截肢后残端还能长肿物—创伤性神经瘤1例MR影像
发布时间:2022-10-21
发布时间:2022-10-21
病例资料
78岁老年女性,发现左上肢残端肿物3月余,偶伴牵拉疼痛,无畏寒、发热,
无红肿流脓,当地医院彩超提示:左上肢残端皮下实性病灶,考虑:神经鞘瘤?
患者既往因左上肢前臂感染行左上肢前臂截肢术(具体不详)。
查体:左上肢上臂可见愈合残端,上臂内侧、外侧各可见一长约10*3cm皮下肿块,质软,轻微触痛,界限尚清,与周围组织无明显粘连,活动度良好。
实验室检查:碱性磷酸酶(ALP) 138(50-135)细胞角蛋白十九片段7.13(0-5)
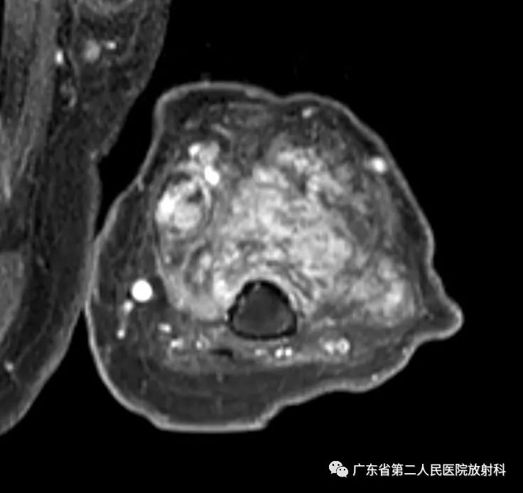
影像资料


T1WI


T2WI




T2压脂


T1增强
![]()
影像表现
左上肢前壁截肢术后观,左上臂中下段见团块状异常信号,病灶信号明显不均,整体以长T1长T2信号影为主,增强扫描呈明显不均匀强化,末端球形膨大,内见散在少许团絮状短T2长T1且无强化信号。冠状位示病灶整体呈梭形改变,边界欠清,部分包绕肱骨下段,以长T1长T2信号为主,散在少许短T2信号,增强扫描明显不均匀强化,内见散在少许团絮状短T2长T1且无强化信号。肱骨下端边缘欠光整,骨髓未见明确异常信号。
病理结果
灰黄肿物2个,其一大小8x5x3.5cm,其二大小10x4x3cm,切面均灰红灰白,伴出血。(左上肢残端肿物)考虑创伤性神经瘤合并血管瘤。
概述
创伤性神经瘤是轴索、施万细胞和瘢痕组织形成的一种良性非肿瘤性增生物,其形成是由于创伤或外科手术时周围神经部分损伤或完全切断后,神经干近端再生肿胀增大,而不能与远端连接,便形成了杂乱的神经纤维团块。创伤性神经瘤临床表现为质地坚硬的结节,多单发,部分伴疼痛、感觉异常,严重者伴有功能障碍。多发生于下肢截肢术后或头颈部手术后,乳腺癌术后发生于胸壁者较少。
创伤性神经瘤病理学意义
指神经纤维断裂损伤后,若断裂的两端相隔太远和(或)有纤维组织增生,或因截肢失去远端,近端新增生的轴突长不到远端的神经膜细胞索内,与增生的纤维组织绞缠在一起,形成瘤样肿块。影像表现缺乏特异性,目前暂无相关影像表现的总结,仅有少量个案报道。
参考病例

一名23岁男性,右坐骨神经弹道创伤后状态,组织学证实有端球神经瘤(EBN)
小结:创伤性神经瘤是一种创伤后的反应性病变,可以局部干扰相邻器官并常产生症状,若局部出现占位性病变,形态与神经走行一致,结合相关的创伤史、手术史,应考虑到该诊断。
参考文献
1、鲍其远,肖成伟,王涛,上肢周围神经损伤后的痛性神经瘤及其治疗,复旦学报(医学版),2014,Mar.41(2).
2、官士兵, 陈德松,顾玉东 ,残端痛性神经瘤,CHINA J Hand Surg,June 2001,Vol 17.
下一篇:骨纤维结构不良1例X线MR影像