T2-FLAIR 错配征——这个影像征象很特异
发布时间:2022-10-21
发布时间:2022-10-21
病例展示
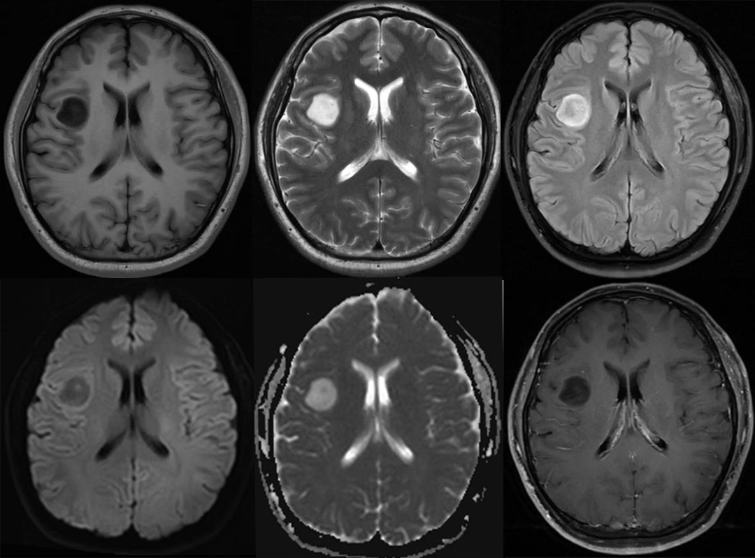
病史:男,38 岁,间断肢体抽搐半个月。
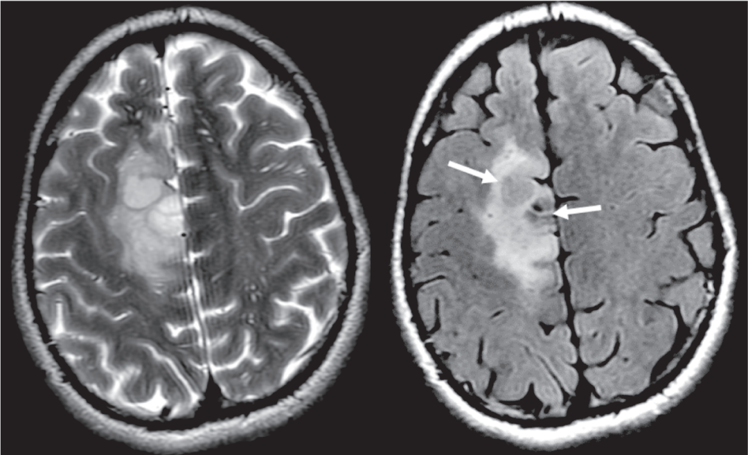
影像学检查:

术中所见:肿瘤位于右侧额下回后部及岛叶,全切,肿瘤大小约 2.0X2.5X2.5 cm。
术后组织病理:星形细胞瘤 2 级,伴黏液样变性,局部生长活跃(Ki-67 约为 10%;);免疫组化:ATRX(少量+)、P53(+)、IDH1(+);分子病理:MGMT 启动子甲基化、1p 染色体完整、19q 染色体缺失、IDH1 突变、TERT 无突变。
T2-FLAIR
1、基因/分子遗传学在中枢神经系统肿瘤中的诊断起着非常重要的地位,异柠檬酸脱氢酶(IDH)的突变,对胶质瘤形成的理解和神经肿瘤的时间发生了巨大的改变。目前认为 IDH 突变是胶质瘤形成的始动因素,对原癌基因进展的分子和遗传机制以及临床疗效均有深远影响。而基因检测价格比较昂贵,目前不能在所有医院普及,而某些特殊的影像学特征可以帮助我们去预测某个基因突变,比如 「T2-FLAIR 错配 」。
2、「T2-FLAIR 错配 」 征是近年来影像基因组学领域中发现的最具突破的特征,是常规 MRI 可检测到的独特影像学特征,能够辅助在术前诊断 IDH 突变型星形细胞瘤(有 IDH 突变,但没有 1p/19q 共失),并且具有一定的特异性。

2020 年 Neuro-oncology 杂志总结了 「T2-FLAIR 错配 」 征的要点:严格的纳入标准:1)肿瘤在 T2WI 显示完整或接近完整且几乎同质的高强度信号;2)肿瘤在 FLAIR 显示主体低信号(抑制的程度可能不均匀),但有高信号的薄边缘;3)T2-FLAIR 错配通常很少或没有增强对比

