肝包膜皱缩,除了胆管细胞癌,还有这几种情况
发布时间:2022-11-03
发布时间:2022-11-03
肝包膜皱缩指肝脏失去正常的凸面形态,导致局部变平和凹陷。导致肝包膜回缩病因有很多种,包括肝硬化、胆道梗阻、肿瘤等。它可以是肝包膜下病变导致的真性皱缩,也可以为正常变异,如肝副裂、肝横膈导致的折返。当肝包膜下存在液体、肿瘤时也可以出现假性肝包膜皱缩。本文介绍几种导致肝包膜皱缩的病变。
No.1
肝融合性纤维化
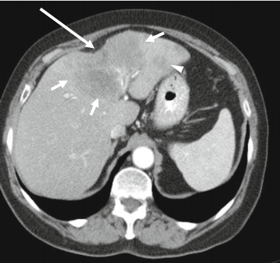
肝硬化中的纤维化较大范围集中时称为融合性纤维化,多见于进展期肝硬化,主要见于酒精性肝硬化。融合性纤维化形态上分为斑片状和肿块状,而肿块状病灶可能为误诊为恶性。CT 上表现为低密度,常累及肝左内叶和右前叶,而尾状叶较少累及。由于纤维组织收缩牵拉,邻近肝体积缩小,肝包膜凹陷(见于 90% 融合性纤维化中),病灶内胆管亦可扩张。MRI 上表现为 T1WI 低信号、T2WI 高信号,信号均匀,增强后呈动脉期无或轻度强化,后呈持续性强化。

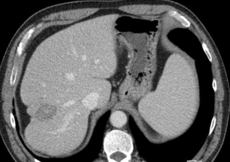
肝融合性纤维化,肝硬化背景,增强后肝 S4 段相对稍低密度,邻近肝包膜凹陷。

肝融合性纤维化,肝局部体积缩小,肝包膜凹陷,病灶呈 T2-FS 中等高信号,信号均匀,增强后动脉期强化不明显,延迟期呈均匀强化,相对肝实质呈高信号,内见正常走形血管影。
No.2
胆管细胞瘤
胆管细胞癌为肝脏常见恶性肿瘤,居肝脏原发恶性肿瘤第二位,根据其形态可分为肿块型、管内生长型和管外浸润型。肿块型胆管细胞癌的特征为瘤内含有纤维组织,导致邻近肝包膜牵拉皱缩和增强后延迟性强化的特点。

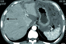
胆管细胞癌,增强门脉期呈相对低密度,边界不清,邻近肝包膜凹陷。另外病灶周围可见数枚卫星灶。
No.3
肝转移瘤
肝转移瘤可引起肝包膜凹陷,尤其见于原发肿瘤含有纤维成分时,如乳腺癌、肺癌、结肠癌及类癌等。但是转移瘤引起的肝包膜皱缩更常见于化疗或放疗后,乳腺癌等化疗后可引起假性肝硬化,可能与肿瘤浸润所致肝脏结构异常及药物化疗的毒性作用有关,具体可见往期连接→肝硬化没你想得那么简单,几种可能误诊为肝硬化的情况。

黑色素瘤肝转移,肝形态不规则、密度欠均匀,多处包膜凹陷,另见腹水及腹膜转移灶。

乳腺癌肝转移,化疗前可见肝内多发转移灶,化疗结束后可见肝体积缩小,肝包膜凹陷,类似于肝硬化。
No.4
肝血管瘤
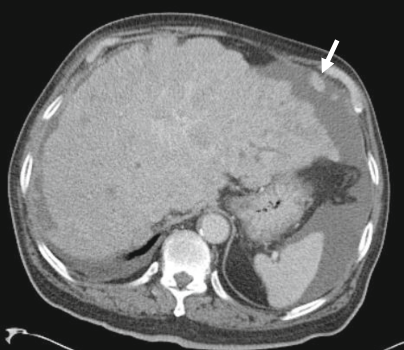
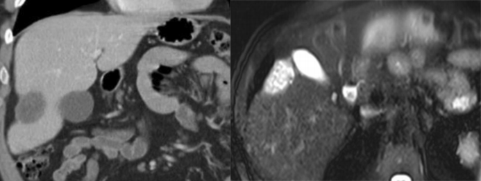
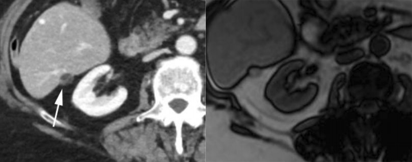
肝血管瘤为最常见的良性肿瘤,可分为海绵状血管瘤、毛细血管型血管瘤、硬化型血管瘤等。包膜皱缩为肝血管瘤的不典型表现,可见于肝硬化背景下及硬化型血管瘤,后者被认为是血管瘤退化末期,表现为透明化纤维组织替代血管周围间隙。影像上表现为 T2WI 信号减低,增强后缺乏典型填充式强化。

