Segond骨折前交叉韧带损伤1例X线MR
发布时间:2022-10-21
发布时间:2022-10-21
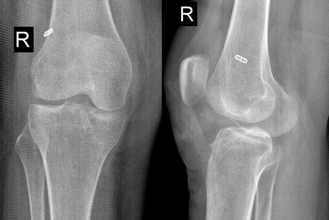
女44岁,外伤



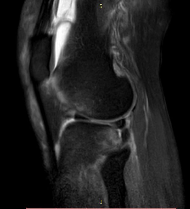
前交叉韧带“消失”

外侧半月板后角“消失”

下图横断面的标线标记的是左下图,为外侧半月板的桶柄样撕裂移位

下图标记的是外侧半月板的撕裂


下图标记的是外侧半月板的撕裂

下图示外侧副韧带损伤 腘肌腱损伤 髂胫束连续

内侧副韧带损伤

膝后肌群损伤


Segond骨折,因下肢过度内翻、内翻暴力所致胫骨平台外侧缘的撕脱性骨折。撕脱的骨折块较小,小骨片多位于腓骨头上方,且较少波及关节面而易被忽视。往往合并前交叉韧带损伤、半月板损伤及外侧副韧带损伤。
有文献报道,Segond 骨折合并有前交叉韧带(ACL)损伤的发生概率约为75%~100%,若没有得到及时处理,关节将会出现反复扭伤的现象,容易引发膝关节继发性损害,最终将导致关节过早的出现退变和骨关节病的发生。当怀疑Segond骨折,应该做MRI检查,评价膝关节组织损伤情况。
CASE 前交叉韧带下端撕脱骨折 韧带撕裂


下图前交叉韧带重建术后




![]()
ACL损伤的间接征象:指ACL断裂后胫骨前移位出现的一系列改变。间接征象只能考虑可能有ACL损伤。
1.关节失稳,ACL撕裂,胫骨就相对于股骨前移。



有时前交叉韧带损伤或撕裂,须与半月板撕裂相鉴别,如下例

箭头是撕裂的内侧半月板,前交叉韧带冠状面是连续的,下端胫骨附着处小片绪状高信号影,提示损伤或部分撕裂。