坐骨股骨撞击综合征1例MR影像
发布时间:2022-10-21
发布时间:2022-10-21
病例展示
女性,45 岁 一个半月前出现臀部疼痛不适;在外院行针灸理疗症状未见明显缓解;


年轻医生初写报告结论:双髋关节 MRI 平扫未见明显异常;
我让小伙伴再认真看看,真的是未见明显异常嘛?5 分钟后,他仍然告诉我,髋关节确实没看到问题啊;

真的没问题嘛?

这是什么呢?
坐骨-股骨撞击综合征
坐骨股骨撞击综合征 (Ischiofemoral impingement syndrome,IFI) 这一概念在 2009 年由 Torriani 等提出,基本定义:IFI 是与坐骨结节和股骨小转子间隙变窄相关的髋部疼痛,股方肌出现形态学异常和 (或)MRI 信号异常。这种疾病看似少见,实际上比预想的情况多,应当引起骨科医生和放射科医生的重视。
发病机制
坐骨-股骨撞击综合征主要是坐骨结节与股骨小转子间隙变窄所致,造成坐骨结节-股骨间隙狭窄有三种因素:即体位性因素、先天性因素和获得性因素。
体位性因素:是指髋关节的内旋外旋、内收外展和前屈后伸这些不同体位对坐骨股骨间隙造成影响。
先天性因素:包括股骨小转子过度突出、股骨小转子水平横断面过大、先天性股骨后内侧位和坐骨耻骨支低位且角度接近冠状面等。
获得性因素:包括重度髋关节骨关节炎导致股骨向上向内侧移位、波及股骨小转子的骨折、外翻式股骨转子间截骨、骨扩张性生长病变(如骨软骨瘤)及腘绳肌近端止点末端病等。
此外,与男性比较,由于女性骨盆解剖形态左右横径更长,前后径更短,坐骨结节位置更宽,因此女性更容易出现先天性坐骨股骨间隙狭窄,由于上述原因造成坐骨股骨间隙变窄,正常情况下股骨小转子与坐骨结节或腘绳肌腱止点始终保持适当的距离,更不会接触。一旦出现坐骨结节和股骨小转子间隙狭窄,就会使夹在其中的股方肌因受到反复摩擦而损伤。
临床表现
IFI 主要引起髋部非特异性疼痛,疼痛时间可持续数月至数年。据统计,有 25%-40% 的 IFI 病例为双侧同时发病,女性较男性更易发病,可发生在人群各年龄阶段。IFI 患者通常表现为腹股沟区或臀部慢性疼痛,另外由于股方肌近端对邻近坐骨神经造成的压迫,疼痛可向下肢远端放射。患侧髋关节后伸同时内收、外旋,可能诱发疼痛。
影像表现
影像表现重点谈 MRI 表现:
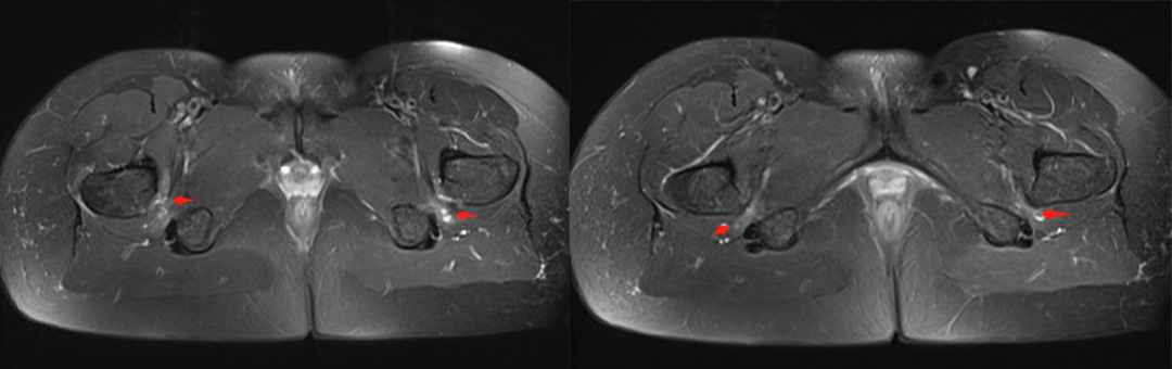
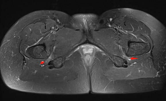
1. 坐骨股骨间隙变窄,坐骨股骨间隙是坐骨结节外侧骨皮质到股骨小转子内侧骨皮质的最窄距离,正常坐骨股骨间隙正常人群组为 23±8 mm,若间隙﹤15 mm 可视为狭窄。
2. 股方肌间隙变窄,股方肌间隙是股方肌通过的最窄间隙,其后内侧边界是腘绳肌肌腱止点的外上表面,前外侧边界是髂腰肌肌腱或股骨小转子的后内侧表面,测量这两个边界之间的最短距离。正常股方肌间隙人群组为 12±4 mm,若间隙﹤8 mm 可视为狭窄。
3. 股方肌以位于坐骨股骨间隙最狭窄处的肌腹为中心出现水肿信号或挤压变形。
4. 其他表现还包括髂腰肌腱止点水肿、腘绳肌腱止点水肿或损伤、滑囊样组织形成。
5. 长期病变患者可出现股方肌脂肪浸润或肌萎缩。

测量方式:坐骨-股骨间隙测量 两侧相比右侧坐骨-股骨间隙缩小

股方肌位于狭窄处出现水肿
作者 | 黄敏