回过头看本病例,肿瘤在 T2WI 呈主体均质高信号,FLAIR 主体呈低信号,周围环形高信号;术后病理为星形细胞瘤 IDH 突变型。

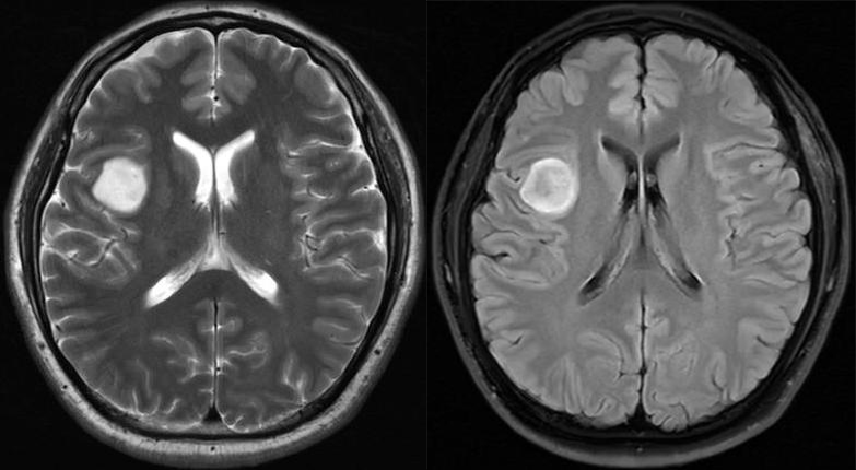
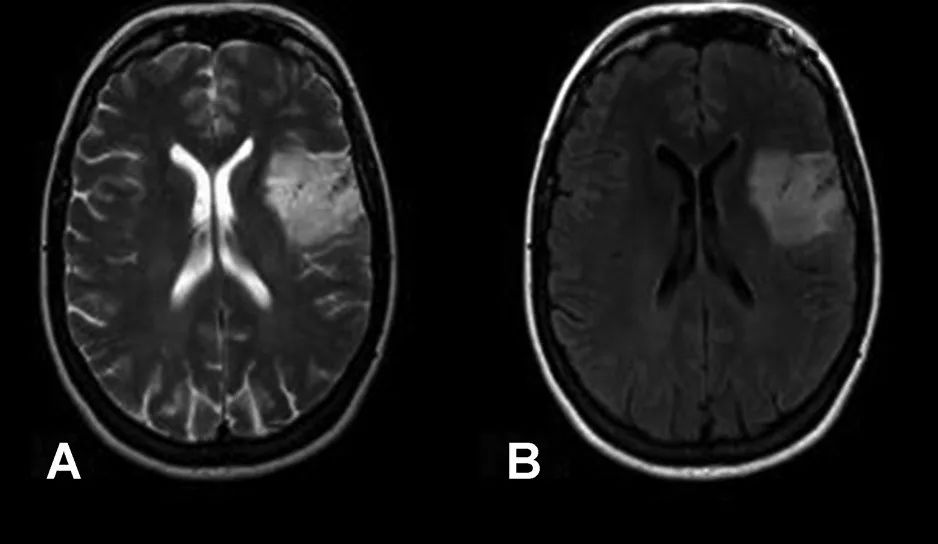
2 例星形细胞瘤 IDH 突变型,均表现为 T2-FLAIR 错配,注意 FLAIR 低信号可以是均匀或不均匀

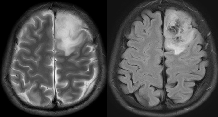
1 例星形细胞瘤 IDH 突变型,均表现为 T2-FLAIR 错配

尽管肿瘤相对于 T2WI 在 FLAIR 序列上包含小的低信号区域(箭头),但大部分占位在 FLAIR 上显示的信号类似于 T2WI,不符合 T2-FLAIR 错配

肿瘤 T2WI 高信号不均质,不符合 T2-FLAIR 错配
严格的排除标准:1)坏死腔不是 T2-FLAIR 错配;2)小囊肿不满足 T2- FLAIR 错配标准。不应将 T2WI 高信号的瘤内区域和 FLAIR 上相应的低信号(如瘤内囊肿或坏死核心)与 T2-FLAIR 不匹配体征的标准相混淆

