右侧睾丸精原细胞瘤一例
发布时间:2022-10-21
发布时间:2022-10-21
男,29岁,因“右侧阴囊进行性肿大2月”于2014-12-04,16:08步行入院。
病例特点:
1.患者,男,29岁,因“右侧阴囊进行性肿大2月”入院。
2.现病史:患者于2014年10月发现右侧阴囊内肿大,开始为鸡蛋大小,质硬,表面光滑,无局部疼痛红肿症状,无尿频尿急尿痛血尿症状,无排尿费力排尿困难症状,无尿前等待尿后滴沥症状,无畏寒发热腰痛症状,无腹痛腹泻恶心呕吐症状,无头昏乏力眩晕黒朦症状,无皮肤粘膜瘀点瘀斑症状,无呕血咳血牙龈出血口腔出血症状,无四肢麻木周身冷汗症状,未作特殊处理患者阴囊进行性增大至鸭梨大小且渐渐感觉右侧阴囊胀痛不适感,2014-12-01 医院阴囊超声示:右侧睾丸明显增生,性质待定;右侧睾丸鞘膜积液。为求进一步诊治,今来我院就诊,门诊以“睾丸肿大待查?”收入院。病程中患者精神睡眠食欲好,大小便正常,体力体重无明显减退。






















小编留言:每天的病例都需要您的思考才会有更多的收获,同时分享到朋友圈和自己的小伙伴们多交流交流!病理结果就在下边,但请记住:多一份思考,多一份收获!
———-♀【病例讲堂】分割线♀———
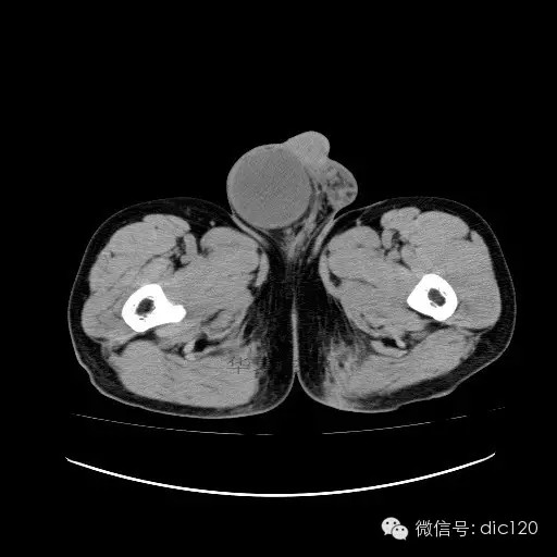
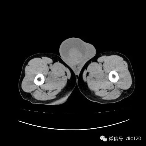
