【临床资料】
女性,8岁。患儿近1个月来,发现腹部明显增大、膨隆,起初因为无明显不适症状而未行特殊检查及治疗,近十天来,腹部增大加重。并发现巩膜及颜面皮肤黄染,偶有恶心、呕吐胃内容物。四肢无力。精神较差,无发热、抽搐、咳嗽、咳痰等症状。以黄疸待查收入院。实验室检查:尿铜增高。眼科检查:患儿有典型的K F环。颅脑CT检查未见异常。 腹部CT检查见下图。
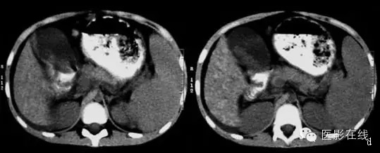
下图肝豆状核变性(a、b、c、d.CT平扫)



【影像所见】
CT平扫:肝脏形态大小正常,肝实质密度普遍增高,可见弥漫性分布高密度小结节影。胆囊增大,胆囊内见不规则高密度影。脾增大,实质密度均匀。
【网站会员发言】
这个病例女性,8岁,CT影像表现肝影增大,质地不均,见多发硬化结节增高影,边缘不光整,肝叶比例失常,脾脏增大,质地均匀。双侧胸腔少量积液。结合病史及眼科检查:患儿有典型的K F环。支持肝豆状核变性(Wilson病)。该病为常染色体隐性遗传性疾病,表现为铜代谢障碍,多见于10~20岁青少年,尿铜量增高,血清铜蓝蛋白降低(<200mg/L, 肝活检含铜量>100mg/g)。(jiangjing)
肝脏密度增高且不均匀,其内可见多个高密度结节影,肝表面不光滑,凹凸不平,脾脏明显增大,脾内未见异常密度灶。眼科检查:患儿有典型的K F环,诊断:肝豆状核变性。(向医生)
结合病史及眼科检查:患儿有典型的K F环。支持肝豆状核变性。肝豆状核变性是以青少年为主的遗传性疾病,由铜代谢障碍引起。其特点为肝硬化、大脑基底节软化和变性、角膜色素环(Kayser Fleischer环),伴有血浆铜蓝蛋白缺少和氨基酸尿症。又名Wilson病。K F环、血铜蓝蛋白、尿铜测定是必要的诊断步骤。(zhw974247)
【最后诊断】
①结合临床,考虑肝豆状核变性所致肝硬化,大量肝再生结节形成。②胆囊结石。
【点评】
肝豆状核变性亦称Wilson 病(WD) ,是先天性铜代谢障碍造成体内铜蓄积,引起组织器官铜毒性损害的常染色体隐性遗传性疾病。铜代谢异常时铜首先沉积于肝脏。临床上可出现肝大和黄疸等肝细胞损害症状,易误诊为肝炎,至晚期肝脏表现为间质纤维化和坏死后肝硬化。CT 及MRI 能充分地显示本病的肝脏改变,大部分病例主要表现为结节性肝硬化。早期肝细胞受损可出现肝脏的肿胀增大,主要为右肝增大,各肝叶间比例正常;以后,肝细胞发生脂肪变性,表现为肝脏密度下降;最后形成肝硬化,表现为肝内多发大小不等、直径1~3 cm、边界尚清的再生结节,平扫时结节呈稍高密度而可区分于周围有脂肪变性的肝组织,增强扫描时结节强化不显著。
肝豆状核变性患者肝硬化表现不具有特征性,但是对年轻患者,尤其是少儿期出现原因不明的肝、脾大和其他慢性肝病表现,各型肝炎病毒抗原、抗体和自身免疫指标检查阴性,上腹部影像检查发现多发结节性肝硬化或肝脂肪变性征象时,应考虑本病,提示临床进行相关检查,以尽早对肝豆状核变性作出明确诊断。
肝豆状核变性的诊断依据为:①眼科裂隙灯检查异常。K F环阳性。②血液生化异常。血清铜氧化酶活力下降,和(或)血清铜蓝蛋白水平下降尿铜含量增高。③典型椎体外系神经症状。④不典型肝、肾、胃肠道等症状。⑤影像学检查异常。脑CT双侧豆状核对称性低密度灶、结节性肝硬化或肝脂肪变性。⑥排除其他疾病。
本例患者肝脏呈典型的结节性肝硬化改变,虽然颅脑CT检查未发现双侧豆状核对称性低密度灶,但结合患者发病年龄小、尿铜增高、眼底K F环,还是可以确诊为肝豆状核变性的。
【启迪】
肝豆状核变性(Wilson 病)是先天性铜代谢障碍疾病,累及肝脏、肌肉、神经、角膜,有时全身的症状并不同时出现,只出现单个脏器损害的表现,极容易忽视而误诊。通过本病的分析,给我们启发:当临床上遇见儿童、青少年出现不明原因的黄疸,不支持病毒性肝炎,应该想到肝豆状核变性,要检查眼睛角膜有无K F环,检查颅脑有无在豆状核、尾状核,丘脑、中脑(黑质红核)、小脑齿状核以及大脑皮质和皮质下区出现低密度影像。反之,当遇见进行性肢体震颤肌强直构音困难的年轻患者,也应该检查肝脏情况和尿铜情况。全身性疾病应该从全身的角度整体分析。