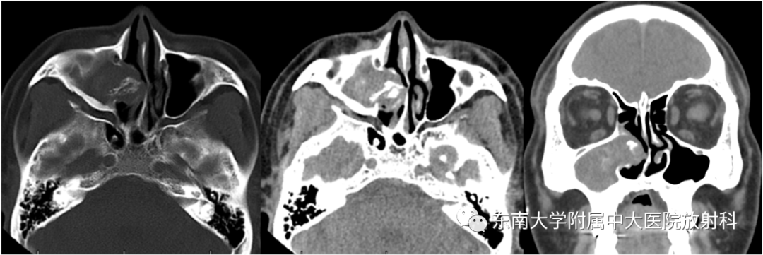
真菌性鼻窦炎
发布时间:2022-11-04
发布时间:2022-11-04
病史
男,50岁
主诉:右侧鼻腔反复流脓涕10年
手术史:患者20年前因“鼾症”于当地医院行“咽部手术及鼻中隔矫正术”,术后恢复可








































上一篇:肺癌病例读片总结
下一篇:骶骨淋巴瘤1例CT及MR影像