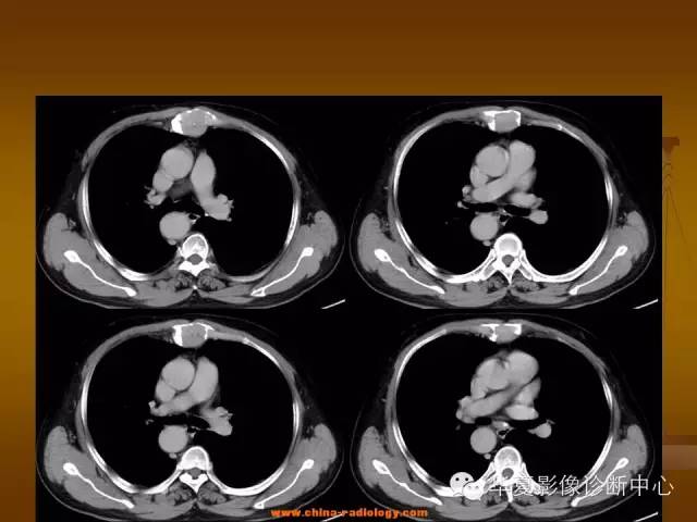
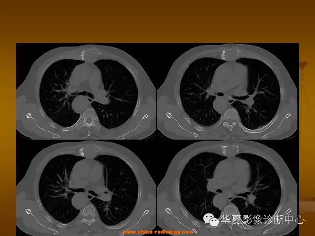
【病例学习】胸骨浆细胞骨髓瘤一例CT诊断与鉴别

发布时间:2022-10-21

【病例学习】胸骨浆细胞骨髓瘤一例CT诊断与鉴别

【病例学习】胸骨浆细胞骨髓瘤一例CT诊断与鉴别

【病例学习】胸骨浆细胞骨髓瘤一例CT诊断与鉴别

【病例学习】胸骨浆细胞骨髓瘤一例CT诊断与鉴别

【病例学习】胸骨浆细胞骨髓瘤一例CT诊断与鉴别

【病例学习】胸骨浆细胞骨髓瘤一例CT诊断与鉴别

【病例学习】胸骨浆细胞骨髓瘤一例CT诊断与鉴别

【病例学习】胸骨浆细胞骨髓瘤一例CT诊断与鉴别

【病例学习】胸骨浆细胞骨髓瘤一例CT诊断与鉴别

【病例学习】胸骨浆细胞骨髓瘤一例CT诊断与鉴别

【病例学习】胸骨浆细胞骨髓瘤一例CT诊断与鉴别

【病例学习】胸骨浆细胞骨髓瘤一例CT诊断与鉴别

【病例学习】胸骨浆细胞骨髓瘤一例CT诊断与鉴别

【病例学习】胸骨浆细胞骨髓瘤一例CT诊断与鉴别

【病例学习】胸骨浆细胞骨髓瘤一例CT诊断与鉴别

【病例学习】胸骨浆细胞骨髓瘤一例CT诊断与鉴别

【病例学习】胸骨浆细胞骨髓瘤一例CT诊断与鉴别

【病例学习】胸骨浆细胞骨髓瘤一例CT诊断与鉴别

【病例学习】胸骨浆细胞骨髓瘤一例CT诊断与鉴别

【病例学习】胸骨浆细胞骨髓瘤一例CT诊断与鉴别

【病例学习】胸骨浆细胞骨髓瘤一例CT诊断与鉴别

【病例学习】胸骨浆细胞骨髓瘤一例CT诊断与鉴别

【病例学习】胸骨浆细胞骨髓瘤一例CT诊断与鉴别

【病例学习】胸骨浆细胞骨髓瘤一例CT诊断与鉴别

精彩图片

热门精选