可以融合成团。
(2) 需要特别指出的是发生于左侧腹腔大网膜的脾种植还要与副脾增生相鉴别,后者可见脾血管供血,而前者无脾门,由被种植脏器供血。
(3) 发生于胃的脾种植需要与胃间质瘤相鉴别,两者均为腔外肿物,但后者强化更为显著,且欠均匀。
(4) 发生于胰腺、肝脏、肾脏等的脾种植均需要与该脏器的原发肿瘤相鉴别,均可以利用脾种植特有的强化方式与之鉴别。
参考文献
曾仲刚, 李雪霞, 梁俊生, 等. 腹腔脾种植的多层螺旋 CT 表现与病理对照分析 [J]. 临床放射学杂志, 2017, 036(003):364-367.
相丽, 顾康琛, 孙莉华, 等. 腹腔异位脾种植的多层螺旋 CT 诊断 [J]. 中国 CT 和 MRI 杂志, 2019, v.17;No.119(09):105-107.
王婷.CT 和 MRI 应用于诊断脾种植的临床分析与表现 [J]. 中国 CT 和 MRI 杂志,2016,14(06):76-78.
张斯佳. 脾种植的 CT 和 MRI 表现 [J]. 临床放射学杂志,2015,34(05):747-751.
上一篇:甲状腺腺瘤1例影像诊断思维
下一篇:脑脊液耳漏1例CT及MR病例讨论