乳腺疾病病例读片
发布时间:2022-11-11
发布时间:2022-11-11
病史
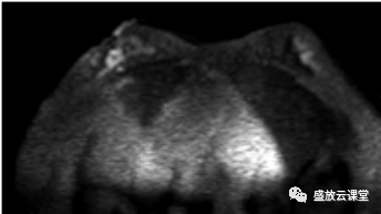
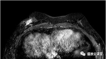
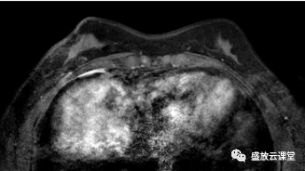
影像学检查
![]() |
![]() |
![]() |
![]() |
![]() |
![]() |
影像学表现
征象分析
特点归纳
诊断结果

























上一篇:阑尾解剖及阑尾炎影像诊断
下一篇:脊柱损伤(TLICS)