【少见病例】AIDS 合并马尔尼菲青霉菌病一例

发布时间:2022-10-21

马尔尼菲青霉菌(PM)是青霉菌中惟一的呈温度双相型的致病菌,是一罕见的致病菌。本病可发生于健康者,但更多见于免疫缺陷或免疫功能抑制者,随着HIV感染者日见增多,马尔尼菲青霉菌病报道也逐年增加。主要累及单核-巨噬细胞系统,常播散全身,病死率高,是一种严重的深部真菌病。

一般情况

男,31岁,抽烟、喝酒。反复发热半年,头痛一周,入院体温38.2℃,舌头表面见豆腐渣状物体,舌侧见毛状黏膜白斑。全身浅表淋巴结无肿大。双肺呼吸音增粗,未闻及干湿性罗音。CD4 细胞计数 13/μL。HIV( )。

影像图像

【少见病例】AIDS 合并马尔尼菲青霉菌病一例

【少见病例】AIDS 合并马尔尼菲青霉菌病一例

【少见病例】AIDS 合并马尔尼菲青霉菌病一例

【少见病例】AIDS 合并马尔尼菲青霉菌病一例

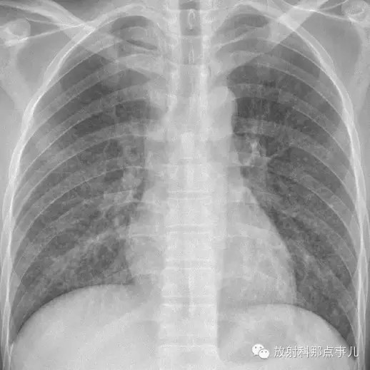
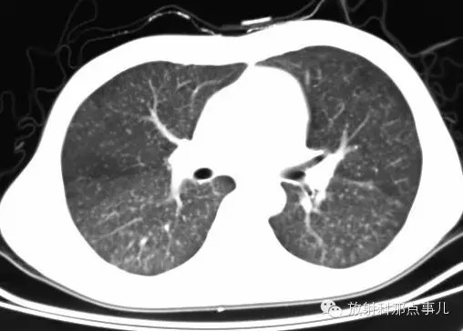
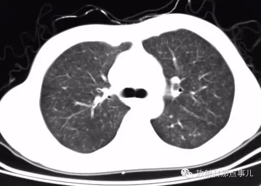
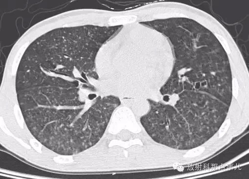
影像表现

1.胸片示双肺网状纹理,弥漫分布粟粒样病灶,由上至下病灶逐渐增多。

2.CT示双肺网状纹理,弥漫分布粟粒样病灶;HRCT示左肺上叶舌段肺气囊。

病理所见

骨髓培养:马尔尼菲青霉菌

【少见病例】AIDS 合并马尔尼菲青霉菌病一例
沙氏培养基25°C和37°C 马尔尼菲青霉菌菌落

精彩图片

热门精选