病史介绍
患者女性,35 岁。
主诉:确诊肺癌 2 年余。
现病史:患者 2 年前因胸痛在我院就诊,行胸腔镜检查取活检,病理回报腺癌,诊断:左肺腺癌 IVA 期(cT1cN0M1a),行基因检测示 EGFR19 外显子缺失突变,口服吉非替尼靶向药物治疗,于 2019-05-29 已规律行一线 5 疗程培美曲塞 d1+ 奈达铂 d1 化疗及 13 疗程培美曲塞 d1 维持化疗,2020-08-17 抽血复查基因检测仍示 EGFR 19 外显子缺失突变,继续应用吉非替尼靶向治疗。2020-10-14 行大评估入院,见左乳新发肿块,乳腺及腋窝淋巴结活检病理回报:转移性肺腺癌,评估病变进展,予更换为阿法替尼靶向治疗。2021-05-19 入院评估后行乳腺彩超提示结节较前增大,病情不稳定,更换为奥希替尼治疗,于 2021-06-21 入院,于 2021-06-21 入院评估病变进展,腹腔积液,于 2021-06-25 腹腔内恩度靶向药物治疗,出院后于 07-13 口服奥希替尼+安罗替尼治疗,于 2021-08-09 为行大评估入院,完善相关检查,部分病变较前缓解。患者上次出院至今,仍有乳房、腋窝疼痛,伴有腹痛、腹胀。近 1 周,左侧胸痛明显,伴周身痛,无法平卧,无发热、咳嗽、咳痰等。
既往史:1 个月前于我院诊断 “腹膜炎、低蛋白血症、营养不良”,“左侧乳腺及腋窝淋巴结 125 碘植入止痛治疗”。否认 “高血压、糖尿病、冠心病” 等,慢性病病史,否认药物、食物过敏史。
实验室检查
-
血常规五分类:白细胞 9.67 10E9/L、中性粒细胞百分率 90.9 %、中性粒细胞绝对值 8.79 10E9/L、血红蛋白 79 g/L,血小板计数96 10E9/L 。
-
DIC全套:凝血酶原时间 16.3 秒、国际标准化比值 1.40、活化部分凝血活酶时间 44.1 秒、D-二聚体 79.11 μg/ml、纤维蛋白(原)降解物 115.45 μg/ml,降钙素原 1.040 ng/ml。
影像检查

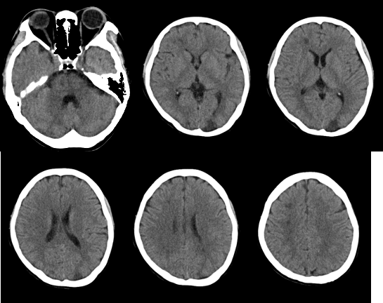
↑ 头颅 CT:右额叶、右侧半卵圆中心、左侧枕叶新出现多发斑片状低密度影,转移瘤可能性大。





