胃黏膜相关淋巴组织(MALT)淋巴瘤
发布时间:2022-10-29
发布时间:2022-10-29
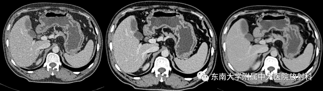
病例
•男,49岁
•主诉:因“间断性腹痛、黑便4天”入院
•患者4年前无明显诱因下出现腹痛、为阵发性,夜间较重,无明显规律,解黑便数次。4年前于外院行“疣状胃炎APC术”,3年前于外院行“肠息肉内镜下粘膜切除术”;(2017-11-06)于外院行胃镜:胃体溃疡(淋巴瘤待排)






































上一篇:卵巢卵黄囊瘤/内胚窦瘤
下一篇:肾窦病变影像诊断思路