骨纤维异常增殖症是个什么病?影像表现原来是这样的……
发布时间:2022-10-21
发布时间:2022-10-21
定义
骨纤维异常增殖症 ( fibrous dysplasia of bone FDB) ,又称骨纤维性结构不良,是一种非肿瘤性的肿瘤样先天性病变,表现为成骨细胞分化和成熟过程中的局部缺陷,以大量纤维间质和未成熟编织骨岛代替正常骨,其 X 线表现多种多样。
主要见于儿童和年轻人,75% 患者出现在 30 岁之前(最高发病率为 3-15 岁),没有明显性别偏向。约占良性骨肿瘤和肿瘤样病变的 8.8%。
临床与病理
早期无任何症状,发病越早症状越明显,可引起肢体延长或短缩,持重骨可弯曲,出现跛行或疼痛。通常在儿童时期 (平均年龄为 8 岁),2/3 的儿童在 10 岁时出现症状。
由于发育性发育不良和正常成骨细胞活性的局部停滞,继发于非遗传性突变,导致正常骨的所有成分都存在,缺乏向其成熟结构的正常分化。
分型
临床分单骨型、多骨型和骨纤维异常增殖综合征 ( Albright 综合征) 三型。
单骨型:单骨单个或多个病灶
多骨型:不伴有内分泌紊乱,多个病灶累及一块以上骨骼
Albright 综合:多骨型患者伴皮肤色素沉着及性早熟等内分泌异常
影像学表现
①X 线和 CT
基本表现:膨胀性病变;骨骼增大或增厚,累及长管状骨常有弯曲变形;病变范围局限;骨皮质变薄但完整,无骨膜反应。
单骨单发型是迄今为止最常见的,占病例的 70-80%。
发生病变骨所占比例:肋骨:28%,最常见;股骨近端:23%;胫骨;颅面骨:10-25%;肱骨。

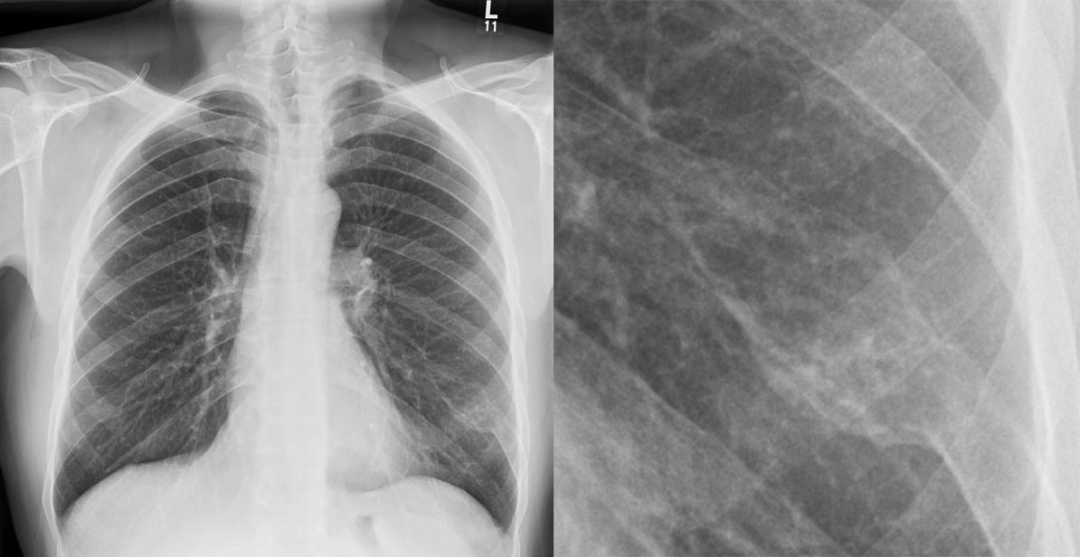
(注:左侧第 9 肋骨后段见囊状膨胀性透光区,边缘见硬化边,病变范围局限。)

