浆细胞瘤
发布时间:2022-10-21
发布时间:2022-10-21
一、概述
浆细胞来源(图示):浆细胞来源于B淋巴细胞,由骨髓多功能干细胞分化而来的B淋巴细胞接受抗原刺激后,经增殖、分化、成熟的过程,最终发展为具有合成和分泌免疫球蛋白能力的终末细胞–浆细胞。正常情况下。浆细胞是多克隆性,合成并分泌多克隆免疫球蛋白,以满足机体免疫应答反应的要求。
病理情况下,病变克隆浆细胞恶性增殖,形成大量单克隆浆细胞合成和分泌大量单克隆免疫球蛋白,而正常多克隆浆细胞增生及多克隆免疫球蛋白分泌受到抑制,导致各种浆细胞疾病的发生。

▲浆细胞来源(图示)
浆细胞瘤是浆细胞单克隆异常增殖的恶性肿瘤,属于淋巴细胞肿瘤中的一种,临床上分为多发性骨髓瘤( multiple myeloma,MM) 、骨孤立性浆细胞瘤( solitary plasmacytoma of bone,SPB)及髓外浆细胞瘤 ( extramedullary plasmacytoma,EMP)[1],通常以MM最为常见。MM骨骼改变的影像学表现有一定的特征,通过影像学提示结合实验室检查大部分能够明确诊断.
多发性骨髓瘤(MM)首发临床表现复杂多样,初诊误诊为其他疾病在国内外文献中屡有报道。曾敏等[2]对误诊疾病数据库的回顾性研究发现,MM误诊疾病多达131种,涉及16个系统或专科,常见误诊疾病包括骨质疏松症、肾炎、肾功能不全等。
二、多发性骨髓瘤的临床表现
多发性骨髓瘤骨病的临床表现包括:
1、病理性骨折
2、压缩性骨折
3、高钙血症
4、多发性骨髓瘤骨病的临床特征为骨痛,
5、骨痛常为疾病的首发症状和患者就医的主要原因。

三、MM诊断标准(WHO 2008年)
无症状性骨髓瘤(冒烟型骨髓瘤,smoldering myeloma,SMM)
1、血清M蛋白达到骨髓瘤水平(>30g/L)
2、骨髓中有10%或更多克隆性浆细胞
3、无相关器官、组织损害或MM相关症状
症状性多发性骨髓瘤
1、血清或尿中存在M蛋白
2、骨髓中存在克隆性浆细胞或浆细胞瘤
3、有相关器官或组织损害(贫血、高钙血症、肾功能损伤、骨质病变)
四、影像学检查方法
1、X线摄片
当X线表现为明显骨质疏松的背景,警惕骨髓瘤的存在,如果表现为局部的溶骨改变,更加可靠。确切的诊断依据是多发溶骨改变和/或伴有骨折的严重骨质疏松。但是,普通X线检查难以发现早期病变,约20%普通X线检查阴性的病人,通过其他检查可发现骨髓瘤活动的证据。然而,X线对头颅、骨盆和四肢的骨病的检查较敏感。
2、CT扫描
CT扫描可发现早期骨质破坏及病程中新发的溶骨病变。对于骨质的破坏,CT有明显优势,可以观察到骨质破坏、骨痂形成情况,以及周围软组织的情况,缺陷就是不能区分陈旧骨质破坏病变部位是否存在着骨髓瘤的活动。对于重叠较多的组织比如肋骨,CT更能发现细微的骨质破坏,从而有助于发现早期骨髓瘤。
3、MRI检查
MRI检查能发现骨髓瘤的骨髓浸润,尤其是脊椎骨部位。在可疑溶骨部位或骨质疏松部位的骨髓浸润的判断上,MR具有重要的诊断意义,MRI主要反映的是骨髓瘤的骨髓浸润,而且能客观反映脊柱的骨破坏情况。对于细微骨质破坏较CT差。
五、影像学诊断
1、骨质疏松背景下穿凿性骨质破坏、溶骨性骨质破坏,好发扁平骨及骨髓丰富的组织,肋骨及脊椎骨、颅骨为多发。
2、以溶骨性、膨胀性骨质破坏为主,表现为骨质破坏区呈均匀软组织密度或略高密度,边界模糊,内部无明显钙化、坏死,破坏区范围相对较大
3、病灶周围骨皮质不规则吸收、缺如,部分残留骨皮质硬化,在 CT图像上呈筛孔状、穿凿状破坏,见周围可见明显软组织块影,主要表现为骨质破坏区软组织块影从骨皮质缺损处向周围侵犯。
4、病理性骨折合并骨痂形成。

