胸部CT基本征象-树芽征
发布时间:2022-10-21
发布时间:2022-10-21
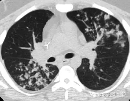
树芽征是指病变累及细支气管时,由于炎性渗出物或分泌物堵塞细支气管, CT表现为小叶中心分枝状线影和与其相连的细支气管横断面结节影,状如春天里挂满枝芽的”树”,即”树芽征”。是细支气管扩张、阻塞的特征影像之一。由Im等1993年首次报道,最初用来描述肺结核沿终末支气管扩散的征象,后来逐渐用于有类似征象的其它支气管疾病。CT尤其是高分辨CT(HRCT)能够很好的显示此征。
CT表现——在肺外围支气管的末梢呈现2~4mm大小结节与树枝状的高明电影。
意义:表明有小气道病变如:细支气管炎症、弥漫型细支气管炎级肺结核活动病灶或播散病灶等。




下一篇:HRCT树芽征的诊断价值