自身免疫性胰腺炎的影像学表现
发布时间:2022-11-09
发布时间:2022-11-09
概述
1995 年 Yoshida 等正式提出 AIP 的命名以来,经过多年研究和探索,国际共识基于组织病理学特征将 AIP 分为Ⅰ型和Ⅱ型。
AIP 在全球各地区散在分布,欧美、日本、韩国均有较多报道。日本 AIP 发病率为 0.9/10 万, 占慢性胰腺炎 4%, 男性以及年龄大于 45 岁者其发病率明显增加。国内一项研究报道了 AIP25 例,其发病率占到慢性胰腺炎 4.9%。
目前全球所报道 AIP 以Ⅰ型为主,亚洲Ⅱ型少见,男性多于女性;成年人发病率较高,老年人发病多见,大多数患者发病年龄大于 50 岁。
AIP 是由免疫介导的一种慢性胰腺炎,是自身免疫功能异常,其确切的发病机制尚不清楚。
临床特点:轻微上腹部痛,无痛性进行性梗阻性黄疸多见;嗜酸性粒细胞增多;可继发性糖尿病,以Ⅱ型为主。
实验室检查:IgG4 及 γ 球蛋白升高。
病理改变
胰腺弥漫性或局限性肿大。
胰腺有淋巴细胞、浆细胞浸润及伴有席纹状纤维化改变。基本沿着主胰管及较大或中等大小的小叶间导管分布,进而造成胰管管腔不规则的狭窄。胰腺包膜纤维增生。
病变区管径较大的小静脉可出现与胰腺导管相似的病理改变,并可导致静脉管腔的闭塞。
累及胰头部的病例,胆总管胰腺段可出现管壁增厚和管腔不同程度狭窄,但粘膜面较光整。
诊断标准
自身免疫性胰腺炎目前尚无统一诊断标准:
CT 表现
胰腺正常的 「 羽毛状 」 结构消失,呈现 「 腊肠样 」 外观,呈弥漫或局限性增大,可能为胰腺组织被淋巴细胞、浆细胞弥漫浸润及纤维组织高度增生而产生形态学上的变化;
胰腺周围出现增厚的包膜样结构,呈 「 鞘膜 」 征或 「 荚膜 」 征。CT 平扫呈等或稍低密度,动脉期强化较弱,呈明显的延迟强化。与胰腺纤维组织的高度增生有关。
CT 表现为胰管及胆总管下段长段狭窄,胆总管下段呈向心性狭窄,狭窄区细长,边缘光整。
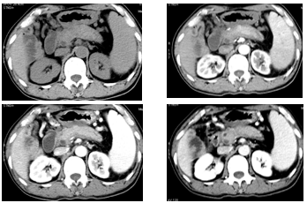
弥漫性

男,58 岁,腹痛黄疸、胆肠引流术后四年,反复黑便十天

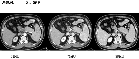
局限性


(图片均来源文末参考文献)

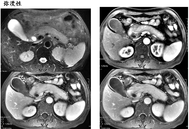
弥漫性伴胆总管改变

MRI 表现


女,63 岁。胰腺外分泌功能降低,B 超检查发现胰头增大




PET-CT
18F-FDG PET-CT 检查实现了解剖与功能代谢影像的融合,一次检查全身成像,在显示胰腺改变的同时,还可以发现胰腺外组织或器官受累情况,在疾病的诊断和全身评估中具有优势;对于治疗后的疗效评估也具有价值。
PET-CT 表现:病变部位出现 FDG 摄取增高,延迟后摄取进一步增高。摄取值增高与炎性细胞浸润吞噬有关。高摄取灶的形态与病变范围一致。



引用自:Rauscher et al. European Journal of Hybrid Imaging (2017) 1:11
其他器官的受累
IgG4 相关性疾病累及器官:一个或多个器官受累
胆管和胆囊
硬化性胆管炎

(图片均来源文末参考文献)