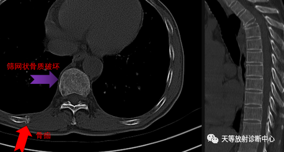
▲上图:晒网状骨质破坏区以及肋骨的病理性骨折骨痂形成。

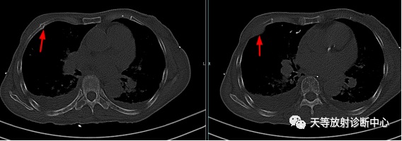
▲肋骨骨质破坏并周围软组织肿块,向周围侵犯呈梭形改变。

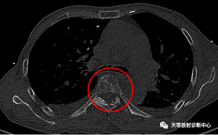
▲胸椎多发椎体溶骨性骨质破坏,穿凿或穿透性骨质缺损区。


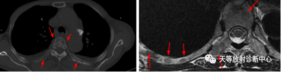
▲多发性骨髓瘤,椎体及多发肋骨穿凿性骨质破坏,范围广泛。

▲女性,66岁。腰椎多个椎体压缩性骨折,为骨质疏松脆性压缩性改变,椎体内未见骨质破坏,未见软组织肿块,各个附件骨质信号无异常。本病例为腰腿痛病人,骨质疏松伴多发椎体脆性压缩性骨折,新旧不一,诊断中警惕观察排除是否多发性骨髓瘤。

▲上图:骨髓瘤容易漏诊,这样的颈椎信号,信号混杂,很难发现骨质破坏,常常是考虑红黄骨髓分布不均导致的信号混杂,或者椎体骨质疏松信号改变。然而,在随访中证实是多发性骨髓瘤。

▲同上一个病例,这样的信号,也是容易漏诊骨髓瘤。后面随访中确诊骨髓瘤。

▲同上一个病例,通过后面随访,病变范围扩大,明显溶骨性骨质破坏。

▲ T2 混杂高信号及多发性线样低信号,其骨皮质增厚及辐射形式与脑实质形态相似,称之为“迷你脑”征。文献报道该征可以特异诊断浆细胞瘤。
六、多发性骨髓瘤骨病的治疗原则和目标
1. 原发病及骨髓瘤本身的治疗是骨病治疗的基础和关键;
2. 治疗和预防骨相关事件(SREs);
3. 缓解疼痛,改善生活质量;
4. 控制肿瘤进展,延长生存期。
七、多发性骨髓瘤骨病的治疗手段
化疗、靶向治疗
双膦酸盐类药物治疗
局部放疗
手术治疗
止痛
八、小结
1、早期骨髓瘤诊断困难
2、临床表现为胸椎疼痛为主
3、警惕不符合年龄特点的骨质疏松
4、骨质疏松大背景下的小病灶发现:多种影像学检查手段应用可以发现早期骨髓瘤。
5、骨质表现为晒网状或溶骨性或膨胀性破坏+软组织包裹
6、骨质破坏区无成骨及钙化,但病理性骨折具有骨痂形成
7、晚期病灶发展迅速,合并多发性骨髓瘤性肾病 。
影像学检查综合应用
1、胸部影像学检查不要忽略脊椎及肋骨的观察,骨髓瘤好发骨髓丰富的扁骨及脊椎骨
2、重视老年患者椎体压缩性改变,磁共振有利于发现压缩性骨折背后的重要信息
3、提高骨质疏松病的诊断能力,尤其是磁共振诊断骨质疏松的技术
4、进一步认识红黄骨髓转换机制,认识脂肪变性、脂肪浸润、骨质破坏之间的5、影像学表现+结合临床
end
参考文献:
[1] Dores G M,Landgren O,McGlynn K A,et al. Plasmacytoma of bone,extramedullary plasmacytoma,and multiple myeloma: Incidence and survival in the United States,1992-2004[J]. Br J Hematol,2009,144( 1) : 86-94.
[2]曾 敏.羊裔明.误诊疾病数据库2004-2013年单病种误诊文献 研究:多发性骨髓瘤[J].临床误诊误治,2017,30(1):31.
上一篇:骨盆X线解剖详解