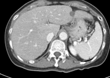
硬化型血管瘤,CT 表现为低密度,增强后无强化,邻近肝包膜凹陷,MRI T2-FS 序列示病灶呈高信号。该患者既往直肠癌病史,此病灶不能除外转移。活检结果为硬化型血管瘤。
No.5
肝上皮样血管内皮瘤
肝上皮样血管内皮瘤为罕见的间质来源具有恶性潜能的肿瘤,恶性程度介于血管瘤与血管肉瘤之间。以女性好发,中位年龄为 30-50 岁。病理上肿瘤内部含有丰富的纤维成分,纤维收缩可牵拉邻近肝包膜出现肝包膜的凹陷。
影像特征:(1)常多发,且多位于肝包膜下,较大结节多有融合趋势。(2)晕征:CT 动态增强上动脉期病灶边缘环形强化,门脉期显示为晕征,即中心为更低密度,中层为较明显强化环,最外层为低密度带。MRI 增强上病灶中央和边缘低信号,其间夹杂环形高信号强化带,形成晕征,病理上对于肿瘤外周部为细胞活跃增生区,中央为硬化区。(3)棒棒糖征:尤其是门脉期,正常肝静脉或门脉分支进入病灶边缘并终止于病灶。

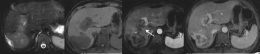
肝上皮样血管内皮瘤,MRI 示病灶邻近肝包膜,呈 T1WI 低信号、T2-FS 中等信号,增强后动脉晚期云絮状强化,门脉期呈持续性强化,邻近肝包膜凹陷。
No.6
肝肿瘤治疗后
6、肝肿瘤治疗后
射频消融、冷冻消融及高强度聚焦超声等常导致肿瘤的凝固性坏死,之后被纤维瘢痕组织代替,继而导致肝包膜的皱缩。

肝左叶肝细胞肝癌射频消融术后一年,病灶表现为弱强化,邻近肝包膜皱缩。

肝右叶肿瘤射频消融术后,邻近肝包膜皱缩。
No.7
腹腔假性粘液瘤
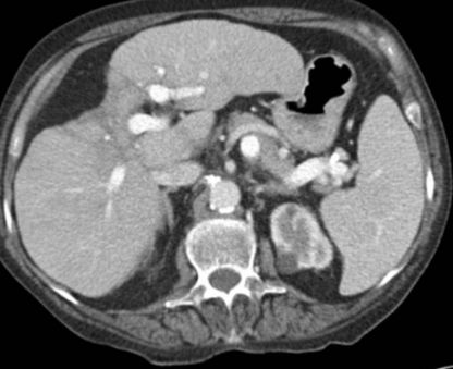
腹腔假性粘液瘤是一种以大量胶状粘液物质广泛种植于腹腔腹膜或大网膜表面形成的一种少见疾病。腹膜假粘液瘤的原发肿瘤可见于多个脏器,最常见的为阑尾和卵巢,其他器官如输卵管、胰腺和肠道等。影像上表现为腹腔大量固定的低密度区,内可有分隔,少数可见钙化,肝周围的腹腔粘液瘤表现为肝轮廓的改变,呈扇贝样压迹,这种压迹类似于肝包膜的回缩。

腹腔假性粘液瘤,肝周围液性密度影,肝包膜受压改变,肝边缘呈多个扇贝状压迹。腹腔另见大量液性密度。

腹腔假性粘液瘤,既往卵巢癌病史。CT 示腹腔大量液性密度,肝实质明显受压移位改变。
No.8
肝包膜假性脂肪瘤
肝包膜假性脂肪瘤是一种少见良性病变,内含坏死的脂肪成分,附着于肝包膜的表面,推测其可来源于分离的网膜附属物。影像上表现为肝包膜表面脂肪密度灶,边界清晰,邻近肝实质受压改变,类似于肝包膜的回缩。MRI 上表现为脂肪信号灶,反相位上病灶与肝实质表面存在黑线伪影。

肝包膜假性脂肪瘤,CT 示肝包膜处脂肪密度灶,邻近肝实质可见压迹。MRI 反相位图像示病灶为脂肪信号,病灶与邻近肝实质表面见低信号影。
作者 | 天涯陌路
参考文献
1. Tan GX, Miranda R, Sutherland T. Causes of hepatic capsular retraction: a pictorial essay. Insights Imaging. 2016;7(6):831-840.
2. 叶振, 张伟, 张国安, 张嘉铭. 肝融合性纤维化的 MR 影像特点 [J]. 实用放射学杂志,2016,32(1):152-154.
3. 朱璐珑, 曹代荣, 王明亮, 曾蒙苏. 肝脏上皮样血管内皮瘤 MRI 征象 [J]. 中国医学影像技术,2018,34(7):1046-1049.
4. 李刚, 易亚辉, 苏刚, 蒋伟浩. 腹膜假性粘液瘤 CT 表现特征及其诊断价值 [J]. 医学影像学杂志,2017,27(2):369-372.