行驶在骶骨的本田车标—骶骨机能不全骨折
发布时间:2022-11-06
发布时间:2022-11-06
病例展示
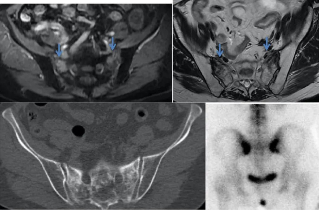
患者女,79 岁,主诉骶尾部及左下肢疼痛近月余,无明确外伤史。外院 MRI 提示骶 1 椎体及左侧闭孔内肌异常信号,怀疑恶性肿瘤。既往无恶性肿瘤病史。为进一步明确骨病变性质行全身 18F-FDG PET/CT 显像,可见骶 1-2 椎体及骶 1-4 骶骨翼骨质不连续并见线样低密度影(骨折线),呈对称性 FDG 摄取显著增高,SUVmax 达 39.2,横向延伸至髂骨体,呈「H」形;另左侧耻骨体骨质不连续,见线样低密度影(骨折线),异常放射性浓聚。本例患者骶骨病变最大的特点为基本沿中线对称分布,骨质密度不均匀增高,占位效应不明显,FDG 摄取增高区呈特征性「H形 」分布。



基于骨病变代谢显著升高,对该患者来说,最重要的是除外恶性肿瘤(包括原发骨肿瘤和骨转移瘤),这也是患者做 PET/CT 的目的所在。若为骨转移瘤,PET/CT 未见原发恶性肿瘤征象,不支持;而原发骨肿瘤多呈溶骨性骨质破坏伴软组织肿块形成;以上改变均与本例患者影像表现不符。
有经验的影像医师应该会考虑到一个病:骶骨机能不全骨折,结合患者为绝经后老年女性(好发年龄),易有骨质疏松背景(危险因素),且左侧耻骨体骨折明确,因此考虑左侧耻骨体及骶 1-2 椎体、骶 1-4 骶骨翼均为机能不全骨折。
后续随访
患者随后行骶骨病灶穿刺活组织检查及骶骨成形术,术后病理提示骨组织修复改变,未见确切肿瘤组织。后续随访,经对症及治疗骨质疏松,患者疾病进一步缓解。
骶骨机能不全骨折
一起来认识一下这个有趣的骶骨机能不全骨折(Sacral Insufficiency Fractrue SIF),又称衰竭骨折,是应力性骨折的一种特殊类型,没有明确的外伤史,其发病机制主要是由于骨弹性抵抗力减弱或骨矿含量减低,长期反复作用于正常骨质,维持肌肉正常生理活动的作用力无法承受,从而导致骨小梁或骨皮质断裂,由于骨骼本身功能减弱,在轻微外伤甚至在无明确外伤情况下可造成功能不全性骨折。
风险因素
老年妇女绝经后继发骨质疏松是骶骨机能不全骨折发生常见病因(本例符合)。此外,其他危险因素包括长期应用激素或双磷酸盐、类风湿性关节炎及多种代谢性骨病如 Page 病、成骨不全、骨软化症等,另外一个重要危险因素是恶性肿瘤的盆腔放疗史。
本田征象
骶骨机能不全骨折时骨折线通常垂直穿过骶骨翼,平行于双侧骶髂关节,在核医学 SPECT/CT 或 PET/CT 显像(冠状位重建)形似东风本田车标—大写字母「H」,故又称「Honda」征、东风本田征,为骶骨机能不全骨折较特异影像表现。
治疗预后
保守治疗为主,对症治疗骨质疏松症,必要时可应用骶骨成形术及骨水泥修复。
骶骨解剖

骶骨机能不全骨折分型
骶骨 A 型骨折

注:A 型-骶骨翼不全骨折 A1-单侧骨挫伤表现,未见明显骨折线 A2-骨皮质扭曲,无明显骨质破坏 A3-骶骨翼前外侧缘骨折(距骶髂关节小于 1 cm)
骶骨 B 型骨折

注:B 型-骶骨翼完全骨折 B1-骨折线与骶髂关节平行 B2-骨折线累及骶髂关节 B3-骨折线累及骶孔或骶管
骶骨 C 型骨折

注:C 型-骶骨中央骨折 C1-骨折线从前缘向背侧或骶髂关节移动 C2-骨折线累及单侧骶孔或骶管 C3-横向骨折伴双侧矢状骨折(不稳定)
影像学表现
骶骨机能不全骨折 SPECT/CT 表现
SPECT/CT 显像见骶骨体及骶骨翼均受累,两侧基本对称,呈典型「H」征;同机 CT 显示骶骨骨质密度增高、骨质硬化改变;敏感度高、特异性稍低。


骶骨机能不全骨折 PET/CT 表现
骶骨机能不全骨折的典型 18F-FDG PET/CT 表现为平行于骶髂关节的骨折线伴 FDG 摄取轻中度增高,PET/CT 显示病变的 FDG 摄取特征及形态学改变与转移瘤的鉴别诊断有重要价值。

