Rathke裂囊肿影像诊断要点
发布时间:2022-11-02
发布时间:2022-11-02
Rathke裂囊肿
概述
影像
主要的鉴别诊断
临床要点

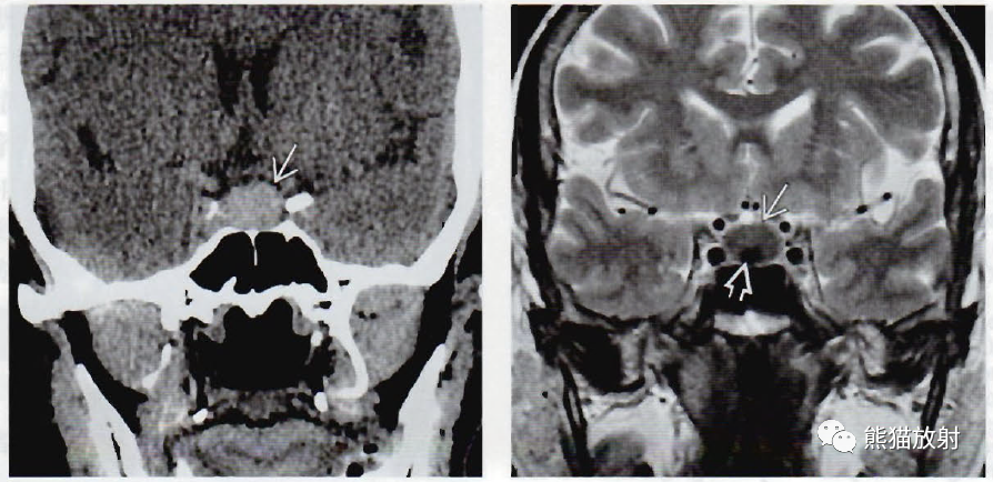
(左) 冠状位图显示典型的鞍上Rathke裂囊肿, 位于垂体(黑箭)和视交叉(白箭)之间。
(右) 轴位大体病理显示尸检偶然发现的含粘液的Rathke裂囊肿。

(左) 一头痛患者,冠状位NECT显示高信号的鞍内肿块,稍向鞍上延伸。
(右) 同一位患者,冠状位T2WI显示囊肿主要呈低信号,注意囊内结节(空箭)。术中发现为Rathke裂囊肿。

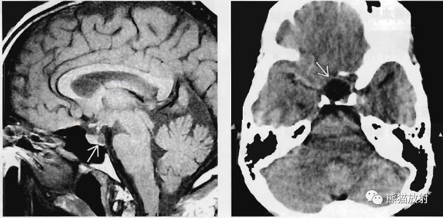
(左) 一例无神经系统症状的头痛患者,矢状位T1WI MR显示所有序列均符合脑脊液信号的小的低信号囊肿(箭)。该病灶为偶然发现,考虑为Rathke裂囊肿。
(右) 轴位NECT显示一脑脊液样低密度的鞍内及鞍上肿块。手术证实为Rathke裂囊肿。

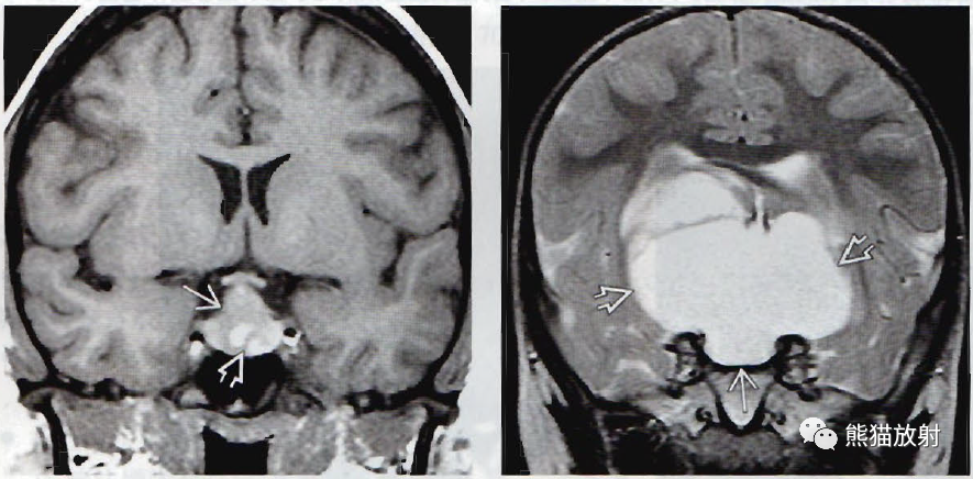
(左)一例无症状患者,冠状位T1WI MR显示与大脑等信号的小的鞍上肿块(直箭),与垂体(弯箭)分界清楚。漏斗柄稍向左移。考虑为Rathke裂囊肿。
(右) 矢状位T1WI C+FS MR显示Rathke裂囊肿的“爪”征(箭),即强化的残余垂体包裹巨大的鞍内和鞍上囊肿。

(左) 21岁女性,突发头痛、T4降低,冠状位T1WI MR显示高信号的肿块和更高信号的囊内结节。术前诊断为垂体卒中,术中发现为Rathke裂囊肿。
(右) 2岁儿童,冠状位T2WI显示位于鞍内和鞍上的巨大囊肿。手术发现为巨大的Rathke裂囊肿。
↓ 内容节选自图书:
《脑部影像诊断学》 主译:吴文平 等
上一篇:肺部子宫内膜异位症1例CT影像
下一篇:MOGHE的MRI诊断与鉴别诊断