【病例学习】甲型H7N9禽流感一例
发布时间:2022-10-21
发布时间:2022-10-21
男性 63
发热咳嗽5天
无明显诱因出现畏寒、寒战、发热,39度。
2013-4-1 WBC10.99×10^9/L 中性 78.9% 淋巴16.5% 血红蛋白164g/L 血小板124×10^9/L CRP23.6mg/L
消炎退热处理,无好转,一天前出现咳嗽,无痰,无流涕。再查血常规
2013-4-5 WBC8.84×10^9/L , 中性78.9% 淋巴18.5% 血红蛋白157g/L 血小板91×10^9/L CRP94.35mg/L
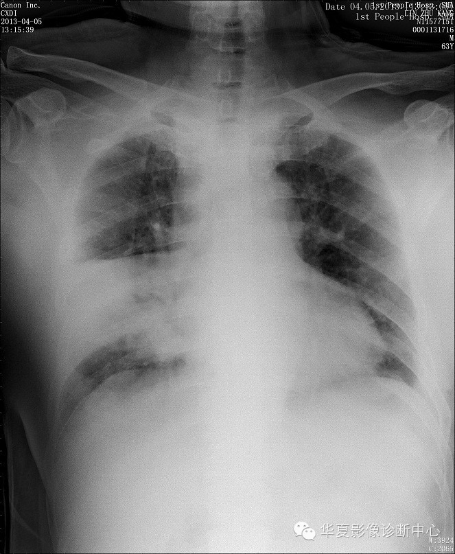
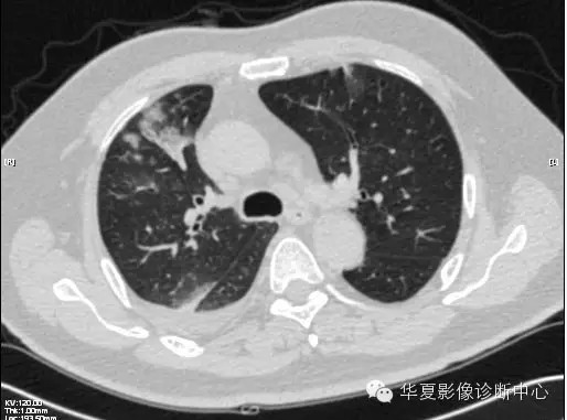
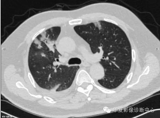
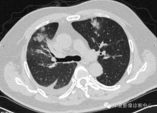
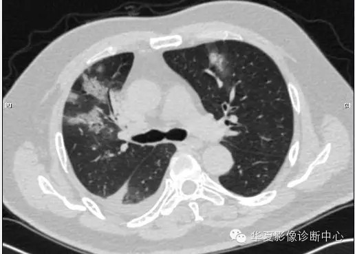
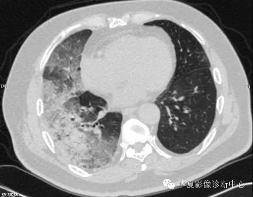
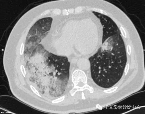
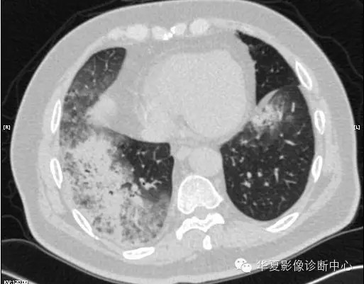
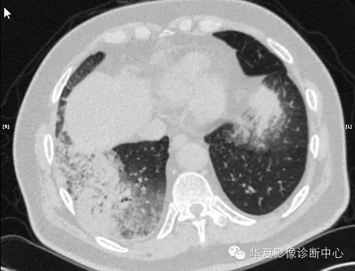
2013-4-5拍片示右肺实变,收入院,追问病史,发病期间肌肉酸痛,头痛,无腹痛腹泻,无明显胸闷气急,无意识改变。有高血压病史,无其它病史。
2013-4-6 WBC6.70×10^9/L 中性 90.9% 血红蛋白158.4g/L 血小板87×10^9/L CRP184mg/L 支原体抗体(-)
血气分析 PH 氧分压 二氧化碳分压 氧饱和度
2013-4-6 7.505 79.5mmHg 30.1mmHg 96.78%
2013-4-6 7.433 69.4mmHg 34.0mmHg 94.60%
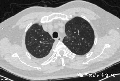
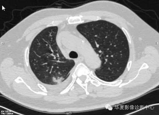
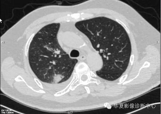
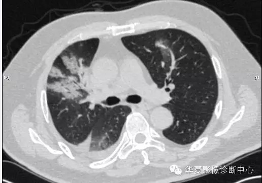
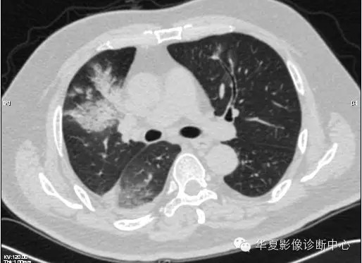
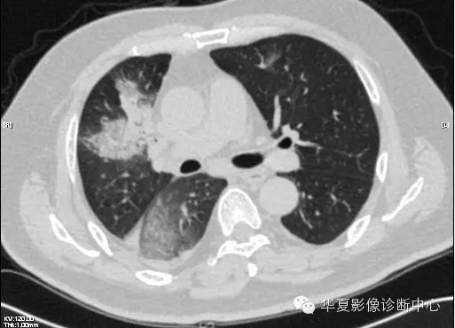
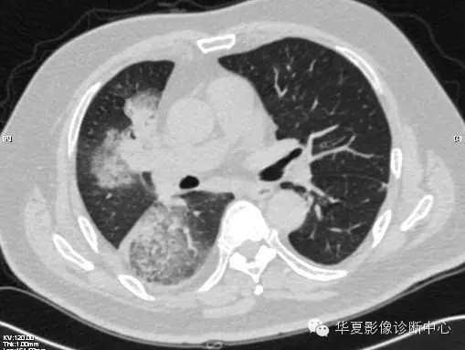
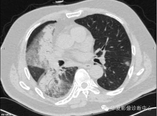
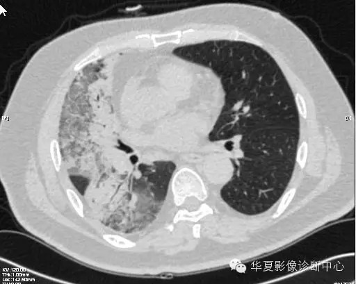
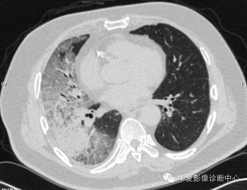
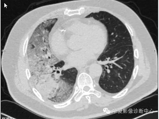
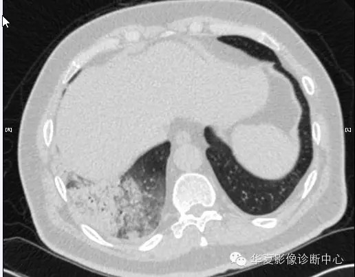
2013-4-7CT进一步检查。




















最终诊断:H7N9。

























上一篇:各期尘肺标准片及解读
下一篇:肺亚实性结节影像处理专家共识