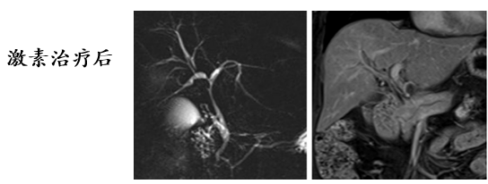
胆管受累治疗前后改变


眼附属器受累

(图片均来源文末参考文献)
泪腺受累

涎腺受累

涎腺受累 PET-CT 表现

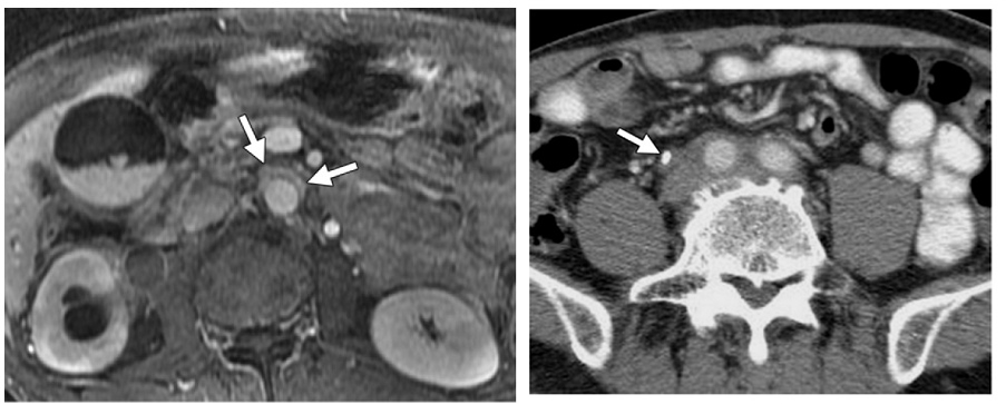
腹膜后纤维化

59 岁男性,增强 T1 显示腹主动脉前方软组织增厚,增强后病灶轻度强化。右侧肾盂及上段输尿管积水扩张,CT 增强显示双侧髂总动脉周围不规则软组织应包绕血管,右侧输尿管支架植入

甲状腺受累

46 岁,女性,间歇性呼吸困难,超声示甲状腺体积弥漫性肿大,以右侧为主,回声减低,尚均匀;
CT 增强显示甲状腺弥漫性肿大,密度减低,强化程度低于正常甲状腺组织,右侧颈血管 被包绕,气管受压。
肾脏受累


肾脏受累治疗后

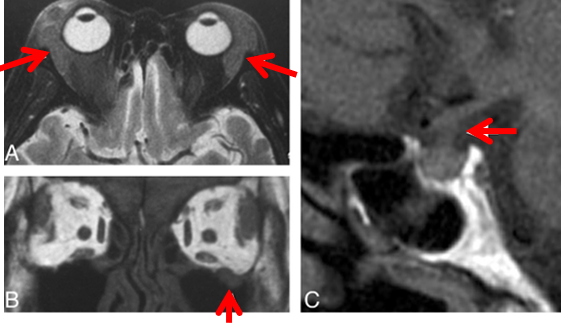
垂体受累

75 岁女性。A 图:双侧泪腺增大,轴位 T2 像显示低信号。B 图冠状位显示左侧眶下神经受累增粗;矢状位 T1 垂体柄增粗, 后叶高信号消失
鉴别诊断
由于自身免疫性胰腺炎患者中多数是以 「 皮肤黄染 」 或 「 胰腺肿物 」 来诊,文献报道以 「 皮肤黄染 」 来诊者约 50%。而且 CAl99 可以升高,少数可以有淋巴结肿大临床上容易误诊为胰腺癌、胆总管下段癌。
但它又是一个可以逆转的疾病,所以影像学的正确诊断有着重要的意义。
动态增强 CT 是鉴别胰腺癌和局限性 AIP 的重要手段。
AIP 的低密度肿块在增强早期密度低于周围正常胰腺组织,延迟期则密度均匀一致;而胰腺癌表现为不规则的低密度乏血供肿块,肿瘤远端胰腺萎缩、胰管扩张及周围血管受累。
弥漫浸润性胰腺癌:也可表现为胰腺弥漫性肿大,但多为胰腺不均匀密度改变,胰腺轮廓不规则,常伴有淋巴结转移或远处转移;而 AIP 的胰腺轮廓较为规则,无远处转移。
在影像学鉴别困难时,可结合类固醇激素实验性治疗,必要时结合血清学 IgG4 水平做出分析。
总结
自身免疫性胰腺炎具有一定的特征性影像学表现,「 腊肠征 」、「 荚膜征 」等
糖皮质激素治疗有效,能够使受累器官和组织恢复到原来的状态
是全身性、系统性疾病,胰腺外器官及组织可受累,无明显特异性影像学表现
影像学诊断必须密切结合临床表现,实验室检查、病理等
18F-FDG PET-CT 检查在全身及疗效的评估中具有优势
作者 | 影像super超
参考文献
[1] Rauscher et al. European Journal of Hybrid Imaging (2017) 1:11
[2] 张建, 程超, 汪建华, 等. 自身免疫性胰腺炎的 18F-FDG PET-CT 全身影像分析 [J]. 医学影像学杂志, 2012, 22(7):4.
[3] 余庆华, 吴建满, 陈少斌, 等. 1 型自身免疫性胰腺炎的 CT 和 MRI 表现 [J]. 中国中西医结合影像学杂志 2021 年 19 卷 3 期, 260-263,270 页, ISTIC, 2021.
[4] 续秋艳. 自身免疫性胰腺炎的 CT,MRI 影像学表现特征及其诊断价值 [J]. 2021.
[5] 陈维翠, 刘波, 胡少为, 等. Ⅰ型自身免疫性胰腺炎的 CT 及 MRI 表现 [J]. 中国医学影像学杂志 2021 年 29 卷 1 期, 65-68,72 页, ISTIC PKU CSCD, 2021.
上一篇:椎间盘膨出与疝出
下一篇:髋关节MR轴位详细标注