肝内胆管错构瘤和先天性肝内胆管囊状扩张症(Caroli病)

发布时间:2022-11-10

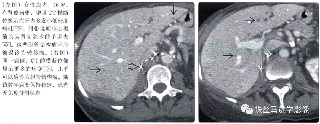
一、胆管错构瘤:

肝内胆管错构瘤和先天性肝内胆管囊状扩张症(Caroli病)-1

肝内胆管错构瘤和先天性肝内胆管囊状扩张症(Caroli病)-2

肝内胆管错构瘤和先天性肝内胆管囊状扩张症(Caroli病)-3

肝内胆管错构瘤和先天性肝内胆管囊状扩张症(Caroli病)-4

肝内胆管错构瘤和先天性肝内胆管囊状扩张症(Caroli病)-5

肝内胆管错构瘤和先天性肝内胆管囊状扩张症(Caroli病)-6

肝内胆管错构瘤和先天性肝内胆管囊状扩张症(Caroli病)-7

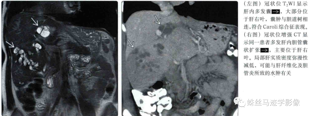
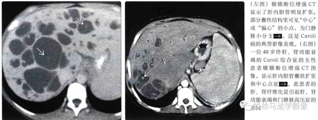
二、Caroli’s病(先天性肝内胆管囊状扩张症):

肝内胆管错构瘤和先天性肝内胆管囊状扩张症(Caroli病)-8

肝内胆管错构瘤和先天性肝内胆管囊状扩张症(Caroli病)-9

肝内胆管错构瘤和先天性肝内胆管囊状扩张症(Caroli病)-10

肝内胆管错构瘤和先天性肝内胆管囊状扩张症(Caroli病)-11

肝内胆管错构瘤和先天性肝内胆管囊状扩张症(Caroli病)-12

肝内胆管错构瘤和先天性肝内胆管囊状扩张症(Caroli病)-13

肝内胆管错构瘤和先天性肝内胆管囊状扩张症(Caroli病)-14

肝内胆管错构瘤和先天性肝内胆管囊状扩张症(Caroli病)-15

肝内胆管错构瘤和先天性肝内胆管囊状扩张症(Caroli病)-16

精彩图片

热门精选