肾上腺嗜铬细胞瘤——CT病例影像诊断分析
发布时间:2022-10-21
发布时间:2022-10-21
【病史临床】患者,女,29岁,有阵发性高血压伴心悸、多汗,发作数分钟后缓解。实验室24小时尿中香草基扁桃酸代谢产物的定量测定明显升高。
【影像图片】



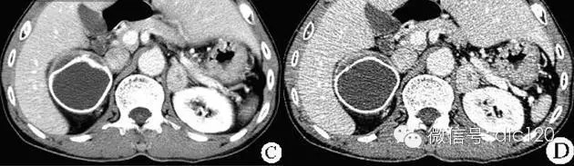
【影像表现】 CT检查可见右侧肾上腺区较大圆形肿块。直径约5cm。肿瘤密度均一,内部呈囊性表现,边缘环形高密度钙化。增强检查,动脉期肿瘤内低密度区无强化。静脉期肿瘤内低密度区强化不明显,延迟扫描肿瘤内低密度区可见强化,冠状面重建可见肾上腺区圆形、边界清晰的肿块影。 USG:声像图表现为肾上腺区较大的类圆形肿块,呈囊性中等回声,考虑合并坏死,其内有液性无回声区。
【诊断】肾上腺嗜铬细胞瘤(病理证实)。送检组织可见大量纤维结締组织囊壁,其间可见瘤组织排列呈梁索状、小巢状,胞浆较丰富,略嗜碱性,核大小不等,有一定异型,间质血窦较丰富,伴片状出血,局部包膜不完整;周边可见少量肾上腺皮质细胞。
【鉴别诊断】 1.肾上腺皮质腺瘤;2.肾上腺癌;3.右肾上极肿瘤;4.肝脏肿瘤
【讨论】 嗜铬细胞瘤可发生于任何年龄,20~40岁多见,男女无明显差别,部分有家族史。多数病例发生于肾上腺髓质,单侧,单发。也可发生在神经节丰富的身体其它部位,但绝大多数位于腹腔之内,腹膜后脊柱两侧。
肾上腺是嗜铬细胞瘤的主要发生部位,占全部嗜铬细胞瘤的90%左右。肾上腺嗜铬细胞瘤(adrenal phwhromocytoma)发生在肾上腺髓质的肿瘤,产生和分泌儿茶酚胺。嗜铬细胞瘤也称“10%肿瘤”,即10%肿瘤位于肾上腺外,10%为多发肿瘤及10%为恶性肿瘤。但据最近文献分析,这“三个10%”均有不同程度上升。肾上腺外、恶性、双侧和多发的嗜铬细胞瘤都远远超过了10%,如有文献报道,肾上腺外的嗜铬细胞瘤占嗜铬细胞瘤的28.3%~40%。
病理上,嗜铬细胞瘤常较大,直径可在5~15cm之间,圆或椭圆形,常有完整包膜。易发生坏死、囊变和出血。
典型临床表现为阵发性高血压、头痛、心悸、多汗,发作数分钟后症状缓解。实验室检查,24小时尿中香草基扁桃酸(vanillylmandlic acid,VMA)即儿茶酚胺代谢产物的定量测定明显高于正常值。由于瘤细胞持续或间断性地释放大量儿茶酚胺,可引起以高血压和代谢紊乱为主的症状。典型表现为阵发性高血压伴有三联症即头痛、心悸和出汗,对嗜铬细胞瘤的诊断有重要意义,其特异性及灵敏性均为90%以上。
1.影像诊断要点
X线:① X线平片诊断意义不大;② IVP可显示同侧肾脏受压移位或肾轴异常;③ 肾上腺动脉造影表现:网状或不规则肿瘤血管、血池;肾上腺供血动脉明显增粗,肿瘤染色明显;可见引流静脉早显;相邻动脉或器官移位;多见瘤内出血坏死囊变区(肿瘤染色内充盈缺损)。对于腹部、腹膜后、肾上腺区较大肿瘤,采用动脉血管造影不仅能明确肿瘤部位和肿瘤供血动脉,而且也能鉴别肿瘤良、恶性。
CT:CT对肿瘤定位可提供较准确信息,诊断准确率高,为常用检查方法。多表现为一侧肾上腺较大圆形或椭圆形肿块,偶为双侧性。直径常为3~5cm,或更大。较小肿瘤密度均一,类似肾脏密度;较大肿瘤常因坏死或陈旧性出血而密度不均,内有单发或多发低密度区,甚至呈囊性表现。少数肿瘤可有高密度钙化灶。增强检查,肿瘤实体部分明显强化,其内低密度区无强化。肾上腺圆形或分叶状、边界清晰的实性肿块影,肿瘤大小不定,较大肿瘤可以发生液化、坏死及出血。增强扫描实性部分呈明显强化。
MRI:MRI诊断肾上腺嗜铬细胞瘤的敏感性和特异性比CT高。其形态学表现与CT相似。但其信号改变有一定特点,T1加权瘤体大部分呈低信号,少数可为等信号;T2加权像呈明显高信号,这是嗜铬细胞瘤MRI表现的重要特点。当肿瘤有出血或坏死时,其内可见短TI或更长T1、长T2信号灶。增强检查,肿瘤实体部分明显强化。若CT、MRI检查发现单侧或双侧肾上腺较大肿块并具有上述表现,结合临床,通常可作出定位和定性诊断。MRI的重要作用在于冠状位和矢状位图像更清楚显示血管旁等异位肾上腺嗜铬细胞瘤,并易于区分巨大嗜铬细胞瘤和肝或肾肿瘤。
USG:声像图表现肾上腺区较大的类圆形肿块,呈实性低或中等回声,当合并有出血、坏死时,其内有液性无回声区。
2.鉴别要点:应与肾上腺皮质腺瘤、肾上腺癌、右肾上极肿瘤、肝脏肿瘤等鉴别。临床考虑为嗜铬细胞瘤时,若CT、MRI或USG检查发现单侧或双侧肾上腺较大肿块并具有上述表现,通常可作出准确的定位和定性诊断;如肾上腺区未发现异常,则应检查其他相关部位,特别是腹主动脉旁,以寻找异位嗜铬细胞瘤,其中MRI显示效果较佳;当查出肾上腺或肾上腺外肿瘤,并有淋巴结转移或/和肝、肺等部位转移时,应考虑为恶性嗜铬细胞瘤。
下一篇:典型的胡桃夹综合症