各期尘肺标准片及解读
发布时间:2022-10-21
发布时间:2022-10-21














致残等级
1)一级 ①尘肺Ⅲ期伴肺功能重度损伤及/或重度低氧血症〔PO2 <5.3 kPa(40 mmHg)〕。②职业性肺癌伴肺功能重度损伤。
2)二级 ①尘肺Ⅲ期伴肺功能中度损伤及(或)中度低氧血症;②尘肺Ⅱ期伴肺功能重度损伤及或重度低氧血症〔PO2<5.3 kPa(40mmHg)〕;③尘肺Ⅲ期伴活动性肺结核;④职业性肺癌或胸膜间皮瘤。
3)三级 ①尘肺Ⅲ期;②尘肺Ⅱ期伴肺功能中度损伤及(或)中度低氧血症;③尘肺Ⅱ期合并活动性肺结核。
4)四级 ①尘肺Ⅱ期;②尘肺Ⅰ期伴肺功能中度损伤及/或中度低氧血症;③尘肺Ⅰ期合并活动性肺结核。
五级省略
6)六级 尘肺Ⅰ期伴肺功能轻度损伤及/或轻度低氧血症;
7)七级 尘肺Ⅰ期,肺功能正常。
X线胸片
4.1 无尘肺(0)[1]
a)0:X射线胸片无尘肺表现。
b)0 :胸片
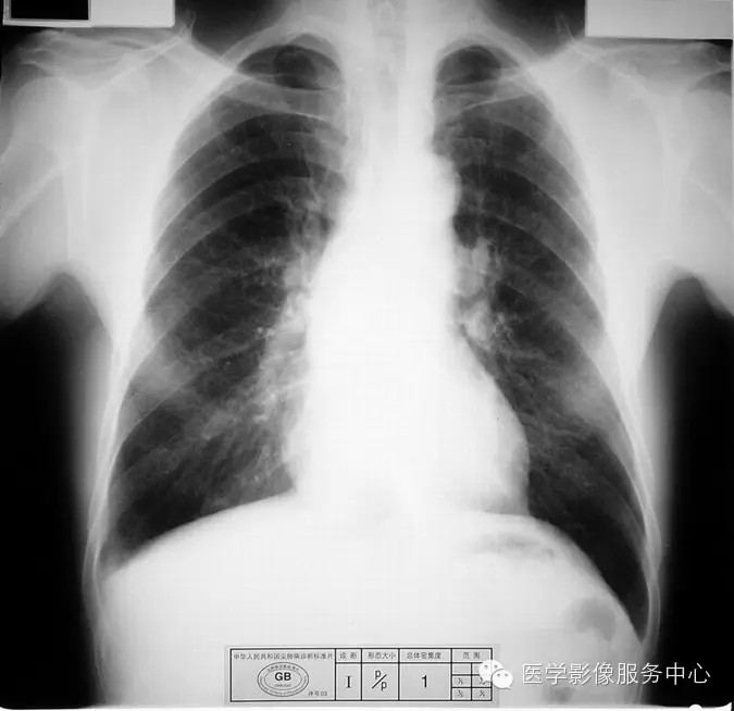
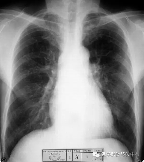
