肠梗阻读片之小肠篇

发布时间:2022-11-01

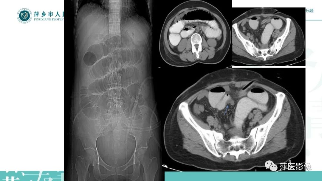
【PPT】肠梗阻读片之小肠篇-1

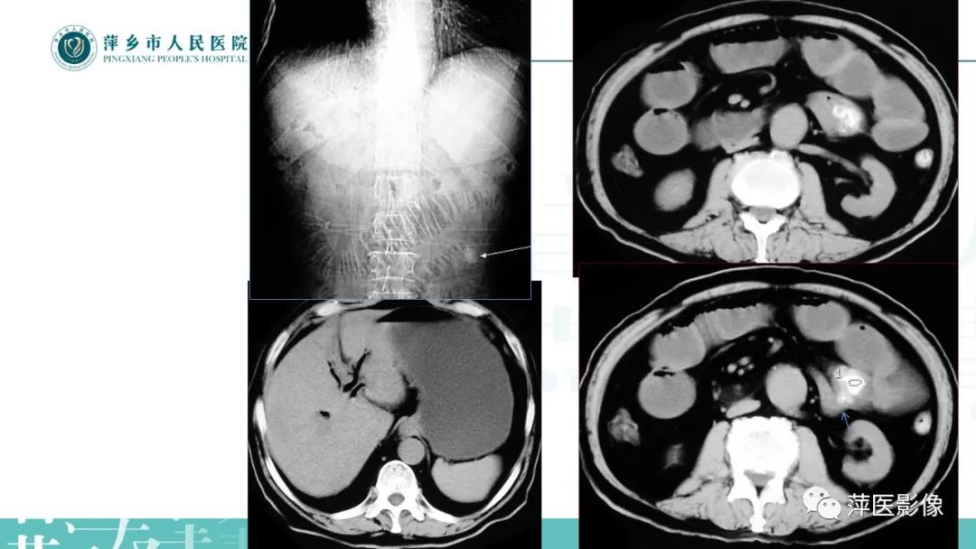
【PPT】肠梗阻读片之小肠篇-2

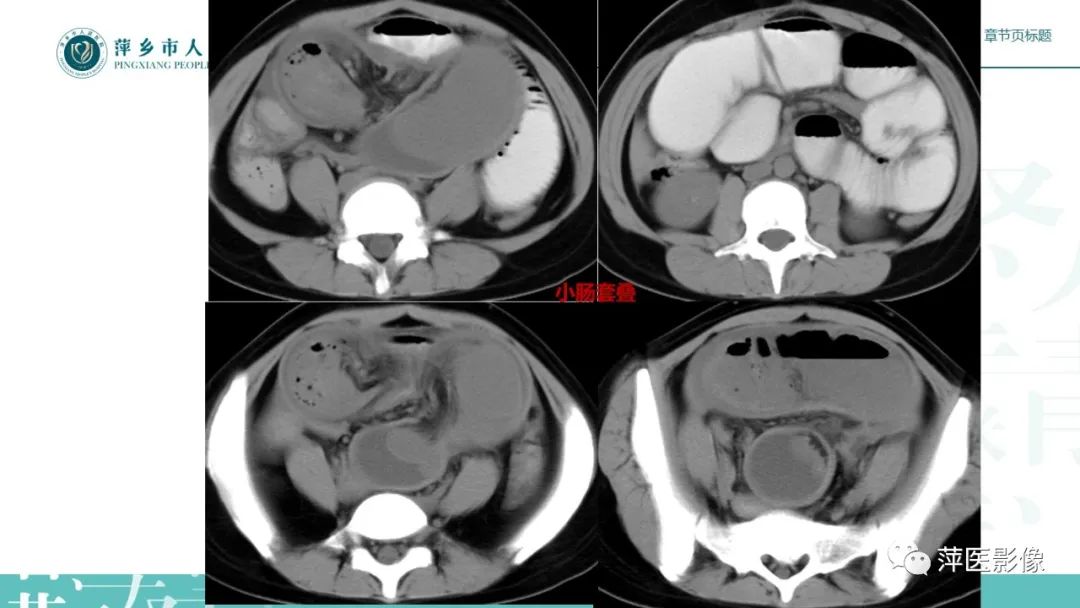
【PPT】肠梗阻读片之小肠篇-3

【PPT】肠梗阻读片之小肠篇-4

【PPT】肠梗阻读片之小肠篇-5

【PPT】肠梗阻读片之小肠篇-6

【PPT】肠梗阻读片之小肠篇-7

【PPT】肠梗阻读片之小肠篇-8

【PPT】肠梗阻读片之小肠篇-9

【PPT】肠梗阻读片之小肠篇-10

【PPT】肠梗阻读片之小肠篇-11

【PPT】肠梗阻读片之小肠篇-12

【PPT】肠梗阻读片之小肠篇-13

【PPT】肠梗阻读片之小肠篇-14

【PPT】肠梗阻读片之小肠篇-15

【PPT】肠梗阻读片之小肠篇-16

【PPT】肠梗阻读片之小肠篇-17

【PPT】肠梗阻读片之小肠篇-18

【PPT】肠梗阻读片之小肠篇-19

【PPT】肠梗阻读片之小肠篇-20

【PPT】肠梗阻读片之小肠篇-21

【PPT】肠梗阻读片之小肠篇-22

【PPT】肠梗阻读片之小肠篇-23

【PPT】肠梗阻读片之小肠篇-24

【PPT】肠梗阻读片之小肠篇-25

【PPT】肠梗阻读片之小肠篇-26

【PPT】肠梗阻读片之小肠篇-27

【PPT】肠梗阻读片之小肠篇-28

【PPT】肠梗阻读片之小肠篇-29

【PPT】肠梗阻读片之小肠篇-30

【PPT】肠梗阻读片之小肠篇-31

【PPT】肠梗阻读片之小肠篇-32

【PPT】肠梗阻读片之小肠篇-33

【PPT】肠梗阻读片之小肠篇-34

【PPT】肠梗阻读片之小肠篇-35

【PPT】肠梗阻读片之小肠篇-36

【PPT】肠梗阻读片之小肠篇-37

【PPT】肠梗阻读片之小肠篇-38

【PPT】肠梗阻读片之小肠篇-39

【PPT】肠梗阻读片之小肠篇-40

【PPT】肠梗阻读片之小肠篇-41

【PPT】肠梗阻读片之小肠篇-42

【PPT】肠梗阻读片之小肠篇-43

【PPT】肠梗阻读片之小肠篇-44

【PPT】肠梗阻读片之小肠篇-45

【PPT】肠梗阻读片之小肠篇-46

【PPT】肠梗阻读片之小肠篇-47

【PPT】肠梗阻读片之小肠篇-48

【PPT】肠梗阻读片之小肠篇-49

【PPT】肠梗阻读片之小肠篇-50

【PPT】肠梗阻读片之小肠篇-51

【PPT】肠梗阻读片之小肠篇-52

【PPT】肠梗阻读片之小肠篇-53

【PPT】肠梗阻读片之小肠篇-54

【PPT】肠梗阻读片之小肠篇-55

【PPT】肠梗阻读片之小肠篇-56

精彩图片

热门精选