常见易忽略的疾病—椎管内硬膜外脂肪增多症
发布时间:2022-10-21
发布时间:2022-10-21
病例一
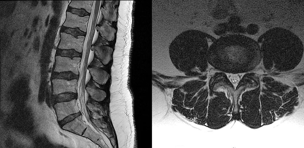
男,45 岁,1 年前出现慢性腰痛、双侧大腿麻木和无力感。临床查体无神经功能缺损。

本次腰椎 MR 检查:你发现了什么?

4.5 年前腰椎 MR 检查

4.5 年前和现在的腰椎 MR T2WI 轴位对比:L4-L5 水平,现在的 MR 发现马尾神经位置前移,更加聚拢;而 4.5 年前的 MR 发现马尾神经位置靠后,分散。
为什么会造成这样的现象呢?我们先不揭晓答案,继续看下一个病例
01
病例一
男,32 岁,腰背部疼痛一个月。


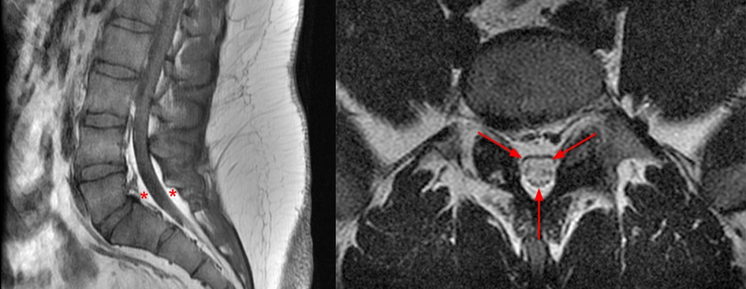
发现 L4-5、L5-S1 水平马尾神经位置前移、明显聚拢,马尾神经间脑脊液间隙明显变小。
为什么会造成这样的现象呢?
椎管内硬膜外脂肪增多症
脊髓硬膜外脂肪增多症(Spinal Epidural Lipomatosis,SEL)是一种相对少见的疾病,是一种以硬膜外脂肪在椎管内病理性增生为特征的疾病。通常存在于硬膜外间隙的脂肪组织较少,但当脂肪组织增多的时候会限制骨性椎管内硬膜囊的大小,从而导致与压迫脊髓或神经根相关的症状,具体要取决于脂肪增多的程度和受影响的脊柱水平。在临床上,这些症状不能很好地与更常见的退行性腰椎间盘疾病相关的临床症状区分开来,而 MR 脊柱检查是发现 SEL 非常好的工具,从而区分两者,因此放射科的 「 眼睛 」 至关重要。
临床表现
SEL 在普通人群中的患病率尚不清楚。虽然绝大多数肥胖患者从未发生过 SEL,但诊断为 SEL 的患者几乎总是存在肥胖,并且通常有皮质类固醇药物治疗史,或内分泌、代谢类疾病病史,如内源性糖皮质激素分泌过量。当分布于胸椎管时,进行性背痛是 SEL 患者最常见的症状;当分布于腰椎管时,通常还会出现髋部和下肢缓慢进行性无力,以及麻木和感觉异常的感觉变化,有时还会出现神经根症状。这些临床表现并不是 SEL 的特异性,通常 MRI 检查前的临床关注点是椎间盘突出和可能的椎管狭窄。
解剖与 MR 表现
正常椎管内脂肪腹侧分布于后纵韧带与硬膜囊前壁之间,背侧分布于黄韧带与硬膜囊后壁之间,前缘不超过相邻两个椎管缘之间的连线。
MR 在评估 SEL 起着非常重要的作用,1)硬膜外脂肪明显增多,超过椎体前缘连线,有文献报道厚度>7 mm(但绝对测量值的缺点是依赖于椎管的大小,毕竟每个人椎管大小是存在差异的);或硬膜外脂肪厚度与椎管前后径比值>50%;2)脂肪明显堆积导致硬膜囊受压变形,星形或 Y 型或心型。同时,腰椎 MRI 还能够通过评估腰背侧皮下组织厚度来判断是否存在皮下型肥胖,以及矢状位图像也有机会评估是否存在内脏(腹腔内)型脂肪沉积。该评估可能会影响患者管理,因为内脏脂肪沉积类型与糖尿病、心血管疾病和代谢综合征相关的患者发病率显著增加相关。

椎管内硬膜外脂肪主要分布于背侧,前缘不超过椎板前缘的连线

矢状位 T1WI 显示硬膜外脂肪组织的正常分布,在腰椎管主要分布于背侧,不连续,在每个椎体层交界处中断(星号)。S1 水平硬膜囊前方有少量正常脂肪组织(箭头),硬膜囊末端终止处,骶管内充满脂肪组织(蓝色星号)