女,55 岁,宫颈癌放化疗后 5 年发生骶骨机能不全骨折。PET/CT 骶骨横断面(A)、冠状面(B)显示双侧骶骨翼平行于骶髂关节骨折线,放射性摄取弥漫性轻度增高,沿骨折线处为著(箭);矢状面(C)显示骶骨体横行硬化骨折线,轻度 FDG 摄取(箭)
骶骨机能不全骨折 CT 表现
骨质疏松、骨质密度减低,骨皮质或骨小梁断裂,可见骨折线显示,骨折线位于骶孔外侧,平行于骶髂关节,多为双侧,也可为单侧,冠状位显示「H」征,骨折愈合期显示骨质硬化改变。


骶骨机能不全骨折 MRI 表现
早期骨髓水肿呈长 T1 长 T2 信号改变,显示细微骨折较 X 线、CT 敏感,当出现双侧骨折线冠状位可构成典型「H」征,增强扫描骨折线表现为线样低信号,周围骨髓水肿明显强化。


文献复习
CASE 1

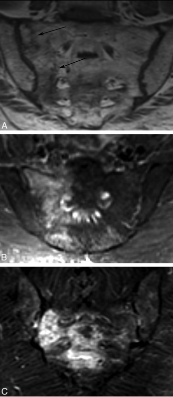
图 1 Case1. T1WI 和 T2WI 显示骶骨左侧份异常信号(蓝色直箭头)、增强扫描明显强化(蓝色弯箭头),T1 压脂高信号(红色直箭头)。

图 2 Case1. Tc-99m MDP 全身骨显像及 SPECT/CT 显像显示骶骨机能不全骨折呈特征性「H」 征。蓝色箭头清晰显示 CT 图像上的骶骨骨折线。
CASE 2

图 3 Case 2. MR T1WI 及增强扫描显示双侧骶骨异常信号伴强化(蓝色直箭头);全身骨显像显示骶骨骨折呈特征性「H」征,CT 示骶骨骨折处骨质不均匀增高、硬化。
CASE 3

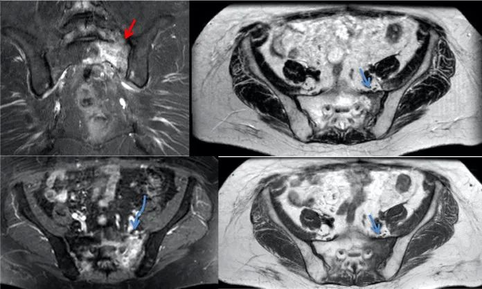
图 4 Case 3. MR T1WI 及增强扫描显示骶骨左侧份高信号(蓝色直箭头);FDG-PET/CT 显示双侧骶骨翼对称性摄取 FDG(蓝色弯箭头),CT 图像示骶骨左侧份骨质硬化改变。

图 5 Case 3. 随访 CT 显示骶骨骨折呈不均匀性硬化改变,骨折线可见。随访 MRI 显示骶骨骨折处稍高信号(蓝色直箭头)。骨扫描 ECT 图像可见双侧骶骨翼及髂骨体呈 Tc-99 mMDP 浓聚。
知识小结
疾病命名:骶骨机能不全骨折,又名衰竭骨折
疾病归属:应力性骨折一种,另一种为疲劳性骨折
好发人群:老年绝经后妇女
高危因素:骨质疏松、盆腔放疗史
影像表现:SPECT/CT、PET/CT、MRI 冠状位显示特征性「H」 征
治疗转归:保守治疗或骶骨成形术
作者 | Grayson
参考文献
[1] Lyders EM, Whitlow CT, Baker MD,Morris PP. Imaging and treatment of sacral insufficiency fractures. AJNR Am JNeuroradiol. 2010 Feb;31(2):201-10. doi: 10.3174/ajnr.A1666. Epub 2009 Sep 17.PMID: 19762463; PMCID: PMC7964142.
[2]Sabaliauskas V, Tiškevičius S. Diagnosing sacral insufficiencyfractures after radiotherapy in women with cervical cancer: Report of threecases. Radiol Case Rep. 2021 Aug 3;16(10):2938-2944. doi:10.1016/j.radcr.2021.07.017. PMID: 34401030; PMCID: PMC8350190.
[3] Lee YJ, Bong HJ, Kim JT, ChungDS. Sacral insufficiency fracture, usually overlooked cause of lumbosacralpain. J Korean Neurosurg Soc. 2008 Sep;44(3):166-9. doi:10.3340/jkns.2008.44.3.166. Epub 2008 Sep 30. PMID: 19096670; PMCID:PMC2588293.
[4] Bakker G, Hattingen J, StuetzerH, Isenberg J. Sacral Insufficiency Fractures : How to Classify? J KoreanNeurosurg Soc. 2018 Mar;61(2):258-266. doi: 10.3340/jkns.2017.0188. Epub 2018Feb 28. PMID: 29526070; PMCID: PMC5853206.
[5] 胡桂兰, 罗亚平. 功能不全性骨折全身骨显像鉴别诊断一例 [J]. 中华核医学与分子影像杂志,2021,41(4):254-256.DOI:10.3760/cma.j.cn321828-20210310-00061.
[6] 张杰平, 林端瑜, 李生栩, 蔡志华, 唐明灯.18F-FDG PET/CT 显像对宫颈癌放疗后骶骨不全骨折与转移瘤的鉴别诊断 [J]. 中国医学影像学杂志,2020,28(12):952-957.DOI:10.3969/j.issn.1005-5185.2020.12.018.
上一篇:骶骨机能不全骨折