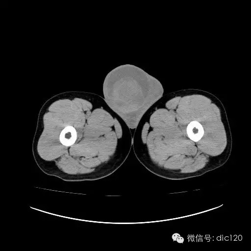
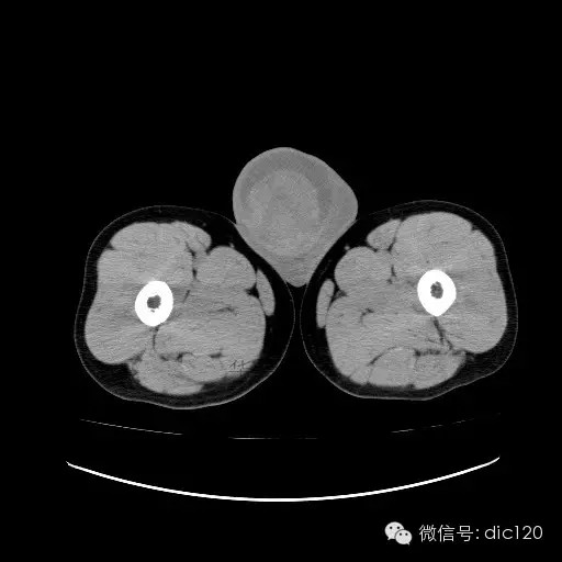
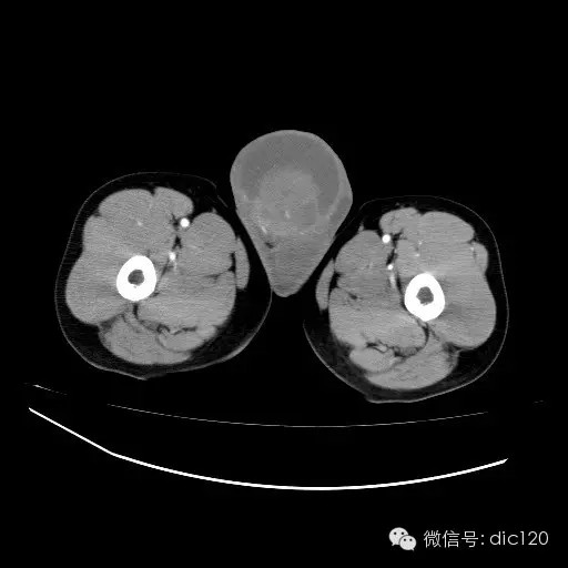
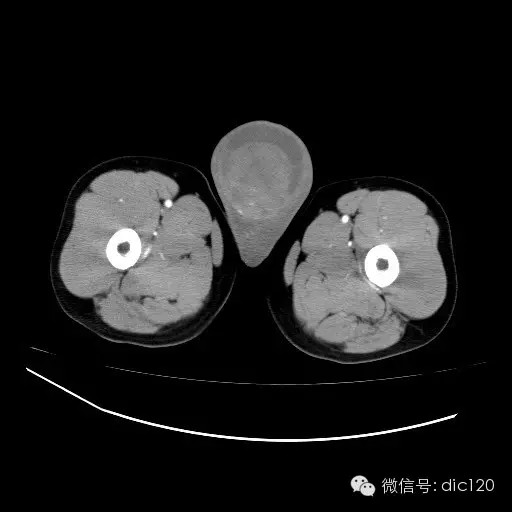
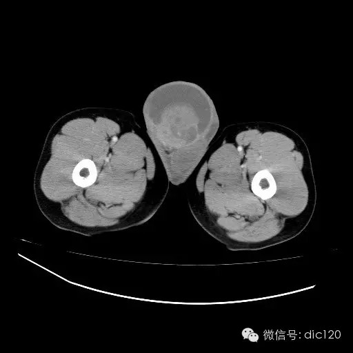
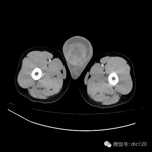
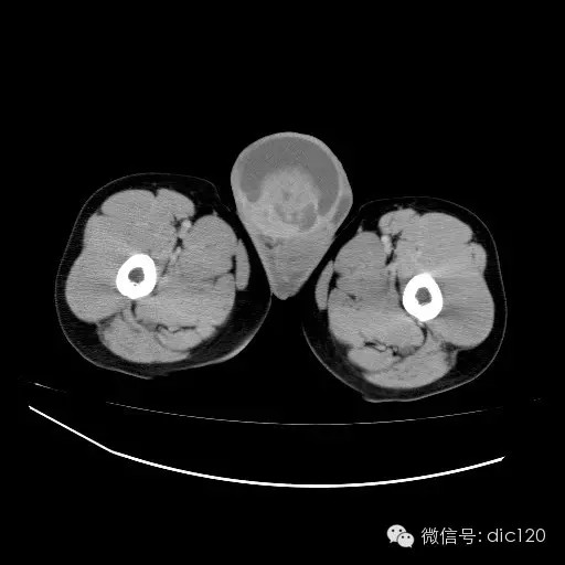
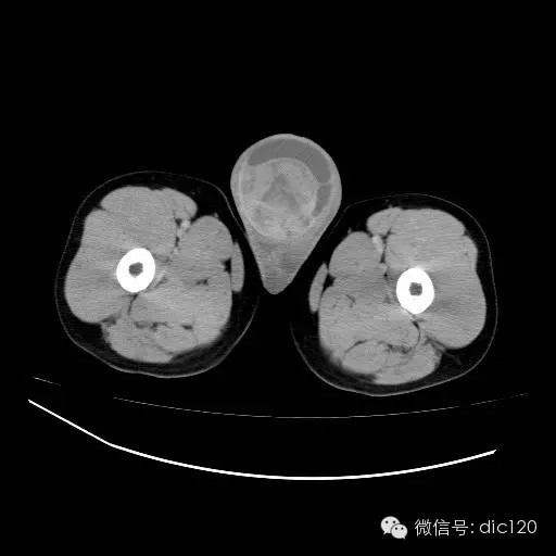
【影像表现】
青年男性,右侧睾丸肿大,边界清晰,增强后睾丸不均匀中度强化,内可见多灶囊变坏死区,动脉期肿块内有细小动脉血管显示,延迟期可见分隔样强化,鞘膜囊可见积液。
定位定性:右侧睾丸恶性肿瘤。
【影像诊断】
右侧睾丸精原细胞瘤,右侧睾丸鞘膜积液。
【病理结果】
(右侧)睾丸结合免疫组化检查结果考虑为精原细胞瘤伴(右侧)睾丸鞘膜积液。
【鉴别诊断】
内胚窦瘤–常见于儿童。其肿瘤坏死区往往较精原细胞瘤表现的更多、更广泛,AFP有升高
睾丸淋巴瘤—多见于中老年男性,常为密度均匀实性肿块,中度至明显强化,坏死少见。
睾丸结核—睾丸肿大,边界不清,与包膜粘连,常看见斑点状钙化,增强后呈环状强化。
【讨论】