正常的椎管内硬膜外脂肪分布,不会对椎管造成积压

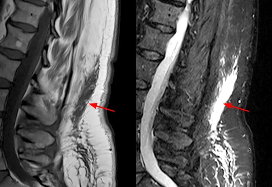
回过头再看第一个病例,发现椎管内硬膜外脂肪增多,向前推挤马尾神经,使其相对聚拢

一例长期使用激素治疗的儿童,椎管内硬膜外脂肪明显增多,背侧脂肪前缘超过椎板前缘,脊髓受压呈 「 圆饼 」 状。

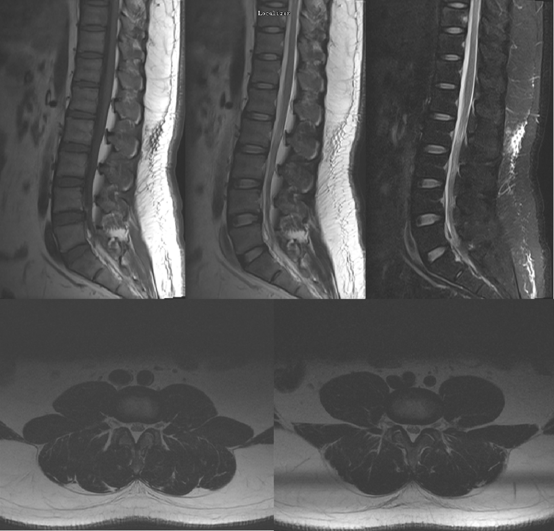
回过头再看第二个病例,发现椎管内背侧硬膜外脂肪增多,超过椎板前缘,向前推挤马尾神经,使其明显聚拢
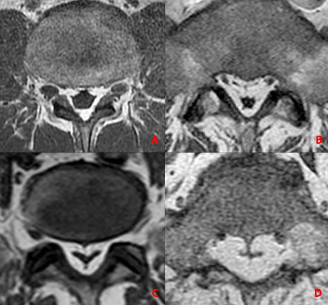
轴面上 T2WI 收到硬膜外脂肪的推挤,硬膜囊可以发生变形(正常为椭圆形)通常为多边形(A)、星状(B)或 Y 形或 V 形(C-D)

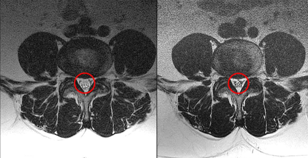
SEL 的硬膜外脂肪沉积通常是左右对称的,更罕见的是,它是不对称的。此处,大家会考虑红箭头所示的条样低信号是什么呢?

腰椎管横切面显示:硬膜外间隙存在硬脊膜椎韧带,正中(A 中的箭头)、双侧旁正中(B 中的箭头)和外侧(C 中的箭头),向后牵拉硬膜囊(S:塌陷的硬膜囊)

硬脊膜椎韧带向前牵拉硬膜囊(S:塌陷的硬膜囊)

硬脊膜椎韧带的分布也存在变异,数字代表在各个方向出现的频率

那么绿箭头所示的其实是硬脊膜椎韧带
同样的,回头看第一个病例也会发现硬脊膜椎韧带,是由于硬膜外脂肪增多而把他显示出来

大家得注意另外一种情况,椎管内硬膜外脂肪增多的同时合并节段性椎管扩大,此时虽然脂肪增多,但没引起硬膜囊受压,这不符合硬脑膜囊压迫证据的 SEL 标准。
当 MRI 出现轻度至中度 SEL 时,常常会让人怀疑硬膜外脂肪的过度沉积是否确实是患者症状的原因,几乎所有的 SEL 病例都发生在肥胖患者身上,通常为向心性腹部/内脏型肥胖,多余的脂肪组织在脂肪含量较少的部位沉积,如大网膜和小肠系膜。此时,定位像可以帮助我们很好的发现。据报道,对患有 SEL 的肥胖患者实施保守治疗导致体重减轻有可能逆转临床症状,后续 MRI 检查显示硬膜外脂肪沉积减少。

内脏脂肪沉积明显(星号),而后方皮下脂肪组织正常(箭头),与内脏型肥胖相适应

53 岁,男,腰痛和双侧坐骨神经痛,MRI 显示 SEL(蓝色星号)。既有皮下肥胖,也有内脏肥胖。大网膜(长箭头)深至白线和腹筋膜(箭头),浅至横结肠(红色星号)。肝前脂肪垫明显向上(蓝色箭头)。

回头看第二个病例皮下和内脏脂肪沉积

在肥胖患者的腰椎 MR 图像上,经常发现位于皮下筋膜和深层脂肪层的局灶性水肿,这一发现没有已知的相应临床症状或意义,只是它可能被误认为是病理,并且被认为是由于深部脂肪组织中的筋膜间隔比浅部脂肪组织组织中的筋膜间隔组织较少且间隔更广,而浅部脂肪组织中的筋膜间隔分布更均匀、更紧密

回头看第二个病例同样存在深层脂肪的水肿
结论
1)SEL 在临床比较常见,但是往往被忽略,需要放射科医生的 「 眼睛 」。几乎所有的 SEL 病例都见于肥胖患者,并且很大比例的 SEL 患者有使用皮质类固醇的病史。当 SEL 范围有限时,被认为没有临床意义。保守治疗,如减肥,可以症状改善。
2)脊柱 MR 除了发现 SEL 外,还可以提供有关肥胖的存在和类型的信息。内脏型肥胖与心血管疾病、糖尿病和代谢综合征的风险增加密切相关。
上一篇:骨梗死影像学表现
下一篇:椎管内硬膜外脂肪增多症