肾窦病变影像诊断思路

发布时间:2022-10-28

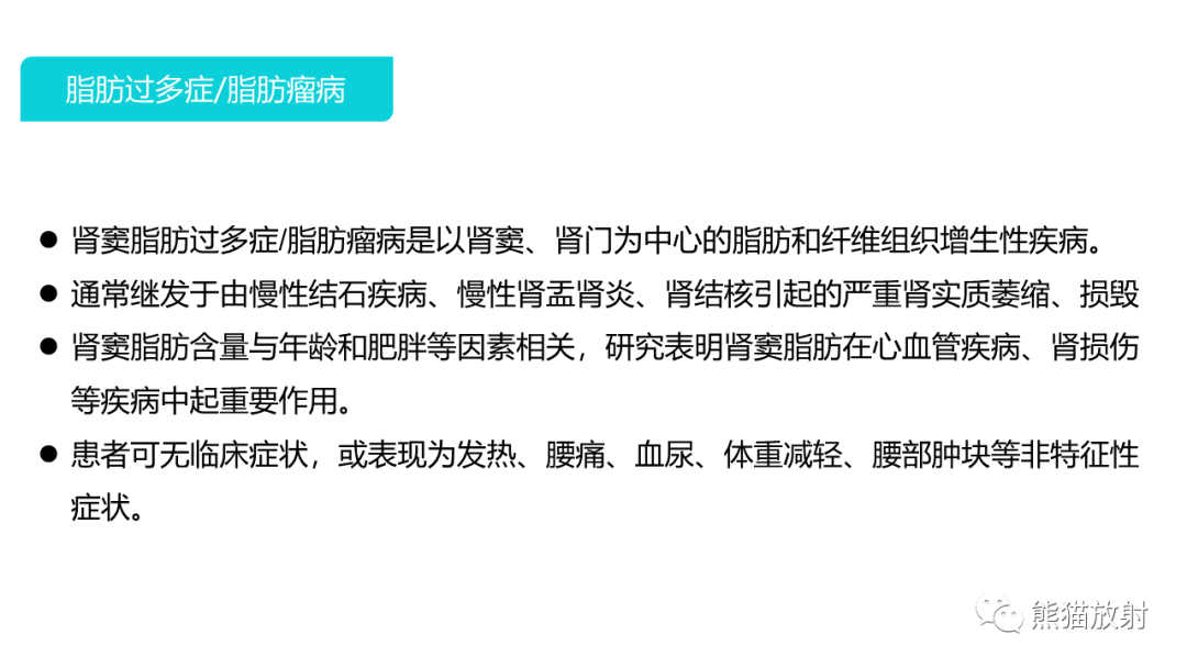
【PPT】肾窦病变影像诊断思路-1

【PPT】肾窦病变影像诊断思路-2

【PPT】肾窦病变影像诊断思路-3

【PPT】肾窦病变影像诊断思路-4

【PPT】肾窦病变影像诊断思路-5

【PPT】肾窦病变影像诊断思路-6

【PPT】肾窦病变影像诊断思路-7

【PPT】肾窦病变影像诊断思路-8

【PPT】肾窦病变影像诊断思路-9

【PPT】肾窦病变影像诊断思路-10

【PPT】肾窦病变影像诊断思路-11

【PPT】肾窦病变影像诊断思路-12

【PPT】肾窦病变影像诊断思路-8

【PPT】肾窦病变影像诊断思路-13

【PPT】肾窦病变影像诊断思路-14

【PPT】肾窦病变影像诊断思路-15

【PPT】肾窦病变影像诊断思路-16

【PPT】肾窦病变影像诊断思路-17

【PPT】肾窦病变影像诊断思路-18

【PPT】肾窦病变影像诊断思路-19

【PPT】肾窦病变影像诊断思路-20

【PPT】肾窦病变影像诊断思路-21

【PPT】肾窦病变影像诊断思路-22

【PPT】肾窦病变影像诊断思路-23

【PPT】肾窦病变影像诊断思路-24

【PPT】肾窦病变影像诊断思路-25

【PPT】肾窦病变影像诊断思路-26

【PPT】肾窦病变影像诊断思路-27

【PPT】肾窦病变影像诊断思路-28

【PPT】肾窦病变影像诊断思路-29

【PPT】肾窦病变影像诊断思路-30

【PPT】肾窦病变影像诊断思路-31

【PPT】肾窦病变影像诊断思路-32

【PPT】肾窦病变影像诊断思路-33

【PPT】肾窦病变影像诊断思路-34

【PPT】肾窦病变影像诊断思路-35

【PPT】肾窦病变影像诊断思路-36

【PPT】肾窦病变影像诊断思路-37

【PPT】肾窦病变影像诊断思路-38

【PPT】肾窦病变影像诊断思路-39

【PPT】肾窦病变影像诊断思路-40

【PPT】肾窦病变影像诊断思路-41

【PPT】肾窦病变影像诊断思路-42

【PPT】肾窦病变影像诊断思路-43

【PPT】肾窦病变影像诊断思路-44

【PPT】肾窦病变影像诊断思路-45

【PPT】肾窦病变影像诊断思路-46

【PPT】肾窦病变影像诊断思路-47

【PPT】肾窦病变影像诊断思路-48

【PPT】肾窦病变影像诊断思路-49

【PPT】肾窦病变影像诊断思路-50
病例结果:肾窦区海绵状血管瘤、孤立性纤维瘤

精彩图片

热门精选