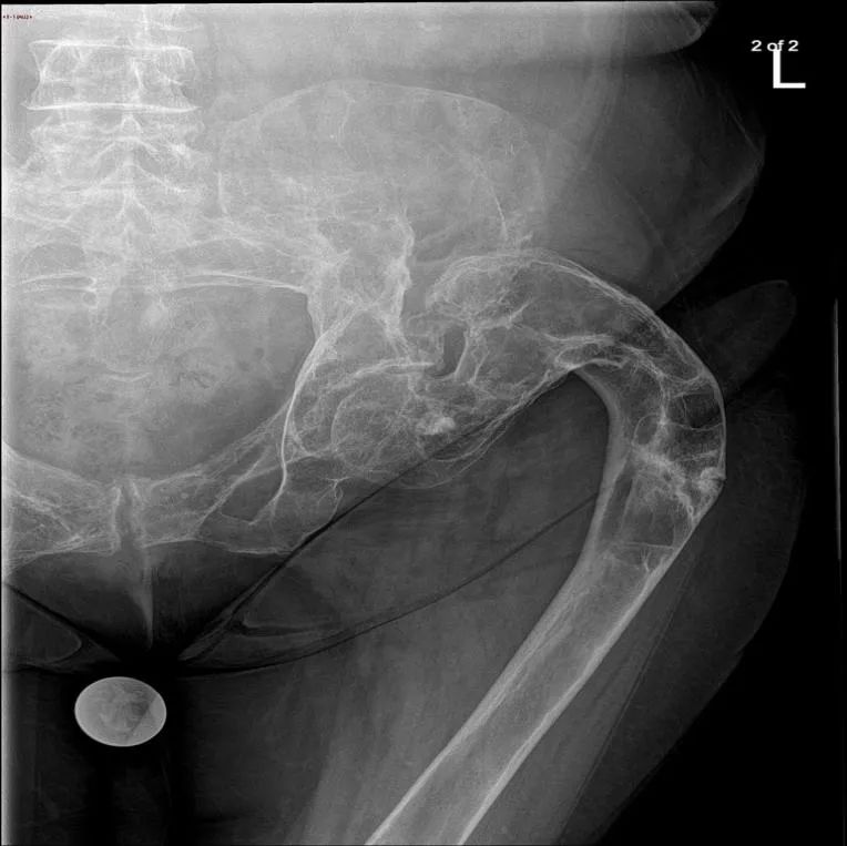
(注:左侧股骨上段骨质呈 「 牧羊人拐杖 」 样改变,见囊状膨胀性透光区,边缘见硬化边,临近骨皮质变薄,病变范围较局限,伴左侧股骨上段畸形。)

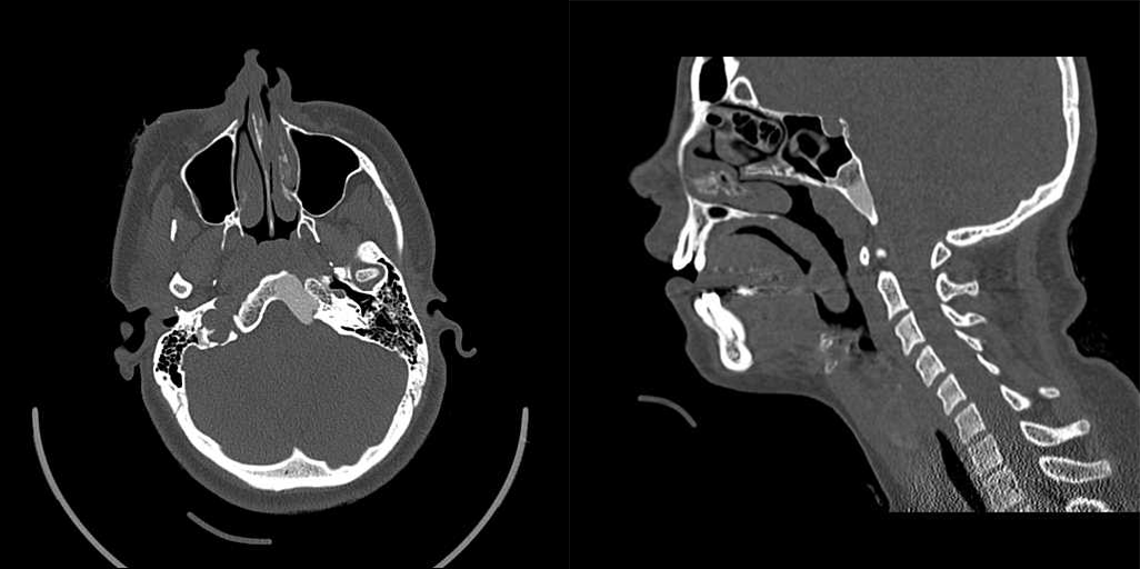
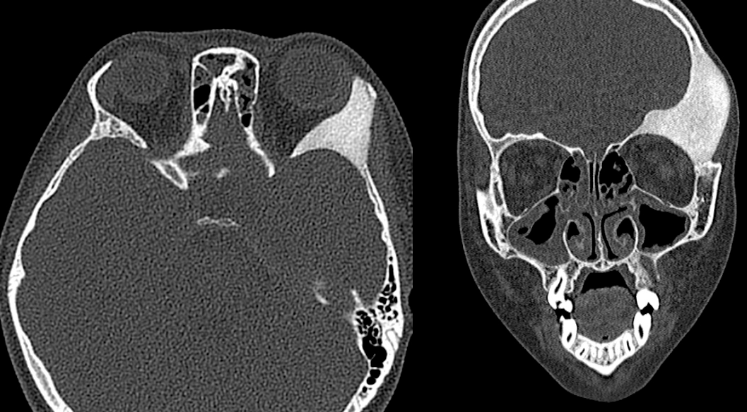
(注:枕骨斜坡偏左份骨质呈膨胀性、磨玻璃样密度增高影改变,边界较清,临近骨皮质变薄,未见明显骨膜反应。)
单骨多发型和多骨型病灶则发生任何骨,受累范围广泛,无硬化边,常伴有骨骼增粗变形、弯曲。
在剩下的 20-30% 的病例中,涉及多个骨骼。
常为单侧和单肢的发生病变骨所占比例: 股骨:91% ;胫骨:81%;骨盆:78%;脚:73%;肋骨;头骨和面部骨骼:50% ;上肢;腰椎:14% ;锁骨:10% ;颈椎:7%
侵犯颅骨者表现头颅或颜面不对称、突眼等,称 「 骨性狮面 」。