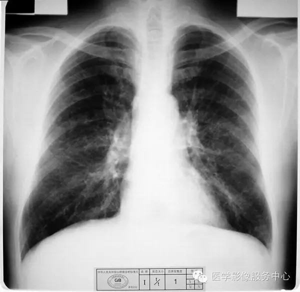
4.2 一期尘肺(Ⅰ)
a)Ⅰ:有总体密集度1级的小阴影,分布范围至少达到两个肺区。
b)Ⅰ :有总体密集度1级的小阴影,分布范围超过4个肺区或有总体密集度2级的小阴影,分布范围达到4个肺区。
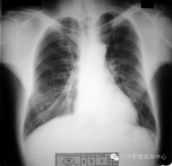
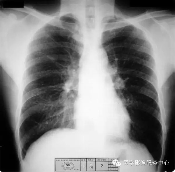
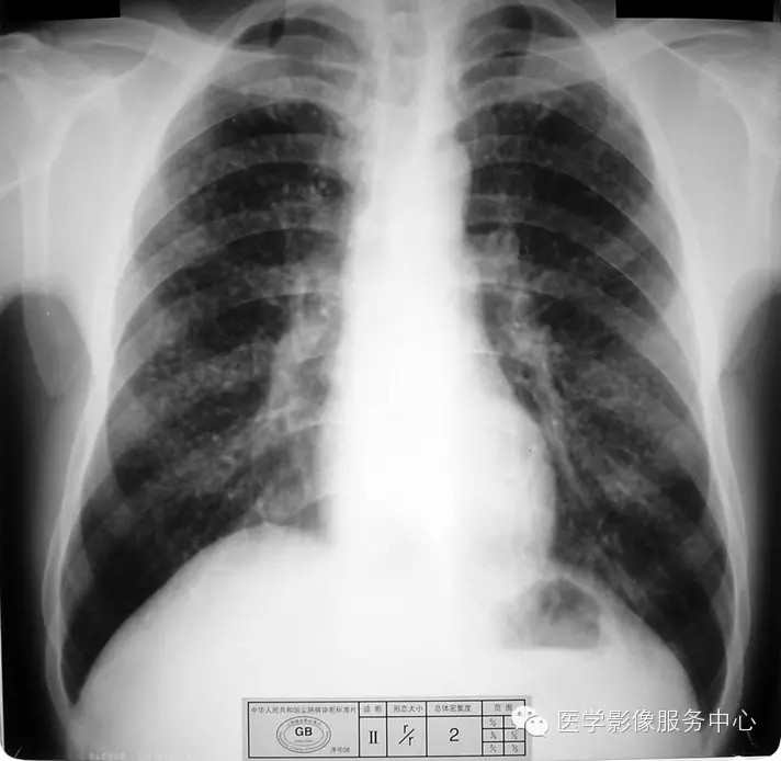
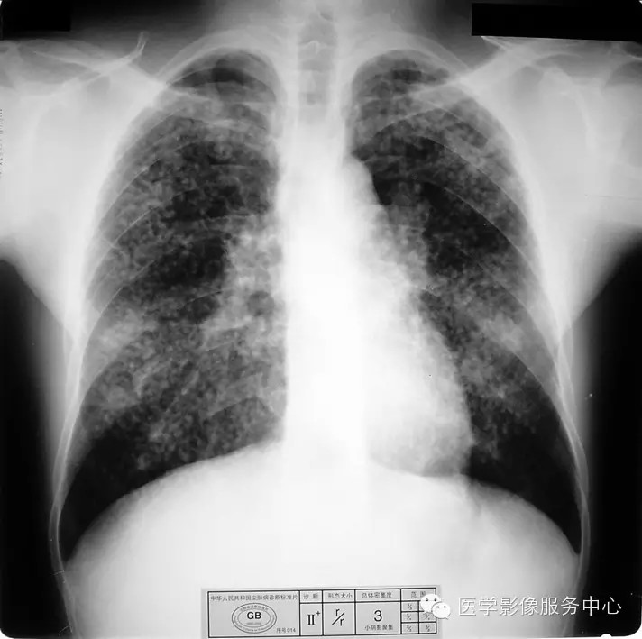
4.3 二期尘肺(Ⅱ)
a)Ⅱ:有总体密集度2级的小阴影,分布范围超过4个肺区;或有总体密集度3级的小阴影,分布范围达到四个肺区。
b)Ⅱ :有总体密集度3级的小阴影,分布范围超过4个肺区;或有小阴影聚集;或有大阴影,但尚不够诊断为Ⅲ者。
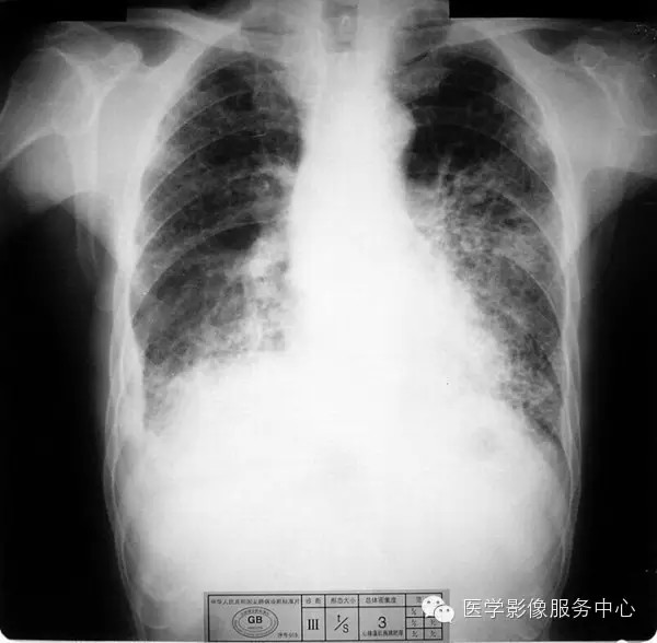
4.4 三期尘肺(Ⅲ)
a)Ⅲ:有大阴影出现,其长径不小于20mm,短径不小于10mm。
b)Ⅲ :单个大阴影的面积或多个大阴影面积的总和超过右上肺区面积者。