椎管内硬膜外脂肪增多症与终丝脂肪沉积
发布时间:2022-10-21
发布时间:2022-10-21
MR扫描在影像诊断中应用广泛,除了椎体、椎间盘、脊髓等病变外,椎管内脂肪病变您会诊断吗?今天给大家介绍两种少见但在日常工作中很有可能会遇到的疾病吧。
一、椎管内硬膜外脂肪增多症
(Spinal Epidural Lipomatosis,SEL)
定义:是指椎管内硬膜外间隙内正常脂肪组织病理性增生。
病因:多与长期摄入外源性甾体类激素和原发Cushing综合征有关,也可发生于单纯肥胖病人,男性好发。
发病机制:不明,异常增生的脂肪组织直接压迫脊髓和神经根认为是造成SEL临床症状的原因。
病理:硬膜外脂肪组织过度沉积,以成熟的脂肪组织为主,内可见网织状纤维组织和迂曲血管。
临床表现:反复发作的腰背部疼痛,间歇性跛行,下肢放射痛、乏力,感觉异常,部分出现马尾综合征表现,也可无任何临床症状。体格检查少见阳性体征,部分可出现下肢感觉异常、肌力减退、腱反射减弱,合并马尾综合症者可出现鞍区感觉障碍,尿储留等。
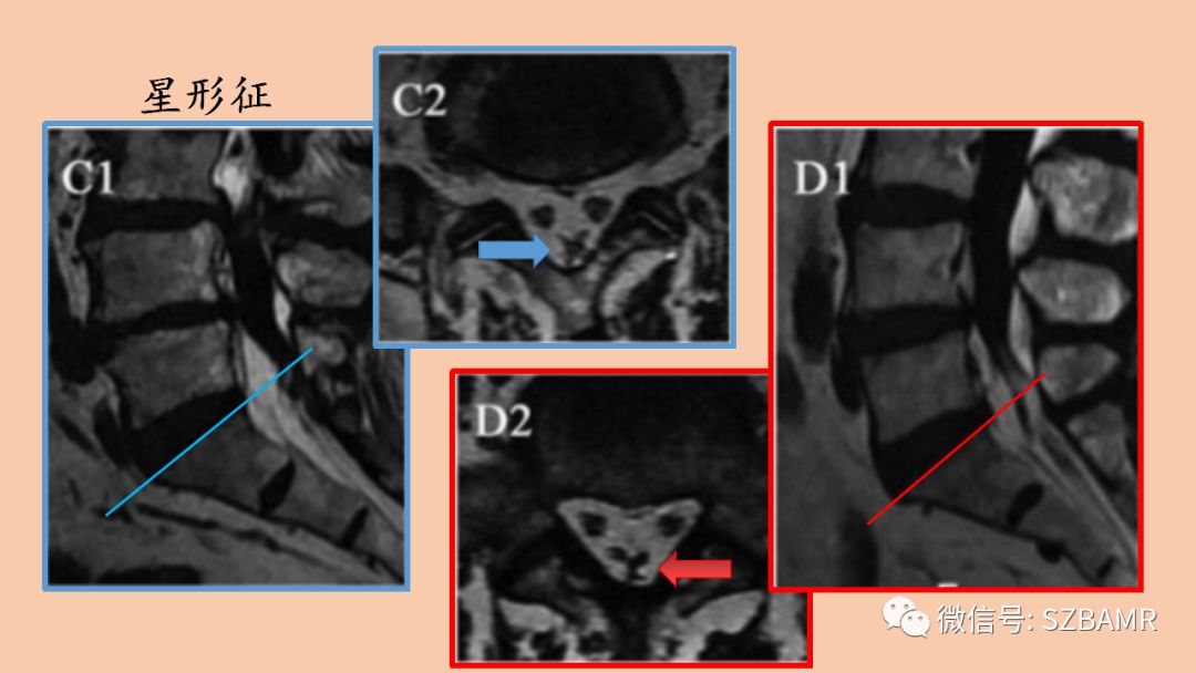
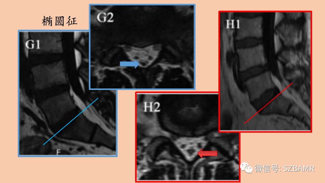
影像表现:胸椎通常堆积于椎管后方,腰椎包绕整个硬膜囊的脂肪信号,压迫硬膜囊,横断面上出现“Y字征”、“星形征”、“线征”或“椭圆征”。

L3/L4 椎间盘水平硬膜囊外背侧脂肪向前突出,呈特征性弧形(红色曲线),1 段表示硬膜囊宽径,2 段表示硬膜外背侧脂肪宽径,可见硬膜囊被压缩变扁。




诊断标准
前提条件:排除相应节段椎间盘突出、椎体滑脱、硬膜外血肿、硬膜外肿瘤等病变,且无相应节段手术史、放疗史的基础上,按下列标准诊断:
1、病史、体格检查与节段相符;
2、MR示病变节段硬膜外脂肪厚度大于7mm;
3、硬膜外脂肪厚度占管径50%以上;
4、BMI大于27.5Kg/㎡;
5、长期激素使用史,或罹患相关内分泌代谢疾病等。
其中,1加上2、3中任何一项即可确诊。
4、5两项为分型标准:符合5为激素继发性SEL,符合4不符合5考虑肥胖性SEL,两者均不符合且无慢性疾病服药病史则考虑特发性SEL。

1为腹侧硬膜外脂肪厚度;2为背侧硬膜外脂肪厚度(1 2=硬膜外脂肪厚度);3为硬膜囊前后径;4为椎管前后径。

(椎管前后径-硬膜囊前后径)/椎管前后径=硬膜外脂肪厚度占管径的比例
治疗方法:
对于症状稳定或因一般条件无法耐受手术的患者,可采取保守治疗,包括减轻体重、使用止痛药、卧床休息等;对于有进行性神经症状且保守治疗失败,或出现急性瘫痪或尿潴留的患者,应尽早考虑手术治疗,甚至是急诊手术。![]()
二、终丝脂肪沉积
是终丝退变的表现,部分患者合并有脊髓纵裂及脊髓栓系。
发病机制:终丝近端成分与脊髓结构相似,主要为细胞成分,终丝中远端是复杂有序的精致三维结构,具有弹性,当终丝发生脂肪变性,受外力牵拉或过度屈伸时脊髓受到损伤的可能性增加,可引起脊髓栓系综合征,出现下肢感觉功能运动障碍,甚至大小便功能障碍 。
影像表现:矢状位 T1WI是最佳序列,轴位T1WI确定终丝的位置,二者结合可判断终丝脂肪沉积类型,显示脊髓栓系及其他畸形。
Case1:男,54岁,腰痛2月伴右下肢麻木疼痛,加重2天。

T1矢状位见条状高信号,T2矢状位可见起始于脊髓圆锥,T2轴位可见终丝增粗,有高低混杂信号。
Case2:男,30岁,腰背部痹痛不适数月,加重数日。
T1矢状位骶1、2水平骶管内见条状高信号,T2矢状位见病灶位于终丝。
终丝脂肪瘤:当终丝脂肪沉积呈瘤状表现时,称为终丝脂肪瘤,多位于脊髓背侧。
治疗:有文献认为,对有症状的终丝脂肪沉积患者,不论终丝外观正常与否,均早期行手术治疗,MR有助于术前诊断和制定手术方案。

上一篇:膝关节韧带MRI诊断要点
下一篇:肩袖损伤的MRI诊断技巧