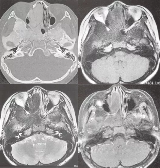
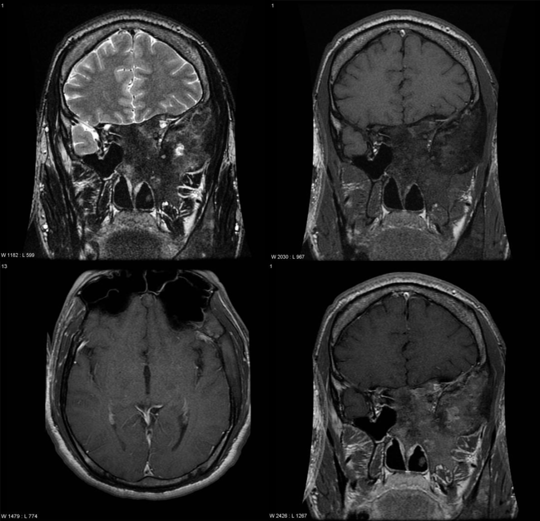
注:颅底骨(颞骨鳞部、右侧蝶骨体、蝶骨大翼、右侧筛窦壁)膨大,呈磨玻璃样改变,右侧翼管、圆孔变窄。T1WI 呈低信号,T2WI 呈低信号,增强 T1WI 呈轻度不均匀强化。
骨纤维异常增殖症 X 线表现因纤维组织增生程度、骨样组织、新生骨小梁含量及成熟程度的不同而呈不同改变,主要征象包括:
1. 磨玻璃样改变:56% ;2. 均匀硬化:23%;3. 囊性改变:21%;4. 膨胀性改变;5. 丝瓜瓤样改变

磨玻璃样及囊性改变

硬化性改变

膨胀性改变

丝瓜瓤样改变
②MRI
病灶内信号变化与病灶内成分相关,T1WI: 通常为等信号,也可为低信号或混杂信号;T2WI: 通常较低,但可能有信号较高的区域或混杂信号区域;T1WI+C(Gd): 呈不均匀增强。

(注:双侧顶骨板障不均匀增厚,T1WI 呈等、低信号,T2WI 呈稍低信号,增强 T1WI 呈轻度不均匀强化。)
③核医学
Tc99 骨扫描显示示踪剂摄取增加,病变在成年后仍保持代谢活性。

(注:全身骨扫描左侧肱骨、左侧桡骨上段、左侧髂骨体及左侧股骨见多处放射性浓聚区。)
治疗与预后
通常如果无症状,则不需要治疗,因为骨骼病变通常不会发展到青春期以后。如果肿块效应严重,可以考虑手术减压。
鉴别诊断
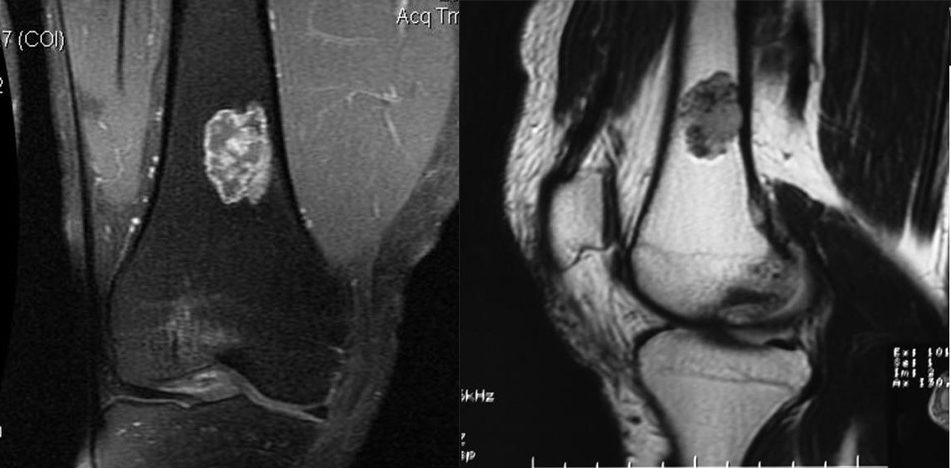
①骨巨细胞瘤:是一种潜在的恶性肿瘤。多发生于骺板愈合后的长管骨骨端,紧邻骨性关节面偏心性生长,横向膨胀性生长明显,呈皂泡样改变。

