尺骨撞击综合征的临床及影像表现
发布时间:2022-10-21
发布时间:2022-10-21
尺骨撞击综合征
腕关节尺侧疼痛在临床上较常见,尺腕部的骨与软骨、韧带结构、肌腱以及神经等结构的损伤均会引起腕关节尺侧疼痛症状,而腕关节撞击综合征是其中的常见原因之一,包括尺骨撞击综合征、尺骨挤压综合征、尺骨茎突撞击综合征、继发于尺骨茎突不连的尺腕部撞击综合征和钩月撞击综合征。
尺骨撞击综合征,也称为尺腕撞击综合征,是由于尺骨头与尺侧腕部之间,即尺骨头与三角纤维软骨复合体(triangular fibrocartilage complex, TFCC)、月骨和三角骨之间发生的撞击。
最常见于尺骨正向变异的患者,偶尔见于尺骨中性变异或尺骨负向变异患者。最常见的诱发因素包括先天性尺骨正向变异、桡骨远端骺早闭、桡骨远端骨折的畸形愈合、Essex-Lopresti骨折、既往桡骨头切除术等。
这些因素导致尺骨相对过长或桡骨远端背倾程度的增加,引起腕关节尺侧负荷过度,从而导致尺腕撞综合征的发生,引起一系列病理改变,包括三角纤维软骨(triangular fibrocartilage,TFC)退变型损伤(Palmer Ⅱ型损伤),月骨、三角骨与尺骨头软骨软化,月三角韧带撕裂,最终可导致远端桡尺关节及尺腕部骨性关节炎。
此外,在没有明显尺桡骨结构异常的患者中,尺骨撞击综合征可能是由于尺腕部间歇性负荷过重所致。
主要临床表现为腕关节尺侧疼痛,且随用力抓握、前臂旋前或腕关节尺偏等引起尺骨变异相对增加时症状加重,活动时加重、休息时缓解。
影像表现:
标准后前位(肩关节外展90°、肘关节屈曲90°、腕关节中立位)X线摄片的典型表现包括尺骨正向变异,偶尔可见尺骨中性变异或尺骨负向变异,以及导致尺骨相对过长或桡骨远端背倾程度增加的其他因素,例如桡骨远端骨折的畸形愈合(图1);月骨近端尺侧面、三角骨近端桡侧面及尺骨头关节面硬化和软骨下囊变(图1,2)。

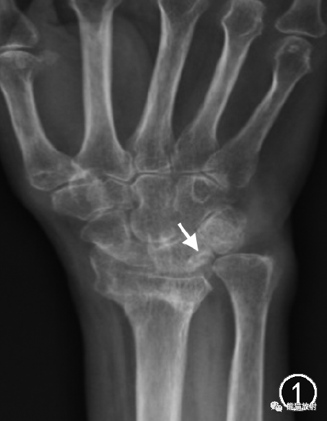
图1 继发于桡骨远端骨折畸形愈合的尺骨撞击综合征。女,66岁,右侧桡骨远端骨折愈合后右腕关节疼痛。腕关节X线正位片示桡骨远端骨折畸形愈合,继发尺骨相对过长、尺骨正向变异,月骨近端尺侧面骨质硬化改变(↑)

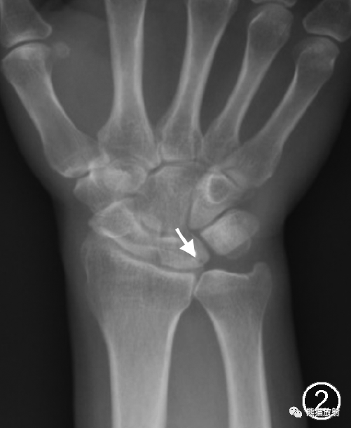
图2 尺骨正向变异所致尺骨撞击综合征。男,48岁,右腕关节疼痛。腕关节X线正位片示尺骨正向变异,月骨近端尺侧面骨质硬化囊变(↑)
CT可以较X线更清晰地显示细微骨质结构的改变;晚期可见尺腕部骨性关节炎改变。MRI有助于显示隐匿性病变、TFC以及月三角韧带的损伤,典型表现包括月骨近端尺侧面、三角骨近端桡侧面、尺骨头骨髓水肿,关节面硬化、关节软骨缺损、软骨下囊变,TFC形态不规则、变薄、穿孔(图3,4),部分患者可合并月三角韧带撕裂,晚期表现为尺腕部骨性关节炎。

图3,4 尺骨撞击综合征。女,56岁,左腕关节尺侧疼痛。腕关节冠状位T1WI(图3)和质子密度加权脂肪抑制序列图像(图4)示尺骨正向变异,月骨近端尺侧面及尺骨头软骨软化、软骨下骨髓水肿改变(↑);质子密度加权脂肪抑制序列可清晰显示三角纤维软骨明显变薄(图4长↑)以及月三角韧带损伤(图4▲)
尺骨撞击综合征常见的鉴别诊断:Kienböck′s病。Kienböck′s病时,月骨内异常信号更加弥漫或主要累及月骨桡侧(图5,6),而尺骨撞击综合征时,月骨内异常信号累及月骨尺侧面。此外,Kienböck′s病时,尺骨头和三角骨通常不受累。

图5,6 Kienböck′s病。女,32岁,左腕关节疼痛。腕关节冠状位T1WI(图5)和质子密度加权脂肪抑制序列图像(图6)示尺骨负向变异,月骨内弥漫性不均匀T1WI低信号、脂肪抑制序列呈不均匀高信号(↑),与尺骨撞击综合征主要累及月骨近端尺侧面不同。
补充内容:
Kienböck’s disease,即月骨无菌性坏死,也称月骨缺血性坏死,是腕关节痛的主要病因之一。多发于20岁-40岁青壮年男性体力劳动者,多为单侧发病;以月骨缺血坏死为开始,继发滑膜炎和创伤性关节炎;晚期造成手握力降低、腕关节顽固性疼痛和功能丧失。

节选自:
腕关节撞击的影像学评估。 詹惠荔, 白荣杰, 钱占华, 等.
上一篇:肩峰下撞击综合征的临床及影像表现
下一篇:四边孔综合征