病例解析
诊断:特鲁索综合征
诊断分析思路
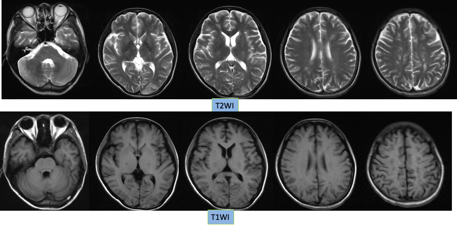
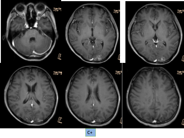
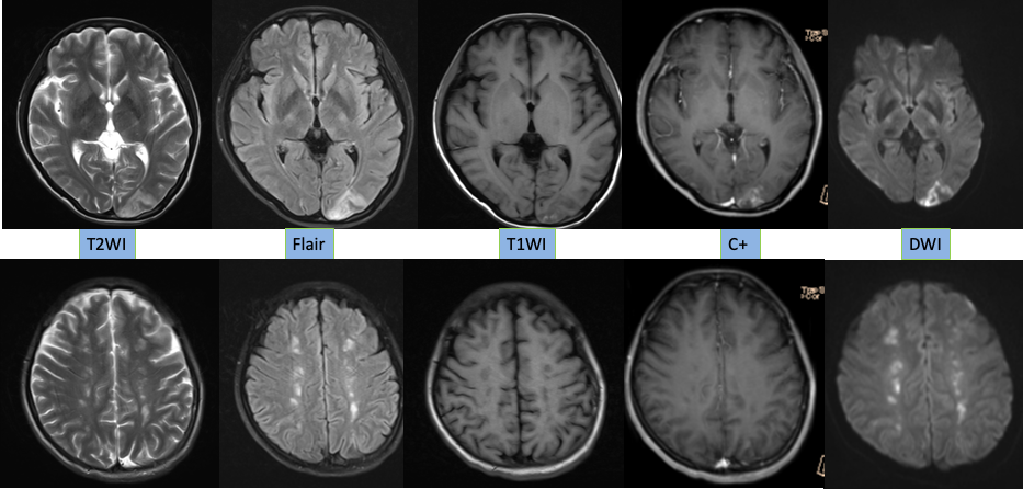
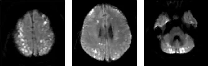
1. 本病例影像学表现提示的诊断线索:青年女性,脑内新见散在多发病灶,散在分布于多个脑动脉供血区,包括幕上幕下,皮层及深部白质,无明显占位效应,病灶周围无水肿,弥散受限,增强扫描左枕叶较大病灶不均匀强化,余病灶无明显强化。
2. 本病例的读片思路
-
定位诊断:主要病变位于脑实质,幕上幕下、皮层及深部白质均有病灶。
-
定性诊断:本病例特点为青年女性,有明确肺癌病史,无明确神经系统症状,CT 发现颅内新发多发病灶,结合病史首先不除外转移瘤,MR 进一步检查病灶符合多发急性期脑梗死,确诊脑梗死不难,难的是确认脑梗死的发病原因。
3. 特鲁索综合征:
-
恶性肿瘤患者在其发病过程中因不同程度凝血和纤维蛋白溶解机制异常而并发的自发性反复发作性游走性动静脉血栓栓塞事件的统称,一旦形成即提示预后不良。
-
临床表现:深静脉血栓形成、肺栓塞与非细菌性血栓性心内膜炎相关的慢性弥散性血管内凝血和动脉血栓形成。急性脑梗死是特鲁索综合征的一种表现形式,往往容易被临床忽视。
-
典型影像学表现:DWI 上病灶累及 3 个或 3 个以上血管分布区,常累及前后循环,双侧多见。排除其他明确的栓塞源或与这些病变相关的其他疾病。
-
特鲁索综合征评分系统:总评分≥3 分需要考虑
-
D-二聚体水平≥10.0mg/L:2 分
-
多个血管分布区域的梗死:2 分
-
活动性肿瘤:1 分
-
血小板<150×10E9/L:1 分
-
女性:1 分
鉴别诊断
1. 脑转移瘤
-
原发肿瘤病史,可发生于任何年龄,以 40-60 岁多见。
-
转移部位:幕上多见,70%-80% 为多发,多位于皮髓质交界区。
-
CT:平扫肿瘤呈高、低、等或混杂密度,小者为实性结节,大者中间多有坏死,呈不规则环状。病灶周围有瘤周水肿,增强后瘤灶强化。
-
MRI:长 T1、长 T2 信号,瘤周水肿广泛,占位效应明显,增强后实性肿瘤明显强化,坏死囊变可呈环形、不规则结节状强化。

2. 特发性嗜酸性粒细胞增多综合征(IHES):
-
导致多器官损害的白细胞增殖性疾病
-
排除感染、血液恶性肿瘤和血管炎后的排除诊断
-
IHES中的梗死是由于微血管闭塞而发生的,且多发于分水岭区。

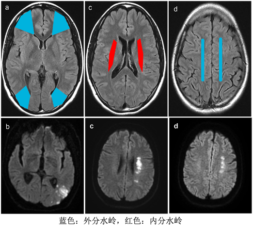
3. 分水岭脑梗死:
-
脑动脉(ACA、MCA、PCA)交界处毛细血管吻合网往往成带状分布,称之为分水岭/边缘带或者低压带。
-
分水岭脑梗死:相邻2条或者3条脑动脉供血区或者基底节区深穿动脉供血的边缘带局限性缺血造成的脑梗死
-
分型:内分水岭梗死(皮质下型)和外分水岭梗死(皮质型)
-
病因:颅内外动脉严重狭窄或闭塞(>70%)、低血压低灌注等原因导致的血液动力学障碍(皮质下型),皮质型的发生更多与微栓子清除障碍有关。
-
分布在血管的分水岭区,多累及单侧,少见累及双侧,颈部及颅内血管检查有血管严重狭窄的证据,临床可有低血压及低血容量的证据。

4. 心源性脑梗死:
-
患者有明确的心脏疾病相关病史,如卵圆孔未闭、扩张型心肌病、房颤、感染性心内膜炎等
-
排除颅内/外大动脉粥样硬化及其他病因导致的缺血性脑梗死(血管炎、凝血障碍等)
-
多个供血区域同时受累或相继发生梗死
-
容易累及皮层或灰白质交界区,前循环较后循环多见
-
易发生出血转化,堵塞动脉早期再通

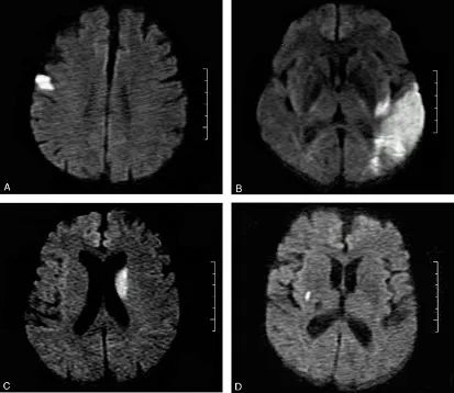
↑ 单发梗死:A:皮层梗死;B:皮层-皮层下梗死;C&D:皮层下梗死

↑ 多发梗死