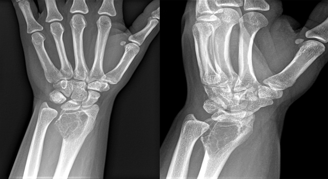
(注:女,20 岁,左侧桡骨干骺端见界限清楚、扩张性、偏心性、透明性病变,在桡骨骨骺处有内部分隔,延伸至干骺端并毗邻骨皮质。)

(注:患者一年后复查,可见膨胀性病变范围增加,现在延伸到整个桡骨下端,病灶主要以横向生长为主。)
②非骨化性纤维瘤:多发生于长骨骨皮质内或骨皮质下,为多囊状、分叶状软组织密度,周围可见较厚硬化环。

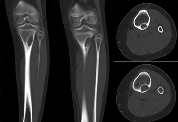
注:9 岁女孩,左侧胫骨近端干骺端 NOF。胫骨近端干骺端徧心性溶骨性病变, 以后缘皮质为基底突向髓腔,浅分叶状,边缘清晰锐利硬化。
③内生软骨瘤:常见于四肢短管状骨,膨大的低密度区内常见到点状钙化,无磨玻璃样表现。


作者 | 桔梗
参考文献
[1] 徐爱德,徐文坚,刘吉华. 骨关节 CT 和 MRI 诊断学 [M]. 济南:山东科学技术出版社,2003:225.
[2] 钟建秋,张金赫,尹吉林. 骨纤维异常增殖症及其影像学诊断的研究进展 [J]. 中国中西医结合影像学杂志,2017,15(2):238-241.
[3] 吴恩惠. 医学影像诊断学 [M]. 北京:人民卫生出版社,2001:392.
[4] 牟奇猛,涂猛. 单骨骨纤维异常增殖症致长骨弯曲的 X 线分析 [J].现代医药卫生,2006,22(12):1772-1774.
[5] 何春. 骨纤维异常增殖症的影像学表现探讨 [J]. 医药前沿,2016,6(29):111-112.
[6] 黄作霖. 骨纤维异常增殖症的综合影像诊断方法及其价值 [J]. 中国民族民间医药,2014,13(12):96.
[7] 魏文洲, 李俊, 陈喜兰, 等. 颅面骨纤维异常增殖症的高分辨率 CT 诊断 [ J] . 中国医学影像技术, 1999, 15( 5) :351-352.
[8] 曾培尧, 高振华, 于华龙. 骨化性纤维瘤和骨纤维异常增殖症的影像学比较 [ J] . 中国临床医学影像杂志, 2004, 15( 11) :640-643.
[9] 耿敬标, 李文进, 柏根基. 骨纤维异常增殖症的影像学表现 [ J] . 临床放射学杂志, 2006, 25( 6) :551-553.
[10] 邬海博, 蔡幼铨, 梁燕. 骨纤维异常增殖症 MRI 和 CT 表现 [ J] . 中国医学影像学杂志, 2004, 12( 2) :118-119.
[11] Kumar V, Fausto N, Abbas A. Robbins and Cotran pathologic basis of disease. Saunders. ISBN:0721601871. Read it at Google Books – Find it at Amazon
[12] Brant WE, Helms CA. Fundamentals of diagnostic radiology. Lippincott Williams & Wilkins. (2007) ISBN:0781765188. Read it at Google Books – Find it at Amazon
[13] Chong VF, Khoo JB, Fan YF. Fibrous dysplasia involving the base of the skull. AJR Am J Roentgenol. 2002;178 (3): 717-20. AJR Am J Roentgenol (full text) – Pubmed citation
上一篇:【PPT】脊髓肿瘤(椎管内肿瘤)
下一篇:骨梗死影像学表现