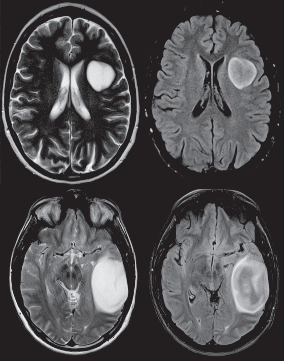
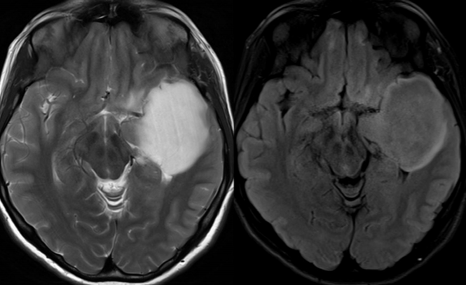
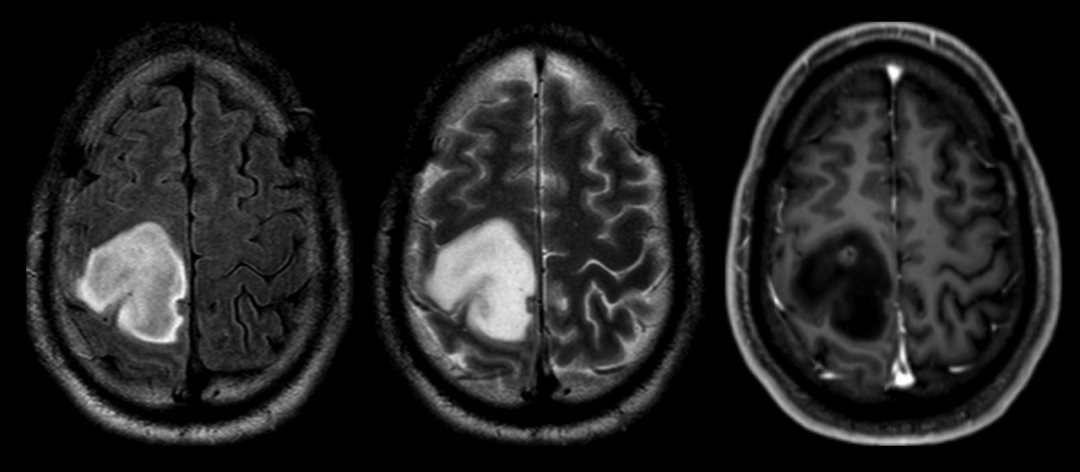
T2WI 看似整体均质高信号,但是 FLAIR 出现明显的低信号(坏死/囊肿),未见强化,不符合 T2-FLAIR 错配。术后为少突胶质细胞瘤 IDH 突变型。

T2WI 看似整体均质高信号,但是 FLAIR 出现明显的低信号(坏死/囊肿),不符合 T2-FLAIR 错配。术后为少突胶质细胞瘤 IDH 突变型。

肿瘤显示 T2-FLAIR 错配征,尽管存在个小结节增强,但术后病理证实为 IDH 突变的胶质母细胞瘤

参数差异可能影响 T2-FLAIR 的呈现
避免潜在误判的提示:
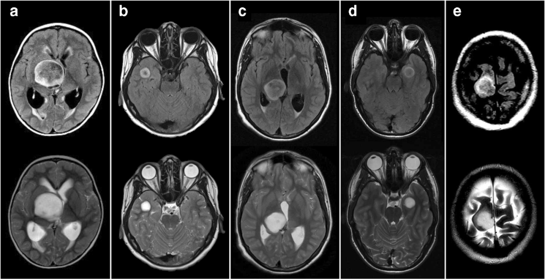
1)小儿患者(≤18 岁)中避免使用 T2-FLAIR 错配

4 例 T2-FLAIR 错配,但是年龄 ≤18 岁,a = 2 岁(毛细胞星形细胞瘤),b = 12 岁(病理提示灰质异位,随访 1.5 年时无进展/复发的证据),c = 14 岁(H3K27M 改变型中线胶质瘤),d = 18 岁(儿童低级别弥漫星形细胞瘤,MYB 改变)。
2)T2WI 肿瘤内包被的皮质灰质可能显示相对低信号,此发现不应排除 T2-FLAIR 错配的迹象

包被的皮质灰质
小结
T2-FLAIR 错配征的发现是胶质瘤成像和影像基因组学的重大发现,它代表着首个对胶质瘤分子亚型近乎完美的特异性识别的影像学特征,该征象的一个优点是可以使用常规临床 MRI 轻松识别,而无需先进的成像方法。由于 T2-FLAIR 错配征提供了在手术之前可获得的诊断信息,因此临床应用中可能会对患者早期咨询和管理提供必要信息。同时注意 T2-FLAIR 错配征对成年群体中的 IDH 突变星形细胞瘤特异性高,敏感性低,但是在儿童也会出现 T2-FLAIR 错配,特异性需要谨慎解释,这也强调了儿童型和成人型胶质瘤之间的许多差异。