Freiberg病
发布时间:2022-10-21
发布时间:2022-10-21
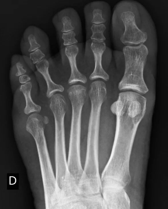
跖骨头的骨软骨病。它通常会影响2Nd跖骨头,虽然3RD和4TH也可能受到影响。在多达10%的病例中,它可以是双边的。
最常见的是10-18岁的女性(男女比例为1:3)。
原因是有争议的,而且可能是多因素的。
一种创伤性,表现为急性或重复性的损伤和血管损害,在女性身上,尤其是在青春期,高跟鞋被认为是一种可能的致病因素。
从组织学上看,其特征是软骨下骨塌陷、骨坏死和软骨裂。
这些特性可以分为早期特性和后期特性:
早期的MRI表现包括在T1加权图像上跖骨头的低信号强度改变,相应的T2加权和STIR图像上的信号强度增加。
随着疾病的进展,跖骨头会变平,当骨头硬化时,T2加权图像上会出现低信号强度的变化。
CASE F40 类风湿关节炎患者


第三右跖骨头结构的轻度改变,扁平,有一条细微的硬化线,提示有骨坏死。
上一篇:扁平足X线测量方法
下一篇:“芹菜杆征”,这个征象提示啥?