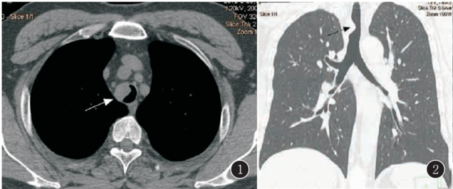
气管Rosa-iDorfman病

发布时间:2022-10-21

气管Rosa-iDorfman病气管Rosa-iDorfman病气管Rosa-iDorfman病气管Rosa-iDorfman病气管Rosa-iDorfman病气管Rosa-iDorfman病气管Rosa-iDorfman病

精彩图片

热门精选