股骨头缺血性坏死1例X线MR
发布时间:2022-10-21
发布时间:2022-10-21
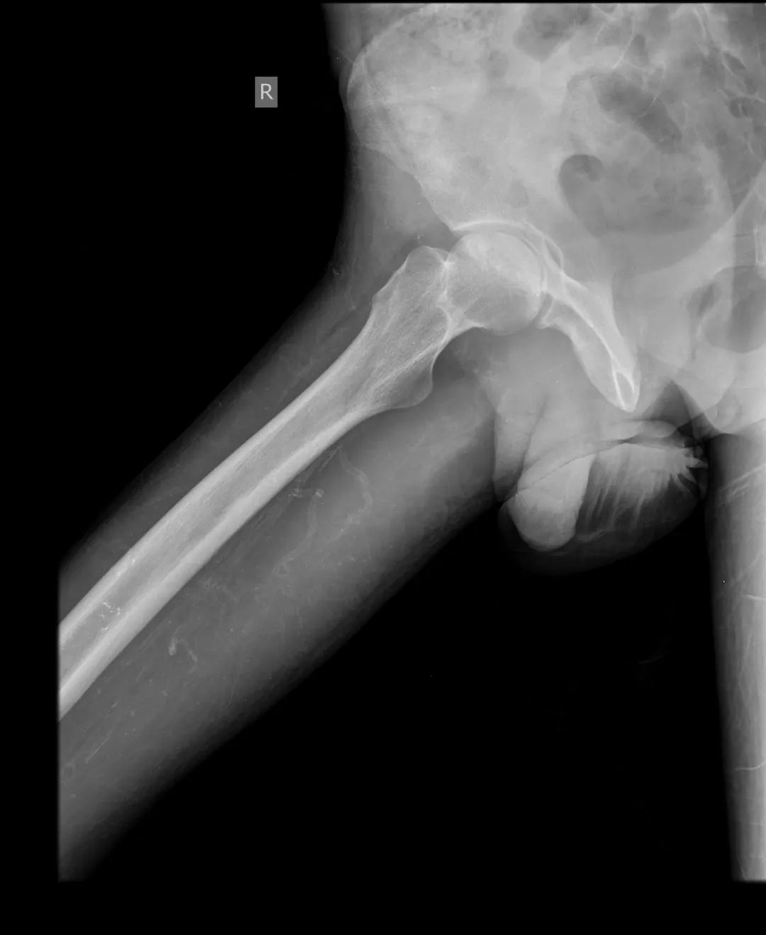
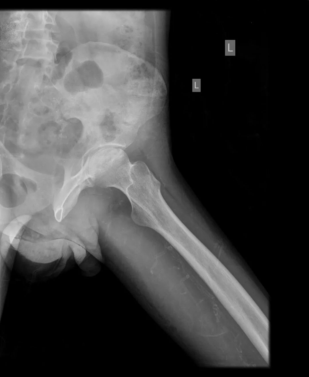
CASE M25 年轻男性,已知有类固醇治疗狼疮性肾炎史。伴有双侧髋关节疼痛和运动困难的抱怨。



不规则的透光区,代表软骨下囊变,与边缘硬化在两个股骨头。双股骨头呈线性软骨下骨折/断裂,伴有轻度塌陷/扁平。这些发现代表了双侧股骨头缺血性坏死。




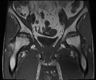
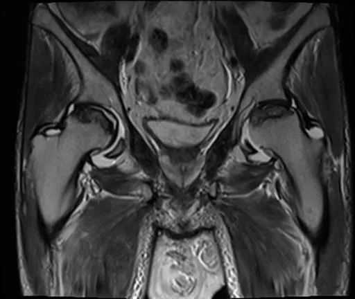
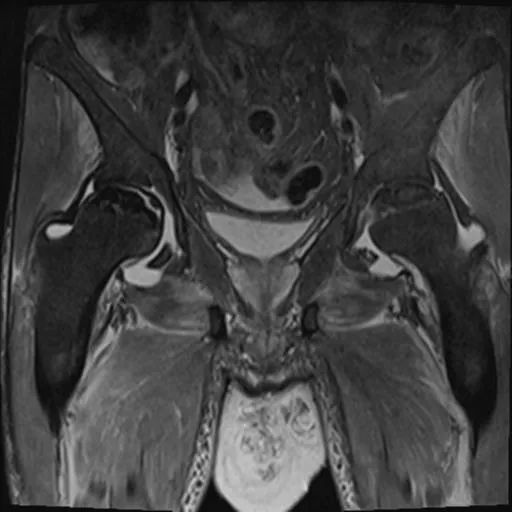
双侧股骨头前上面有大面积的骨髓异常,T1为低信号,在T1和T2W图像上,周围环绕着低强度的边缘。双股骨头呈线性软骨下骨折/断裂,在脂肪抑制图像上得到很好的评价。两侧均有轻度塌陷/扁平的轻微轮廓畸形。这些发现代表了双侧股骨头缺血性坏死。
骶髂关节和耻骨联合正常。
盆腔内存在小体积游离液。弥漫性软组织水肿见于前腹壁及骨盆、大腿。这些发现是由于慢性肾脏疾病造成的。
这是典型的双边缺血性坏死有特征性的X线和MRI表现。患者有SLE合并狼疮性肾炎并接受类固醇治疗,均易发生AVN。
上一篇:软组织血管瘤1例MR