ECMO辅助救治正气道肿物致完全性气道梗阻1例
发布时间:2023-03-27
发布时间:2023-03-27
作者:马璐璐,徐胜勇,陆海松,王锐颖,王孟昭,陈闽江,孙雪峰,徐军,朱华栋,黄宇光,北京协和医院
中央气道梗阻(central airway obstruction,CAO)是一种可危及患者生命的疾病。CAO的治疗取决于梗阻的部位、程度和病因,对于急诊科、呼吸科、耳鼻喉科和麻醉科医生均是很大的挑战,在整个围术期需要多学科紧密协作以保证患者的安全。本文介绍1例采用急诊床旁体外膜肺氧合(extracorporeal membrane oxygenation,ECMO)救治正气道肿物致完全性CAO的病例,现报道如下。
1.病例介绍
1.1现病史
女性患者,51岁,因“胸闷二个月余,加重伴

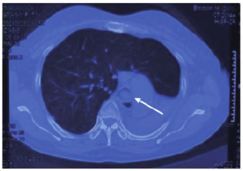
图1患者外院胸部CT检查(2021年8月3日)。注:正气道占位(箭头所指),纵隔左偏,左肺不张
1.2检查与救治方法
在检查过程中,患者突发呼吸、
通过简易呼吸器手动辅助通气,可维持
为保证氧合并降低高碳酸血症,于床旁建立静脉-静脉ECMO模式转流。根据患者血气和血流动学参数调整ECMO参数,转速3500~4100r/min,血流速3.0~3.9L/min,氧流量3L/min,吸入氧浓度(FiO2)100%;呼吸机模式为压力控制(pressure control,PC),压力为30cmH2O,FiO2100%,频率10次/min,潮气量监测<50mL。心率(HR)80~96次/min,有创血压105~120/70~80mmHg,SpO2100%。
为解决患者的正气道梗阻,将患者转运至手术室,拟在ECMO支持下行支气管镜下气道肿物圈套术。若术中出现无法控制的气道内出血,介入科及胸外科随时待命进行血管栓塞或开胸止血/肺叶切除术。
1.3既往史
患者既往体健,否认
1.4治疗经过
患者入手术室后,心电监护示:HR90~95次/min,有创血压125~130/60~75mmHg,SpO2 100%,血气示:pH7.55,PaCO2 40.7mmHg,PaO2 75.5mmHg,血K+2.5mmol/L,HCO-336mmol/L,血Lac3.8mmol/L。
给予丙泊酚+瑞芬持续泵注,拔出气管插管,全麻下行气管镜检查,可见气管下段新生物堵塞,新生物源于左主支气管,在纤维支气管镜下套扎电切切除肿物,并使用抓篮取出切除的肿物。再次经口气管插管,纤维支气管镜引导下行气管内电凝止血。后可见左主支气管新生物堵塞,累及隆突,远端无法窥入。右主支气管、右上叶、中叶及下叶开口通畅,未见新生物(见图2B)。
再试图套扎切除左主支气管新生物时,心电监护提示室颤。故停止操作,给予胸外心脏按压、电除颤3次后恢复窦性心律。暂停手术操作,拟择期再行左主支气管肿物切除术。患者转运至急诊ICU,呼吸机辅助呼吸,进一步纠正内环境紊乱(低钾、高钠、代谢性碱中毒等),调整ECMO参数并于24h后停止ECMO支持。逐渐减停镇静、镇痛并行脱机锻炼,于术后第4天拔除气管插管。术后第7天出院,术后病理提示不典型类癌。患者1个月后于外院行左侧主支气管内肿物切除术。

图2患者行床旁纤支镜检查(2021年8月4日)。注:A为纤支镜下可见主气道下方被新生物(箭头所指)堵塞;B为套扎电切后,可见左主支气管被新生物所堵塞,右主支气管通畅;L和R分别代表左主支气管和右主支气管
2.讨论
CAO的常见原因包括血管性
CAO的治疗目标为解除梗阻、保证气道通畅。对急性CAO患者纤维支气管镜和(或)硬质
本文介绍了1例因远端主气道完全梗阻所致的窒息、严重低氧血症和心脏骤停患者的救治经过。ECMO为挽救患者的生命赢得了时间,保证患者可以行后续的纤维支气管镜治疗。ECMO又被称为体外生命支持系统,可提供呼吸功能支持和血流动力学支持,在危重症患者的抢救中发挥着重要的作用。
近年来多篇文献报道了ECMO成功用于气道肿物或气道狭窄患者的抢救和手术治疗中。静脉-静脉和静脉-动脉ECMO两种模式均可提供呼吸支持,但静脉-动脉ECMO能提供血流动力学支持。ECMO模式的选择取决于患者的情况及临床症状进展的速度,若患者出现心脏骤停或处于休克状态,则应选择静脉-动脉ECMO模式。
ECMO建立后应通过调节血流量和气流量,并根据动脉血压、静脉血氧饱和度和血乳酸水平判断组织灌注是否充分。一旦气道梗阻解决或基础病因去除后,应做撤离ECMO的准备。目前ECMO用于高危患者的经验仅局限于病例报道(小规模病例系列报道)。
患者的选择、ECMO时机及ECMO适应证目前并没有统一的标准。此外,ECMO仅只能作为短暂的、挽救生命和治疗的桥接手段,去除病因(如切除气道肿瘤及解除梗阻)才是保证患者安全的根本。能否预防性使用ECMO或当患者仅有部分主气道梗阻时是否可以使用ECMO并没有定论。尽管文献报道的病例均有较好的预后,考虑到ECMO可能的并发症(包括血管损伤、出血、栓塞、假性
本例患者术中出现室颤,其原因考虑如下:①左肺不张,纵隔左偏。左主支气管内操作时,与心脏距离近,使用电烧时,电流有可能直接经过心脏;②
综上所述,对于CAO,尤其是重度狭窄或完全梗阻危及患者生命时,紧急实施ECMO可以挽救患者的生命,为进一步诊治创造条件。但临床应用中应掌握适应证,ECMO使用期间加强多学科的协作和沟通。一旦气道开放,及时调整ECMO流量并逐渐减停,以保证患者的安全。
来源:马璐璐,徐胜勇,陆海松,王锐颖,王孟昭,陈闽江,孙雪峰,徐军,朱华栋,黄宇光.ECMO辅助救治正气道肿物致完全性气道梗阻1例[J].中国急救医学,2022,42(07):593-595.